> Antigen, Antibodies, ELISA, Western Blot > Primary Antibody > Polyclonal Antibodies > REEP2 AntibodyBrand |
Leading Biology | Catalog Number |
APR13109G |
Product Type |
Polyclonal Antibodies | Field of Research |
|
Product Overview |
We constantly strive to ensure we provide our customers with the best antibodies. As a result of this work we offer this antibody in purified format.
We are in the process of updating our datasheets. If you have any questions regarding this update, please feel free to contact our technical support team.
This product is a high quality REEP2 antibody.
|
||
Molecular Weight |
28261 Da
|
||
Cellular Localization |
Antigen Cellular Localization:
Membrane; Multi-pass membrane protein
|
||
Host |
Rabbit
|
||
Species Reactivity |
Human, Mouse, Rat
|
||
Target |
REEP2;
|
||
Isotype |
IgG
|
||
Symbol |
C5orf19, SGC32445
|
||
GeneID |
|||
UniProt ID |
|||
Function |
Required for endoplasmic reticulum (ER) network formation, shaping and remodeling. May enhance the cell surface expression of odorant receptors (By similarity).
|
||
Summary |
REEP2 Antibody: Mammalian odorant receptors require accessory proteins such as RTP1 and RTP2 for functional cell surface expression. Receptor expression-enhancing protein (REEP) family members are transmembrane proteins which interact with odorant receptor proteins and may enhance the odorant receptor responses to odorants. Recently studies have shown other chemosensory receptors such as bitter taste receptors are also influenced by RTP and REEP family members.
|
||
Form |
Liquid |
||
Storage & Stability |
Store at +4°C short term. For long-term storage, aliquot and store at -20°C or below. Stable for 12 months at -20°C. Avoid repeated freeze-thaw cycles.
|
||
Applications |
WB, IHC-P, IF, E
|
||
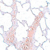
Images |
Western blot analysis of REEP2 in mouse lung tissue lysate with REEP2 antibody at 1 μg/mL in (A) the absence and (B) the presence of blocking peptide.
Immunohistochemistry of REEP2 in rat lung tissue with REEP2 antibody at 5 μg/mL.
Immunofluorescence of REEP2 in rat lung tissue with REEP2 antibody at 20 μg/mL. |
||
Specification |
|||
Quantity |
|
||
| Select | Brand | Catalog No. | Product Name | Pack Size | Type | Field of Research | Specification | Quantity | Price(USD) | |
| 1 | Leading Biology | APR03440G | ITGA11 Antibody (N-term) | 100 μl | Polyclonal Antibodies |
|
$495.00 | Add Ask | ||
| 2 | Leading Biology | APR04537G | CMIP Antibody (C-term) | 100 μl | Polyclonal Antibodies |
|
$495.00 | Add Ask | ||
| 3 | Leading Biology | APR12422G | Human H4 Histamine Receptor (extracellular) Antibody | 50 μl | Polyclonal Antibodies |
|
$695.00 | Add Ask | ||
| 4 | Leading Biology | APR03844G | UBE2W Antibody (C-term) | 100 μl | Polyclonal Antibodies |
|
$495.00 | Add Ask | ||
| 5 | Leading Biology | APR04349G | HECTD2 Antibody (N-term) | 100 μl | Polyclonal Antibodies |
|
$495.00 | Add Ask | ||
| 6 | Leading Biology | APR03502G | IGHG1 Antibody (Center) | 100 μl | Polyclonal Antibodies |
|
$495.00 | Add Ask |
Leading Biology Inc.
2600 Hilltop DR, Building G, B Suite C138
Richmond, CA, 94806
Tel: 1-661-524(LBI)-0262
Email: info@leadingbiology.com
Complete this form and click send to ask us a question, request a quote or simply say hello.

You have 0 item in your cart

You have 0 item in your inquiry list