> Antigen, Antibodies, ELISA, Western Blot > Primary Antibody > Polyclonal Antibodies > CDNF AntibodyBrand |
Leading Biology | Catalog Number |
AMM05738G |
Product Type |
Polyclonal Antibodies | Field of Research |
|
Product Overview |
We constantly strive to ensure we provide our customers with the best antibodies. As a result of this work we offer this antibody in purified format.
We are in the process of updating our datasheets. If you have any questions regarding this update, please feel free to contact our technical support team.
This product is a high quality CDNF antibody.
|
||
Molecular Weight |
20964 Da
|
||
Cellular Localization |
Antigen Cellular Localization:
Secreted
|
||
Host |
Rabbit
|
||
Species Reactivity |
Human, Mouse, Rat
|
||
Target |
ARMETL1; This antibody does not cross-react with MANF.
|
||
Isotype |
IgG
|
||
Symbol |
ARMETL1
|
||
GeneID |
|||
UniProt ID |
|||
Function |
Trophic factor for dopamine neurons. Prevents the 6- hydroxydopamine (6-OHDA)-induced degeneration of dopaminergic neurons. When administered after 6-OHDA-lesioning, restores the dopaminergic function and prevents the degeneration of dopaminergic neurons in substantia nigra (By similarity).
|
||
Summary |
CDNF Antibody: The conserved dopamine neurotrophic factor (CDNF) is a neurotrophic factor for dopaminergic neurons and highly homologous to the mesencephalic-astrocyte-derived neuro-trophic factor. Somewhat surprisingly, CDCF is expressed at higher levels in tissues such as heart, skeletal muscle and testes than in brain. Similar to the glial cell line-derived neurotrophic factor (GDNF), CDNF can prevent the 6-hydroxylamine (6-OHDA)-induced degeneration of dopaminergic neurons in a rat model of Parkinson's disease. Furthermore, CDNF was able to restore the dopaminergic function and prevent the degeneration of dopaminergic neurons in the substantia nigra, suggesting that CDNF might be suitable for the treatment of Parkinson's disease. At least two isoforms of CDNF are known to exist.
|
||
Form |
Liquid |
||
Storage & Stability |
Store at +4°C short term. For long-term storage, aliquot and store at -20°C or below. Stable for 12 months at -20°C. Avoid repeated freeze-thaw cycles.
|
||
Applications |
WB, IHC-P, IF, E
|
||
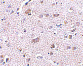
Images |
Western blot analysis of CDNF in mouse brain tissue lysate with CDNF antibody at (A) 2 and (B) 4 μg/mL.
Immunohistochemistry of CDNF in human brain tissue with CDNF antibody at 2.5 μg/mL.
Immunofluorescence of CDNF in Human Brain cells with CDNF antibody at 20 μg/mL. |
||
Specification |
|||
Quantity |
|
||
| Select | Brand | Catalog No. | Product Name | Pack Size | Type | Field of Research | Specification | Quantity | Price(USD) | |
| 1 | Leading Biology | APR03440G | ITGA11 Antibody (N-term) | 100 μl | Polyclonal Antibodies |
|
$495.00 | Add Ask | ||
| 2 | Leading Biology | APR04537G | CMIP Antibody (C-term) | 100 μl | Polyclonal Antibodies |
|
$495.00 | Add Ask | ||
| 3 | Leading Biology | APR12422G | Human H4 Histamine Receptor (extracellular) Antibody | 50 μl | Polyclonal Antibodies |
|
$695.00 | Add Ask | ||
| 4 | Leading Biology | APR03844G | UBE2W Antibody (C-term) | 100 μl | Polyclonal Antibodies |
|
$495.00 | Add Ask | ||
| 5 | Leading Biology | APR04349G | HECTD2 Antibody (N-term) | 100 μl | Polyclonal Antibodies |
|
$495.00 | Add Ask | ||
| 6 | Leading Biology | APR03502G | IGHG1 Antibody (Center) | 100 μl | Polyclonal Antibodies |
|
$495.00 | Add Ask |
Leading Biology Inc.
2600 Hilltop DR, Building G, B Suite C138
Richmond, CA, 94806
Tel: 1-661-524(LBI)-0262
Email: info@leadingbiology.com
Complete this form and click send to ask us a question, request a quote or simply say hello.

You have 0 item in your cart

You have 0 item in your inquiry list