> Antigen, Antibodies, ELISA, Western Blot > Primary Antibody > Polyclonal Antibodies > MYBPC1 AntibodyBrand |
Leading Biology | Catalog Number |
AMM06516G |
Product Type |
Polyclonal Antibodies | Field of Research |
|
Product Overview |
We constantly strive to ensure we provide our customers with the best antibodies. As a result of this work we offer this antibody in purified format.
We are in the process of updating our datasheets. If you have any questions regarding this update, please feel free to contact our technical support team.
This product is a high quality MYBPC1 antibody.
|
||
Molecular Weight |
128294 Da
|
||
Host |
Rabbit
|
||
Species Reactivity |
Human
|
||
Target |
MYBPC1;
|
||
Isotype |
IgG
|
||
Symbol |
MYBPCS
|
||
GeneID |
|||
UniProt ID |
|||
Function |
Thick filament-associated protein located in the crossbridge region of vertebrate striated muscle a bands. In vitro it binds MHC, F-actin and native thin filaments, and modifies the activity of actin-activated myosin ATPase. It may modulate muscle contraction or may play a more structural role.
|
||
Summary |
MYBPC1 Antibody: Myosin binding protein C (MYBPC) is a component of the thick filament of striated muscle, with the slow-type isoform designated MYBPC1. Both the fast-type (MYBPC2) and slow-type MYBPC protein contains seven immunoglobulin C2 motifs and three fibronectin type-III repeats. Multiple isoforms of MYBPC1 are known to exist, and are present in varying amounts in different skeletal muscles. It is thought that the MYBPC1 slow subfamily may play important roles in the assembly and stabilization of sarcomeric M- and A-bands and regulate the contractile properties of the actomyosin filaments.
|
||
Form |
Liquid |
||
Storage & Stability |
Store at +4°C short term. For long-term storage, aliquot and store at -20°C or below. Stable for 12 months at -20°C. Avoid repeated freeze-thaw cycles.
|
||
Applications |
IHC-P, IF, E
|
||
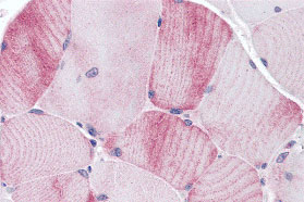
Images |
Immunohistochemistry of MYBPC1 in human skeletal muscle tissue with MYBPC1 antibody at 5 μg/mL. |
||
Specification |
|||
Quantity |
|
||
| Select | Brand | Catalog No. | Product Name | Pack Size | Type | Field of Research | Specification | Quantity | Price(USD) | |
| 1 | Leading Biology | APR03440G | ITGA11 Antibody (N-term) | 100 μl | Polyclonal Antibodies |
|
$495.00 | Add Ask | ||
| 2 | Leading Biology | APR04537G | CMIP Antibody (C-term) | 100 μl | Polyclonal Antibodies |
|
$495.00 | Add Ask | ||
| 3 | Leading Biology | APR12422G | Human H4 Histamine Receptor (extracellular) Antibody | 50 μl | Polyclonal Antibodies |
|
$695.00 | Add Ask | ||
| 4 | Leading Biology | APR03844G | UBE2W Antibody (C-term) | 100 μl | Polyclonal Antibodies |
|
$495.00 | Add Ask | ||
| 5 | Leading Biology | APR04349G | HECTD2 Antibody (N-term) | 100 μl | Polyclonal Antibodies |
|
$495.00 | Add Ask | ||
| 6 | Leading Biology | APR03502G | IGHG1 Antibody (Center) | 100 μl | Polyclonal Antibodies |
|
$495.00 | Add Ask |
Leading Biology Inc.
2600 Hilltop DR, Building G, B Suite C138
Richmond, CA, 94806
Tel: 1-661-524(LBI)-0262
Email: info@leadingbiology.com
Complete this form and click send to ask us a question, request a quote or simply say hello.

You have 0 item in your cart

You have 0 item in your inquiry list