> Antigen, Antibodies, ELISA, Western Blot > Primary Antibody > Polyclonal Antibodies > OCLN AntibodyBrand |
Leading Biology | Catalog Number |
APR17652G |
Product Type |
Polyclonal Antibodies | Field of Research |
|
Product Overview |
We constantly strive to ensure we provide our customers with the best antibodies. As a result of this work we offer this antibody in purified format.
We are in the process of updating our datasheets. If you have any questions regarding this update, please feel free to contact our technical support team.
This product is a high quality OCLN antibody.
|
||
Molecular Weight |
Predicted: 57 kDa Observed: 57 kDa
|
||
Cellular Localization |
Antigen Cellular Localization:
Membrane; Multi-pass membrane protein. Cell junction, tight junction
|
||
Host |
Rabbit
|
||
Species Reactivity |
Human, Mouse, Rat
|
||
Target |
OCLN; At least three isoforms of OCLN are known to exist.
|
||
Isotype |
IgG
|
||
GeneID |
|||
UniProt ID |
|||
Function |
May play a role in the formation and regulation of the tight junction (TJ) paracellular permeability barrier. It is able to induce adhesion when expressed in cells lacking tight junctions.
|
||
Summary |
OCLN Antibody: Tight junctions act as a semi-permeable barrier to the transport of ions, solutes, and water and are considered to function as a fence that divides apical and basolateral domains of plasma membranes. Tight junctions coordinate a variety of signaling and trafficking molecules regulating cell differentiation, proliferation, and polarity and contain a number of junctional proteins including Occludin, Claudins, junctional adhesion molecules (JAMs), as well as multiple scaffold proteins. Occludin, the first identified component of tight junction strands, is thought function as a signal transmitter in multiple signaling pathways and can associate with multiple kinases and phosphatases such as PI3-kinase and protein phosphatases 1 and 2A. At least two isoforms of OCLN are known to exist.
|
||
Form |
Liquid |
||
Storage & Stability |
Store at +4°C short term. For long-term storage, aliquot and store at -20°C or below. Stable for 12 months at -20°C. Avoid repeated freeze-thaw cycles.
|
||
Applications |
WB, IHC-P, IF, E
|
||
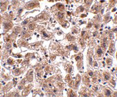
Images |
Western blot analysis of OCLN in human liver tissue lysate with OCLN antibody at 1 μg/mL.
Immunohistochemistry of OCLN in human liver tissue with OCLN antibody at 2.5 μg/mL.
Immunofluorescence of OCLN in Human Liver tissue with OCLN antibody at 20 μg/mL. |
||
Specification |
|||
Quantity |
|
||
| Select | Brand | Catalog No. | Product Name | Pack Size | Type | Field of Research | Specification | Quantity | Price(USD) | |
| 1 | Leading Biology | APR03440G | ITGA11 Antibody (N-term) | 100 μl | Polyclonal Antibodies |
|
$495.00 | Add Ask | ||
| 2 | Leading Biology | APR04537G | CMIP Antibody (C-term) | 100 μl | Polyclonal Antibodies |
|
$495.00 | Add Ask | ||
| 3 | Leading Biology | APR12422G | Human H4 Histamine Receptor (extracellular) Antibody | 50 μl | Polyclonal Antibodies |
|
$695.00 | Add Ask | ||
| 4 | Leading Biology | APR03844G | UBE2W Antibody (C-term) | 100 μl | Polyclonal Antibodies |
|
$495.00 | Add Ask | ||
| 5 | Leading Biology | APR04349G | HECTD2 Antibody (N-term) | 100 μl | Polyclonal Antibodies |
|
$495.00 | Add Ask | ||
| 6 | Leading Biology | APR03502G | IGHG1 Antibody (Center) | 100 μl | Polyclonal Antibodies |
|
$495.00 | Add Ask |
Leading Biology Inc.
2600 Hilltop DR, Building G, B Suite C138
Richmond, CA, 94806
Tel: 1-661-524(LBI)-0262
Email: info@leadingbiology.com
Complete this form and click send to ask us a question, request a quote or simply say hello.

You have 0 item in your cart

You have 0 item in your inquiry list