> Antigen, Antibodies, ELISA, Western Blot > Primary Antibody > Polyclonal Antibodies > TOCA-1 AntibodyBrand |
Leading Biology | Catalog Number |
APR13772G |
Product Type |
Polyclonal Antibodies | Field of Research |
|
Product Overview |
We constantly strive to ensure we provide our customers with the best antibodies. As a result of this work we offer this antibody in purified format.
We are in the process of updating our datasheets. If you have any questions regarding this update, please feel free to contact our technical support team.
This product is a high quality TOCA-1 antibody.
|
||
Molecular Weight |
70065 Da
|
||
Cellular Localization |
Antigen Cellular Localization:
Cytoplasm. Cytoplasm, cytoskeleton. Cytoplasm, cell cortex. Cytoplasmic vesicle. Cell membrane; Peripheral membrane protein; Cytoplasmic side
|
||
Host |
Rabbit
|
||
Species Reactivity |
Human, Mouse, Rat
|
||
Target |
FNBP1L;
|
||
Isotype |
IgG
|
||
Symbol |
C1orf39, TOCA1
|
||
GeneID |
|||
UniProt ID |
|||
Function |
Required to coordinate membrane tubulation with reorganization of the actin cytoskeleton during endocytosis. May bind to lipids such as phosphatidylinositol 4,5-bisphosphate and phosphatidylserine and promote membrane invagination and the formation of tubules. Also promotes CDC42-induced actin polymerization by activating the WASL/N-WASP-WASPIP/WIP complex, the predominant form of WASL/N-WASP in cells. Actin polymerization may promote the fission of membrane tubules to form endocytic vesicles. Essential for autophagy of intracellular bacterial pathogens.
|
||
Summary |
TOCA-1 Antibody: Actin reorganization is important for the regulation of neuronal morphology. A protein involved in this process, the transducer of cdc42-dependent actin assembly 1 (TOCA-1) protein, a member of the evolutionarily conserved pombe CDC15 homology (PCH) protein family, is an essential component of the Cdc42 pathway. TOCA-1 binds both N-WASP and Cdc42 and is essential for Cdc42- and PIP2-induced actin polymerization, suggesting that TOCA-1 mediates Cdc42-dependent actin nucleation by activating the N-WASP-WIP complex. Decreased expression of TOCA-1 significantly enhances neurite elongation in PC-12 cells; its overexpression in the same cells suppresses neurite elongation. It has been suggested that TOCA-1 negatively regulates axon branching by regulating membrane trafficking by regulating membrane trafficking through the F-BAR/EFC domain. Multiple isoforms of TOCA-1 are known to exist.
|
||
Form |
Liquid |
||
Storage & Stability |
Store at +4°C short term. For long-term storage, aliquot and store at -20°C or below. Stable for 12 months at -20°C. Avoid repeated freeze-thaw cycles.
|
||
Applications |
WB, IHC-P, IF, E
|
||
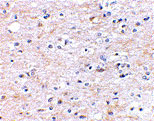
Images |
Western blot analysis of TOCA-1 in human brain tissue lysate in (A) the absence and (B) the presence of blocking peptide with TOCA-1 antibody at 0.5 μg/mL.
Immunohistochemical staining of human brain tissue using TOCA-1 antibody at 2.5 μg/mL.
Immunofluorescence of TOCA-1 in Human Brain cells with TOCA-1 antibody at 20 μg/mL. |
||
Specification |
|||
Quantity |
|
||
| Select | Brand | Catalog No. | Product Name | Pack Size | Type | Field of Research | Specification | Quantity | Price(USD) | |
| 1 | Leading Biology | APR03440G | ITGA11 Antibody (N-term) | 100 μl | Polyclonal Antibodies |
|
$495.00 | Add Ask | ||
| 2 | Leading Biology | APR04537G | CMIP Antibody (C-term) | 100 μl | Polyclonal Antibodies |
|
$495.00 | Add Ask | ||
| 3 | Leading Biology | APR12422G | Human H4 Histamine Receptor (extracellular) Antibody | 50 μl | Polyclonal Antibodies |
|
$695.00 | Add Ask | ||
| 4 | Leading Biology | APR03844G | UBE2W Antibody (C-term) | 100 μl | Polyclonal Antibodies |
|
$495.00 | Add Ask | ||
| 5 | Leading Biology | APR04349G | HECTD2 Antibody (N-term) | 100 μl | Polyclonal Antibodies |
|
$495.00 | Add Ask | ||
| 6 | Leading Biology | APR03502G | IGHG1 Antibody (Center) | 100 μl | Polyclonal Antibodies |
|
$495.00 | Add Ask |
Leading Biology Inc.
2600 Hilltop DR, Building G, B Suite C138
Richmond, CA, 94806
Tel: 1-661-524(LBI)-0262
Email: info@leadingbiology.com
Complete this form and click send to ask us a question, request a quote or simply say hello.

You have 0 item in your cart

You have 0 item in your inquiry list