> Antigen, Antibodies, ELISA, Western Blot > Primary Antibody > Polyclonal Antibodies > CLPH AntibodyBrand |
Leading Biology | Catalog Number |
APR15522G |
Product Type |
Polyclonal Antibodies | Field of Research |
|
Product Overview |
We constantly strive to ensure we provide our customers with the best antibodies. As a result of this work we offer this antibody in purified format.
We are in the process of updating our datasheets. If you have any questions regarding this update, please feel free to contact our technical support team.
This product is a high quality CLPH antibody.
|
||
Molecular Weight |
43003 Da
|
||
Cellular Localization |
Antigen Cellular Localization:
Cytoplasm. Mitochondrion. Cell projection, cilium, flagellum Note=Detected in mitochondria of step 17 to 18 spermatids Associated with the mitochondrial inner membrane in step 18 spermatids (By similarity).
|
||
Host |
Rabbit
|
||
Species Reactivity |
Human, Rat
|
||
Target |
C4orf35;
|
||
Isotype |
IgG
|
||
Symbol |
C4orf35
|
||
GeneID |
|||
UniProt ID |
|||
Summary |
CLPH Antibody: CLPH (Casein-Like phosphoprotein) is a recently discovered, evolutionarily conserved, testis-specific cytoplasmic protein expressed exclusively in postmeiotic germ cells in rat spermatogenesis. CLPH is a novel casein kinase 2-phosphorylated disordered and calcium-binding protein that displays strong variation in relative expression levels during spermatogenesis. It is frequently associated with the mitochondrial inner membrane during the last steps of spermatid differentiation and is involved in the extremely complex structural rearrangements occurring in haploid germ cells during spermiogenesis.
|
||
Form |
Liquid |
||
Storage & Stability |
Store at +4°C short term. For long-term storage, aliquot and store at -20°C or below. Stable for 12 months at -20°C. Avoid repeated freeze-thaw cycles.
|
||
Applications |
WB, IHC-P, E
|
||
Images |
Western blot analysis of CLPH in human testis tissue lysate with CLPH antibody at 1 μg/mL.
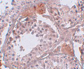
Immunohistochemistry of CLPH in human testis tissue with CLPH antibody at 5 μg/mL. |
||
Specification |
|||
Quantity |
|
||
| Select | Brand | Catalog No. | Product Name | Pack Size | Type | Field of Research | Specification | Quantity | Price(USD) | |
| 1 | Leading Biology | APR03440G | ITGA11 Antibody (N-term) | 100 μl | Polyclonal Antibodies |
|
$495.00 | Add Ask | ||
| 2 | Leading Biology | APR04537G | CMIP Antibody (C-term) | 100 μl | Polyclonal Antibodies |
|
$495.00 | Add Ask | ||
| 3 | Leading Biology | APR12422G | Human H4 Histamine Receptor (extracellular) Antibody | 50 μl | Polyclonal Antibodies |
|
$695.00 | Add Ask | ||
| 4 | Leading Biology | APR03844G | UBE2W Antibody (C-term) | 100 μl | Polyclonal Antibodies |
|
$495.00 | Add Ask | ||
| 5 | Leading Biology | APR04349G | HECTD2 Antibody (N-term) | 100 μl | Polyclonal Antibodies |
|
$495.00 | Add Ask | ||
| 6 | Leading Biology | APR03502G | IGHG1 Antibody (Center) | 100 μl | Polyclonal Antibodies |
|
$495.00 | Add Ask |
Leading Biology Inc.
2600 Hilltop DR, Building G, B Suite C138
Richmond, CA, 94806
Tel: 1-661-524(LBI)-0262
Email: info@leadingbiology.com
Complete this form and click send to ask us a question, request a quote or simply say hello.

You have 0 item in your cart

You have 0 item in your inquiry list