> Antigen, Antibodies, ELISA, Western Blot > Primary Antibody > Polyclonal Antibodies > SPT1 AntibodyBrand |
Leading Biology | Catalog Number |
APR10224G |
Product Type |
Polyclonal Antibodies | Field of Research |
|
Product Overview |
We constantly strive to ensure we provide our customers with the best antibodies. As a result of this work we offer this antibody in purified format.
We are in the process of updating our datasheets. If you have any questions regarding this update, please feel free to contact our technical support team.
This product is a high quality SPT1 antibody.
|
||
Molecular Weight |
52744 Da
|
||
Cellular Localization |
Antigen Cellular Localization:
Endoplasmic reticulum membrane; Single-pass membrane protein
|
||
Host |
Rabbit
|
||
Species Reactivity |
Human
|
||
Target |
SPTLC1; At least two isoforms of SPT1 are known to exist; this antibody will detect only isoform a. SPT1 antibody is predicted to not cross-react with SPT2.
|
||
Isotype |
IgG
|
||
Symbol |
LCB1
|
||
GeneID |
|||
UniProt ID |
|||
Function |
Serine palmitoyltransferase (SPT). The heterodimer formed with SPTLC2 or SPTLC3 constitutes the catalytic core. The composition of the serine palmitoyltransferase (SPT) complex determines the substrate preference. The SPTLC1-SPTLC2-SPTSSA complex shows a strong preference for C16-CoA substrate, while the SPTLC1-SPTLC3-SPTSSA isozyme uses both C14-CoA and C16-CoA as substrates, with a slight preference for C14-CoA. The SPTLC1- SPTLC2-SPTSSB complex shows a strong preference for C18-CoA substrate, while the SPTLC1-SPTLC3-SPTSSB isozyme displays an ability to use a broader range of acyl-CoAs, without apparent preference.
|
||
Summary |
SPT1 Antibody: Serine palmitoyltransferase, which consists of two different subunits, is the key enzyme in sphingolipid biosynthesis. It converts L-serine and palmitoyl-CoA to 3-oxosphinganine with pyridoxal 5'-phosphate as a cofactor. SPT1 is the long chain base subunit 1 of mammalian serine palmitoyltransferase. SPT1 is not catalytically active but is necessary for the stabilization of the SPT2 subunit and anchoring the holoenzyme to the cytosolic face of the endoplasmic reticulum. Missense mutations in this gene have been identified in patients with hereditary sensory neuropathy type 1 (HSAN1). These mutations induce a shift in the substrate specificity of the holoenzyme, leading to the formation and accumulation of two neurotoxic sphingolipids.
|
||
Form |
Liquid |
||
Storage & Stability |
Store at +4°C short term. For long-term storage, aliquot and store at -20°C or below. Stable for 12 months at -20°C. Avoid repeated freeze-thaw cycles.
|
||
Applications |
WB, IHC-P, E
|
||
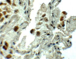
Images |
Western blot analysis of SPT1 in human lung tissue lysate with SPT1 antibody at 1 μg/mL in (A) the absence and (B) the presence of blocking peptide.
Immunohistochemistry of SPT1 in human lung tissue with SPT1 antibody at 5 μg/mL. |
||
Specification |
|||
Quantity |
|
||
| Select | Brand | Catalog No. | Product Name | Pack Size | Type | Field of Research | Specification | Quantity | Price(USD) | |
| 1 | Leading Biology | APR03440G | ITGA11 Antibody (N-term) | 100 μl | Polyclonal Antibodies |
|
$495.00 | Add Ask | ||
| 2 | Leading Biology | APR04537G | CMIP Antibody (C-term) | 100 μl | Polyclonal Antibodies |
|
$495.00 | Add Ask | ||
| 3 | Leading Biology | APR12422G | Human H4 Histamine Receptor (extracellular) Antibody | 50 μl | Polyclonal Antibodies |
|
$695.00 | Add Ask | ||
| 4 | Leading Biology | APR03844G | UBE2W Antibody (C-term) | 100 μl | Polyclonal Antibodies |
|
$495.00 | Add Ask | ||
| 5 | Leading Biology | APR04349G | HECTD2 Antibody (N-term) | 100 μl | Polyclonal Antibodies |
|
$495.00 | Add Ask | ||
| 6 | Leading Biology | APR03502G | IGHG1 Antibody (Center) | 100 μl | Polyclonal Antibodies |
|
$495.00 | Add Ask |
Leading Biology Inc.
2600 Hilltop DR, Building G, B Suite C138
Richmond, CA, 94806
Tel: 1-661-524(LBI)-0262
Email: info@leadingbiology.com
Complete this form and click send to ask us a question, request a quote or simply say hello.

You have 0 item in your cart

You have 0 item in your inquiry list