> Antigen, Antibodies, ELISA, Western Blot > Primary Antibody > Polyclonal Antibodies > RGPD5 AntibodyBrand |
Leading Biology | Catalog Number |
AMM07576G |
Product Type |
Polyclonal Antibodies | Field of Research |
|
Product Overview |
We constantly strive to ensure we provide our customers with the best antibodies. As a result of this work we offer this antibody in purified format.
We are in the process of updating our datasheets. If you have any questions regarding this update, please feel free to contact our technical support team.
This product is a high quality RGPD5 antibody.
|
||
Molecular Weight |
198924 Da
|
||
Cellular Localization |
Antigen Cellular Localization:
Cytoplasm.
|
||
Host |
Rabbit
|
||
Species Reactivity |
Human
|
||
Target |
RGPD5;
|
||
Isotype |
IgG
|
||
Symbol |
RANBP2L1, RGP5, RGP7, RGPD7
|
||
GeneID |
|||
UniProt ID |
|||
Summary |
RGPD5 Antibody: The RANBP2-like and GRIP domain containing 5 protein (RGPD5) has high similarity to RANBP2, a large RAN-binding protein localized at the cytoplasmic side of the nuclear pore complex. The gene coding for RGPD5 is thought to have arisen from a gene duplication event of RANBP2 as these highly homologous genes are located close to each other at chromosome 2q11-q12. RGPD5 was identified as an HIV dependency factor (HDF), suggesting that RGPD5 may be an important drug target in HIV treatment. At least two isoforms of RGPD5 are known to exist, of which the shorter isoform is expressed primarily in testis, while the longer of the two is expressed at low levels in a number of somatic tissues.
|
||
Form |
Liquid |
||
Storage & Stability |
Store at +4°C short term. For long-term storage, aliquot and store at -20°C or below. Stable for 12 months at -20°C. Avoid repeated freeze-thaw cycles.
|
||
Applications |
WB, IHC-P, IF, E
|
||
Images |
Western blot analysis of RGPD5 in human thymus tissue lysate with RGPD5 antibody at 1 μg/mL.
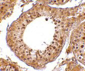
Immunohistochemistry of RGPD5 in human testis tissue cells with RGPD5 antibody at 10 μg/mL.
Immunofluorescence of RGPD5 in human testis tissue with RGPD5 antibody at 20 μg/mL. |
||
Specification |
|||
Quantity |
|
||
| Select | Brand | Catalog No. | Product Name | Pack Size | Type | Field of Research | Specification | Quantity | Price(USD) | |
| 1 | Leading Biology | APR03440G | ITGA11 Antibody (N-term) | 100 μl | Polyclonal Antibodies |
|
$495.00 | Add Ask | ||
| 2 | Leading Biology | APR04537G | CMIP Antibody (C-term) | 100 μl | Polyclonal Antibodies |
|
$495.00 | Add Ask | ||
| 3 | Leading Biology | APR12422G | Human H4 Histamine Receptor (extracellular) Antibody | 50 μl | Polyclonal Antibodies |
|
$695.00 | Add Ask | ||
| 4 | Leading Biology | APR03844G | UBE2W Antibody (C-term) | 100 μl | Polyclonal Antibodies |
|
$495.00 | Add Ask | ||
| 5 | Leading Biology | APR04349G | HECTD2 Antibody (N-term) | 100 μl | Polyclonal Antibodies |
|
$495.00 | Add Ask | ||
| 6 | Leading Biology | APR03502G | IGHG1 Antibody (Center) | 100 μl | Polyclonal Antibodies |
|
$495.00 | Add Ask |
Leading Biology Inc.
2600 Hilltop DR, Building G, B Suite C138
Richmond, CA, 94806
Tel: 1-661-524(LBI)-0262
Email: info@leadingbiology.com
Complete this form and click send to ask us a question, request a quote or simply say hello.

You have 0 item in your cart

You have 0 item in your inquiry list