> Antigen, Antibodies, ELISA, Western Blot > Primary Antibody > Polyclonal Antibodies > ZIP3 AntibodyBrand |
Leading Biology | Catalog Number |
APR10793G |
Product Type |
Polyclonal Antibodies | Field of Research |
|
Product Overview |
We constantly strive to ensure we provide our customers with the best antibodies. As a result of this work we offer this antibody in purified format.
We are in the process of updating our datasheets. If you have any questions regarding this update, please feel free to contact our technical support team.
This product is a high quality ZIP3 antibody.
|
||
Molecular Weight |
33601 Da
|
||
Cellular Localization |
Antigen Cellular Localization:
Membrane; Multi-pass membrane protein
|
||
Host |
Rabbit
|
||
Species Reactivity |
Human, Mouse
|
||
Target |
SLC39A3;
|
||
Isotype |
IgG
|
||
Symbol |
ZIP3
|
||
GeneID |
|||
UniProt ID |
|||
Function |
Acts as a zinc-influx transporter.
|
||
Summary |
ZIP3 Antibody: The zinc transporter ZIP3, also known as SLC39A3, is a member of a family of divalent ion transporters. Zinc is an essential ion for cells and plays significant roles in the growth, development, and differentiation. Similar to knock-outs of ZIP1 and ZIP2, ZIP3-null mice have no phenotypic differences compared to wild-type mice. Only when ZIP1, ZIP2, and ZIP3 genes are all eliminated and these mutant mice are fed a zinc-deficient diet do abnormalities such as reduced embryonic-membrane bound alkaline phosphatase activity and abnormal development occur, indicating that the ZIP1-3 proteins play an important, noncompensatory role when zinc is deficient. More recent studies have shown that ZIP2 and ZIP3 are down regulated in human prostate adenocarcinomatous glands, and may be important in the retention of zinc in the cellular compartment.
|
||
Form |
Liquid |
||
Storage & Stability |
Store at +4°C short term. For long-term storage, aliquot and store at -20°C or below. Stable for 12 months at -20°C. Avoid repeated freeze-thaw cycles.
|
||
Applications |
WB, IHC-P, E
|
||
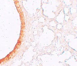
Images |
Western blot analysis of ZIP3 in mouse lung tissue lysate with ZIP3 antibody at 1 μg/mL in (A) the absence and (B) the presence of blocking peptide.
Immunohistochemistry of ZIP3 in mouse lung tissue with ZIP3 antibody at 5 μg/mL. |
||
Specification |
|||
Quantity |
|
||
| Select | Brand | Catalog No. | Product Name | Pack Size | Type | Field of Research | Specification | Quantity | Price(USD) | |
| 1 | Leading Biology | APR03440G | ITGA11 Antibody (N-term) | 100 μl | Polyclonal Antibodies |
|
$495.00 | Add Ask | ||
| 2 | Leading Biology | APR04537G | CMIP Antibody (C-term) | 100 μl | Polyclonal Antibodies |
|
$495.00 | Add Ask | ||
| 3 | Leading Biology | APR12422G | Human H4 Histamine Receptor (extracellular) Antibody | 50 μl | Polyclonal Antibodies |
|
$695.00 | Add Ask | ||
| 4 | Leading Biology | APR03844G | UBE2W Antibody (C-term) | 100 μl | Polyclonal Antibodies |
|
$495.00 | Add Ask | ||
| 5 | Leading Biology | APR04349G | HECTD2 Antibody (N-term) | 100 μl | Polyclonal Antibodies |
|
$495.00 | Add Ask | ||
| 6 | Leading Biology | APR03502G | IGHG1 Antibody (Center) | 100 μl | Polyclonal Antibodies |
|
$495.00 | Add Ask |
Leading Biology Inc.
2600 Hilltop DR, Building G, B Suite C138
Richmond, CA, 94806
Tel: 1-661-524(LBI)-0262
Email: info@leadingbiology.com
Complete this form and click send to ask us a question, request a quote or simply say hello.

You have 0 item in your cart

You have 0 item in your inquiry list