> Antigen, Antibodies, ELISA, Western Blot > Primary Antibody > Polyclonal Antibodies > SRPX2 AntibodyBrand |
Leading Biology | Catalog Number |
APR13540G |
Product Type |
Polyclonal Antibodies | Field of Research |
|
Product Overview |
We constantly strive to ensure we provide our customers with the best antibodies. As a result of this work we offer this antibody in purified format.
We are in the process of updating our datasheets. If you have any questions regarding this update, please feel free to contact our technical support team.
This product is a high quality SRPX2 antibody.
|
||
Molecular Weight |
52972 Da
|
||
Cellular Localization |
Antigen Cellular Localization:
Secreted. Cytoplasm. Cell surface. Cell junction, synapse
|
||
Host |
Rabbit
|
||
Species Reactivity |
Human, Mouse, Rat
|
||
Target |
SRPX2;
|
||
Isotype |
IgG
|
||
Symbol |
SRPUL
|
||
GeneID |
|||
UniProt ID |
|||
Function |
Acts as a ligand for the urokinase plasminogen activator surface receptor. Plays a role in angiogenesis by inducing endothelial cell migration and the formation of vascular network (cords). Involved in cellular migration and adhesion. Increases the phosphorylation levels of FAK. Interacts with and increases the mitogenic activity of HGF. Promotes synapse formation. May have a role in the perisylvian region, critical for language and cognitive development.
|
||
Summary |
SRPX2 Antibody: Sushi-repeat-containing protein X-linked 2 (SRPX2) is a neural gene functioning in the speech and language center of the human brain; mutations in this gene lead to epilepsy, speech dyspraxia, mental retardation and cognitive disorders. Recently, SRPX2 was found to be a novel mediator of angiogenesis and can act as a ligand for the urokinase-type plasminogen activator, a protein that can facilitate invasive migration of sprouting endothelial cells. SRPX2 is also overexpressed in gastric cancer, leading to increased phosphorylation levels of focal adhesion kinase and enhanced cellular migration and adhesion, suggesting that SRPX2 may be a potential target in the treatment of metastatic cancers.
|
||
Form |
Liquid |
||
Storage & Stability |
Store at +4°C short term. For long-term storage, aliquot and store at -20°C or below. Stable for 12 months at -20°C. Avoid repeated freeze-thaw cycles.
|
||
Applications |
WB, IHC-P, IF, E
|
||
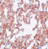
Images |
Western blot analysis of SRPX2 in human lung tissue lysate with SRPX2 antibody at (A) 1 and (B) 2 μg/mL.
Immunohistochemistry of SRPX2 in rat lung tissue with SRPX2 antibody at 5 μg/mL.
Immunofluorescence of SRPX2 in human lung tissue with SRPX2 antibody at 20 μg/mL. |
||
Specification |
|||
Quantity |
|
||
| Select | Brand | Catalog No. | Product Name | Pack Size | Type | Field of Research | Specification | Quantity | Price(USD) | |
| 1 | Leading Biology | APR03440G | ITGA11 Antibody (N-term) | 100 μl | Polyclonal Antibodies |
|
$495.00 | Add Ask | ||
| 2 | Leading Biology | APR04537G | CMIP Antibody (C-term) | 100 μl | Polyclonal Antibodies |
|
$495.00 | Add Ask | ||
| 3 | Leading Biology | APR12422G | Human H4 Histamine Receptor (extracellular) Antibody | 50 μl | Polyclonal Antibodies |
|
$695.00 | Add Ask | ||
| 4 | Leading Biology | APR03844G | UBE2W Antibody (C-term) | 100 μl | Polyclonal Antibodies |
|
$495.00 | Add Ask | ||
| 5 | Leading Biology | APR04349G | HECTD2 Antibody (N-term) | 100 μl | Polyclonal Antibodies |
|
$495.00 | Add Ask | ||
| 6 | Leading Biology | APR03502G | IGHG1 Antibody (Center) | 100 μl | Polyclonal Antibodies |
|
$495.00 | Add Ask |
Leading Biology Inc.
2600 Hilltop DR, Building G, B Suite C138
Richmond, CA, 94806
Tel: 1-661-524(LBI)-0262
Email: info@leadingbiology.com
Complete this form and click send to ask us a question, request a quote or simply say hello.

You have 0 item in your cart

You have 0 item in your inquiry list