> Antigen, Antibodies, ELISA, Western Blot > Primary Antibody > Polyclonal Antibodies > BRAL1 AntibodyBrand |
Leading Biology | Catalog Number |
AMM05636G |
Product Type |
Polyclonal Antibodies | Field of Research |
|
Product Overview |
We constantly strive to ensure we provide our customers with the best antibodies. As a result of this work we offer this antibody in purified format.
We are in the process of updating our datasheets. If you have any questions regarding this update, please feel free to contact our technical support team.
This product is a high quality BRAL1 antibody.
|
||
Molecular Weight |
37775 Da
|
||
Cellular Localization |
Antigen Cellular Localization:
Secreted, extracellular space, extracellular matrix
|
||
Host |
Rabbit
|
||
Species Reactivity |
Human, Mouse, Rat
|
||
Target |
HAPLN2;
|
||
Isotype |
IgG
|
||
Symbol |
BRAL1
|
||
GeneID |
|||
UniProt ID |
|||
Function |
Mediates a firm binding of versican V2 to hyaluronic acid. May play a pivotal role in the formation of the hyaluronan- associated matrix in the central nervous system (CNS) which facilitates neuronal conduction and general structural stabilization. Binds to hyaluronic acid (By similarity).
|
||
Summary |
BRAL1 Antibody: BRAL1 is a member a superfamily consisting of several highly homologous hyaluronan and proteoglycan binding link proteins. BRAL1 is predominantly expressed in brain tissue and spinal cord. Like other members in the link-module superfamily, BRAL1 contains an immunoglobulin-like fold and two proteoglycan tandem repeats (PTRs). Its mRNA expression pattern is similar to other lectican proteoglycans, suggesting that BRAL1 may act to stabilize the binding between the extracellular matrix molecule hyaluronan and brevican. Immunostaining of mouse brain showed BRAL1 expression at P20 in the white matter of the developing cerebellum and in myelinated fiber tracts in the adult brain, suggesting that expression starts when axonal myelination occurs.
|
||
Form |
Liquid |
||
Storage & Stability |
Store at +4°C short term. For long-term storage, aliquot and store at -20°C or below. Stable for 12 months at -20°C. Avoid repeated freeze-thaw cycles.
|
||
Applications |
WB, IHC-P, IF, E
|
||
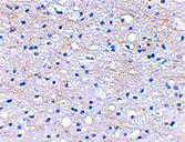
Images |
Western blot analysis of BRAL1 in human brain tissue lysate with BRAL1 antibody at (A) 1 and (B) 2 μg/mL.
Immunohistochemical staining of human brain tissue using BRAL1 antibody at 2.5 μg/mL.
Immunofluorescence of BRAL1 in Human Brain cells with BRAL1 antibody at 20 μg/mL. |
||
Specification |
|||
Quantity |
|
||
| Select | Brand | Catalog No. | Product Name | Pack Size | Type | Field of Research | Specification | Quantity | Price(USD) | |
| 1 | Leading Biology | APR03440G | ITGA11 Antibody (N-term) | 100 μl | Polyclonal Antibodies |
|
$495.00 | Add Ask | ||
| 2 | Leading Biology | APR04537G | CMIP Antibody (C-term) | 100 μl | Polyclonal Antibodies |
|
$495.00 | Add Ask | ||
| 3 | Leading Biology | APR12422G | Human H4 Histamine Receptor (extracellular) Antibody | 50 μl | Polyclonal Antibodies |
|
$695.00 | Add Ask | ||
| 4 | Leading Biology | APR03844G | UBE2W Antibody (C-term) | 100 μl | Polyclonal Antibodies |
|
$495.00 | Add Ask | ||
| 5 | Leading Biology | APR04349G | HECTD2 Antibody (N-term) | 100 μl | Polyclonal Antibodies |
|
$495.00 | Add Ask | ||
| 6 | Leading Biology | APR03502G | IGHG1 Antibody (Center) | 100 μl | Polyclonal Antibodies |
|
$495.00 | Add Ask |
Leading Biology Inc.
2600 Hilltop DR, Building G, B Suite C138
Richmond, CA, 94806
Tel: 1-661-524(LBI)-0262
Email: info@leadingbiology.com
Complete this form and click send to ask us a question, request a quote or simply say hello.

You have 0 item in your cart

You have 0 item in your inquiry list