> Antigen, Antibodies, ELISA, Western Blot > Primary Antibody > Polyclonal Antibodies > SH3BP4 AntibodyBrand |
Leading Biology | Catalog Number |
AMM07793G |
Product Type |
Polyclonal Antibodies | Field of Research |
|
Product Overview |
We constantly strive to ensure we provide our customers with the best antibodies. As a result of this work we offer this antibody in purified format.
We are in the process of updating our datasheets. If you have any questions regarding this update, please feel free to contact our technical support team.
This product is a high quality SH3BP4 antibody.
|
||
Molecular Weight |
107496 Da
|
||
Cellular Localization |
Antigen Cellular Localization:
Membrane, clathrin-coated pit. Cytoplasmic vesicle, clathrin-coated vesicle. Nucleus Note=Specifically associated with transferrin receptor-containing clathrin-coated pits and clathrin-coated vesicles. May also localize to the nucleus
|
||
Host |
Rabbit
|
||
Species Reactivity |
Human, Mouse, Rat
|
||
Target |
SH3BP4;
|
||
Isotype |
IgG
|
||
Symbol |
BOG25, EHB10, TTP
|
||
GeneID |
|||
UniProt ID |
|||
Function |
May function in transferrin receptor internalization at the plasma membrane through a cargo-specific control of clathrin- mediated endocytosis. Alternatively, may acts as a negative regulator of the amino acid-induced TOR signaling by inhibiting the formation of active Rag GTPase complexes. Preferentially binds inactive Rag GTPase complexes and prevents their interaction with the mTORC1 complex inhibiting its relocalization to lysosomes and its activation. Thereby, may indirectly regulate cell growth, proliferation and autophagy.
|
||
Summary |
SH3BP4 Antibody: SH3BP4 was initially isolated as a novel cDNA using differential display analysis using cultured human corneal fibroblasts. The protein contains three Asn-Pro-Phe (NPF) motifs, an SH3 domain, a PXXP motif, a bipartite nuclear targeting signal, and a tyrosine phosphorylation site. SH3BP4 has been shown to interact with specific endocytic proteins such as clathrin, dynamin, and the transferrin receptor (TfR) and localizes to TfR-containing coated pits and vesicles. It is thought to be involved in cargo-specific control of clathrin-mediated endocytosis, specifically controlling the internalization of TfR. At least two isoforms of SH3BP4 are known to exist.
|
||
Form |
Liquid |
||
Storage & Stability |
Store at +4°C short term. For long-term storage, aliquot and store at -20°C or below. Stable for 12 months at -20°C. Avoid repeated freeze-thaw cycles.
|
||
Applications |
WB, IHC-P, E
|
||
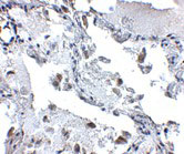
Images |
Western blot analysis of SH3BP4 in rat lung tissue lysate with SH3BP4 antibody at (A) 1 and (B) 2 μg/mL.
Immunohistochemistry of SH3BP4 in human lung tissue with SH3BP4 antibody at 5 μg/mL. |
||
Specification |
|||
Quantity |
|
||
| Select | Brand | Catalog No. | Product Name | Pack Size | Type | Field of Research | Specification | Quantity | Price(USD) | |
| 1 | Leading Biology | APR03440G | ITGA11 Antibody (N-term) | 100 μl | Polyclonal Antibodies |
|
$495.00 | Add Ask | ||
| 2 | Leading Biology | APR04537G | CMIP Antibody (C-term) | 100 μl | Polyclonal Antibodies |
|
$495.00 | Add Ask | ||
| 3 | Leading Biology | APR12422G | Human H4 Histamine Receptor (extracellular) Antibody | 50 μl | Polyclonal Antibodies |
|
$695.00 | Add Ask | ||
| 4 | Leading Biology | APR03844G | UBE2W Antibody (C-term) | 100 μl | Polyclonal Antibodies |
|
$495.00 | Add Ask | ||
| 5 | Leading Biology | APR04349G | HECTD2 Antibody (N-term) | 100 μl | Polyclonal Antibodies |
|
$495.00 | Add Ask | ||
| 6 | Leading Biology | APR03502G | IGHG1 Antibody (Center) | 100 μl | Polyclonal Antibodies |
|
$495.00 | Add Ask |
Leading Biology Inc.
2600 Hilltop DR, Building G, B Suite C138
Richmond, CA, 94806
Tel: 1-661-524(LBI)-0262
Email: info@leadingbiology.com
Complete this form and click send to ask us a question, request a quote or simply say hello.

You have 0 item in your cart

You have 0 item in your inquiry list