> Antigen, Antibodies, ELISA, Western Blot > Primary Antibody > Polyclonal Antibodies > Transthyretin AntibodyBrand |
Leading Biology | Catalog Number |
APR13797G |
Product Type |
Polyclonal Antibodies | Field of Research |
|
Product Overview |
We constantly strive to ensure we provide our customers with the best antibodies. As a result of this work we offer this antibody in purified format.
We are in the process of updating our datasheets. If you have any questions regarding this update, please feel free to contact our technical support team.
This product is a high quality Transthyretin antibody.
|
||
Molecular Weight |
Predicted: 16 kDa Observed: 18 kDa
|
||
Cellular Localization |
Antigen Cellular Localization:
Secreted. Cytoplasm.
|
||
Host |
Chicken
|
||
Species Reactivity |
Human, Mouse, Rat
|
||
Target |
TTR;
|
||
Isotype |
IgY
|
||
Symbol |
PALB
|
||
GeneID |
|||
UniProt ID |
|||
Function |
Thyroid hormone-binding protein. Probably transports thyroxine from the bloodstream to the brain.
|
||
Summary |
Transthyretin Antibody: Transthyretin is a tetrameric carrier protein that transports thyroid hormones in the plasma and cerebrospinal fluid, and retinol (vitamin A) in the plasma. More than 80 different mutations in this gene have been reported; most mutations are related to amyloid deposition, affecting predominantly peripheral nerve and/or the heart. The diseases caused by mutations include familial amyloidotic polyneuropathy, euthyroid hyperthyroxinemia, amyloidotic vitreous opacities, cardiomyopathy, oculoleptomeningeal amyloidosis, meningocerebrovascular amyloidosis, and carpal tunnel syndrome. It has also been suggested that Transthyretin plays an important role in the maintenance of normal cognitive processes during aging, neuropeptide processing and nerve regeneration. It has also been linked to several pathological conditions including Parkinson's disease, schizophrenia, and depression.
|
||
Form |
Liquid |
||
Storage & Stability |
Store at +4°C short term. For long-term storage, aliquot and store at -20°C or below. Stable for 12 months at -20°C. Avoid repeated freeze-thaw cycles.
|
||
Applications |
WB, IHC-P, IF, E
|
||
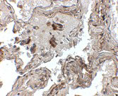
Images |
Western blot analysis of Transthyretin in HepG2 cell lysate with Transthyretin antibody at (A) 1 and (B) 2 μg/mL.
Immunohistochemistry of Transthyretin in human lung tissue with Transthyretin antibody at 2.5 μg/mL.
Immunofluorescence of Transthyretin in human lung tissue with Transthyretin antibody at 20 μg/mL. |
||
Specification |
|||
Quantity |
|
||
| Select | Brand | Catalog No. | Product Name | Pack Size | Type | Field of Research | Specification | Quantity | Price(USD) | |
| 1 | Leading Biology | APR03440G | ITGA11 Antibody (N-term) | 100 μl | Polyclonal Antibodies |
|
$495.00 | Add Ask | ||
| 2 | Leading Biology | APR04537G | CMIP Antibody (C-term) | 100 μl | Polyclonal Antibodies |
|
$495.00 | Add Ask | ||
| 3 | Leading Biology | APR12422G | Human H4 Histamine Receptor (extracellular) Antibody | 50 μl | Polyclonal Antibodies |
|
$695.00 | Add Ask | ||
| 4 | Leading Biology | APR03844G | UBE2W Antibody (C-term) | 100 μl | Polyclonal Antibodies |
|
$495.00 | Add Ask | ||
| 5 | Leading Biology | APR04349G | HECTD2 Antibody (N-term) | 100 μl | Polyclonal Antibodies |
|
$495.00 | Add Ask | ||
| 6 | Leading Biology | APR03502G | IGHG1 Antibody (Center) | 100 μl | Polyclonal Antibodies |
|
$495.00 | Add Ask |
Leading Biology Inc.
2600 Hilltop DR, Building G, B Suite C138
Richmond, CA, 94806
Tel: 1-661-524(LBI)-0262
Email: info@leadingbiology.com
Complete this form and click send to ask us a question, request a quote or simply say hello.

You have 0 item in your cart

You have 0 item in your inquiry list