> Antigen, Antibodies, ELISA, Western Blot > Primary Antibody > Polyclonal Antibodies > TMEM70 AntibodyBrand |
Leading Biology | Catalog Number |
APR10491G |
Product Type |
Polyclonal Antibodies | Field of Research |
|
Product Overview |
We constantly strive to ensure we provide our customers with the best antibodies. As a result of this work we offer this antibody in purified format.
We are in the process of updating our datasheets. If you have any questions regarding this update, please feel free to contact our technical support team.
This product is a high quality TMEM70 antibody.
|
||
Molecular Weight |
28969 Da
|
||
Cellular Localization |
Antigen Cellular Localization:
Mitochondrion inner membrane; Multi-pass membrane protein
|
||
Host |
Rabbit
|
||
Species Reactivity |
Human, Mouse, Rat
|
||
Target |
TMEM70;
|
||
Isotype |
IgG
|
||
GeneID |
|||
UniProt ID |
|||
Function |
Involved in biogenesis of mitochondrial ATP synthase.
|
||
Summary |
TMEM70 Antibody: TMEM70 is a recently identified mitochondrial protein that is thought to play a role in the biogenesis of the ATP synthase in higher eukaryotes. Mutations in this gene result in early neonatal onset of hypotonia, hypertrophic cardiomyopathy, lactic acidos and 3-methylglutaconic aciduria (3-MGC-uria), and usually cause death within the first six weeks of life, although some patients survive much longer. Little is known of the role of TMEM70, but it is conserved across multicellular eukaryotic organisms. It contains a conserved DUF1301 domain and two putative transmembrane regions.
|
||
Form |
Liquid |
||
Storage & Stability |
Store at +4°C short term. For long-term storage, aliquot and store at -20°C or below. Stable for 12 months at -20°C. Avoid repeated freeze-thaw cycles.
|
||
Applications |
WB, IHC-P, IF, E
|
||
Images |
Western blot analysis of TMEM70 in human liver tissue lysate with TMEM70 antibody at 1 μg/mL.
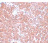
Immunohistochemistry of TMEM70 in rat liver tissue with TMEM70 antibody at 5 μg/mL.
Immunofluorescence of TMEM70 in rat liver tissue with TMEM70 antibody at 20 μg/mL. |
||
Specification |
|||
Quantity |
|
||
| Select | Brand | Catalog No. | Product Name | Pack Size | Type | Field of Research | Specification | Quantity | Price(USD) | |
| 1 | Leading Biology | APR03440G | ITGA11 Antibody (N-term) | 100 μl | Polyclonal Antibodies |
|
$495.00 | Add Ask | ||
| 2 | Leading Biology | APR04537G | CMIP Antibody (C-term) | 100 μl | Polyclonal Antibodies |
|
$495.00 | Add Ask | ||
| 3 | Leading Biology | APR12422G | Human H4 Histamine Receptor (extracellular) Antibody | 50 μl | Polyclonal Antibodies |
|
$695.00 | Add Ask | ||
| 4 | Leading Biology | APR03844G | UBE2W Antibody (C-term) | 100 μl | Polyclonal Antibodies |
|
$495.00 | Add Ask | ||
| 5 | Leading Biology | APR04349G | HECTD2 Antibody (N-term) | 100 μl | Polyclonal Antibodies |
|
$495.00 | Add Ask | ||
| 6 | Leading Biology | APR03502G | IGHG1 Antibody (Center) | 100 μl | Polyclonal Antibodies |
|
$495.00 | Add Ask |
Leading Biology Inc.
2600 Hilltop DR, Building G, B Suite C138
Richmond, CA, 94806
Tel: 1-661-524(LBI)-0262
Email: info@leadingbiology.com
Complete this form and click send to ask us a question, request a quote or simply say hello.

You have 0 item in your cart

You have 0 item in your inquiry list