> Antigen, Antibodies, ELISA, Western Blot > Primary Antibody > Polyclonal Antibodies > PTK7 AntibodyBrand |
Leading Biology | Catalog Number |
AMR09638G |
Product Type |
Polyclonal Antibodies | Field of Research |
|
Product Overview |
We constantly strive to ensure we provide our customers with the best antibodies. As a result of this work we offer this antibody in purified format.
We are in the process of updating our datasheets. If you have any questions regarding this update, please feel free to contact our technical support team.
This product is a high quality PTK7 antibody.
|
||
Molecular Weight |
118392 Da
|
||
Cellular Localization |
Antigen Cellular Localization:
Membrane; Single-pass type I membrane protein Cell junction. Note=Colocalizes with MMP14 at cell junctions. Also localizes at the leading edge of migrating cells
|
||
Host |
Rabbit
|
||
Species Reactivity |
Human, Mouse, Rat
|
||
Target |
PTK7;
|
||
Isotype |
IgG
|
||
Symbol |
CCK4
|
||
GeneID |
|||
UniProt ID |
|||
Function |
Inactive tyrosine kinase involved in Wnt signaling pathway. Component of both the non-canonical (also known as the Wnt/planar cell polarity signaling) and the canonical Wnt signaling pathway. Functions in cell adhesion, cell migration, cell polarity, proliferation, actin cytoskeleton reorganization and apoptosis. Has a role in embryogenesis, epithelial tissue organization and angiogenesis.
|
||
Summary |
PTK7 Antibody: Protein-tyrosine kinases (PTKs) play important roles in regulating cell proliferation and differentiation during development. One member of the PTK family, PTK7, has been suggested to regulate the planar cell polarity (PCP) pathway in vertebrates and may play a role in neural convergent extension and neural tube closure. PTK7 has also been implicated in the development of cancer. Loss of PTK7 expression was seen in several melanoma cell lines and biopsies. Conversely, high-throughput analysis of acute myeloid leukemia samples showed an increased level of PTK7 expression compared to normal bone marrow and purified CD34+ cells. Multiple isoforms of PTK7 are known to exist.
|
||
Form |
Liquid |
||
Storage & Stability |
Store at +4°C short term. For long-term storage, aliquot and store at -20°C or below. Stable for 12 months at -20°C. Avoid repeated freeze-thaw cycles.
|
||
Applications |
WB, IHC-P, IF, E
|
||
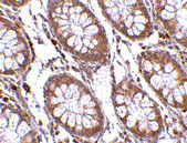
Images |
Western blot analysis of PTK7 in (A) human colon, (B) mouse kidney and (C) rat liver tissue lysate with PTK7 antibody at 1 μg/mL.
Immunohistochemistry of PTK7 in human colon tissue with PTK7 antibody at 2.5 μg/mL.
Immunofluorescence of PTK7 in Human Colon cells with PTK7 antibody at 20 μg/mL. |
||
Specification |
|||
Quantity |
|
||
| Select | Brand | Catalog No. | Product Name | Pack Size | Type | Field of Research | Specification | Quantity | Price(USD) | |
| 1 | Leading Biology | APR03440G | ITGA11 Antibody (N-term) | 100 μl | Polyclonal Antibodies |
|
$495.00 | Add Ask | ||
| 2 | Leading Biology | APR04537G | CMIP Antibody (C-term) | 100 μl | Polyclonal Antibodies |
|
$495.00 | Add Ask | ||
| 3 | Leading Biology | APR12422G | Human H4 Histamine Receptor (extracellular) Antibody | 50 μl | Polyclonal Antibodies |
|
$695.00 | Add Ask | ||
| 4 | Leading Biology | APR03844G | UBE2W Antibody (C-term) | 100 μl | Polyclonal Antibodies |
|
$495.00 | Add Ask | ||
| 5 | Leading Biology | APR04349G | HECTD2 Antibody (N-term) | 100 μl | Polyclonal Antibodies |
|
$495.00 | Add Ask | ||
| 6 | Leading Biology | APR03502G | IGHG1 Antibody (Center) | 100 μl | Polyclonal Antibodies |
|
$495.00 | Add Ask |
Leading Biology Inc.
2600 Hilltop DR, Building G, B Suite C138
Richmond, CA, 94806
Tel: 1-661-524(LBI)-0262
Email: info@leadingbiology.com
Complete this form and click send to ask us a question, request a quote or simply say hello.

You have 0 item in your cart

You have 0 item in your inquiry list