> Antigen, Antibodies, ELISA, Western Blot > Primary Antibody > Polyclonal Antibodies > ORAI1 AntibodyBrand |
Leading Biology | Catalog Number |
APR17663G |
Product Type |
Polyclonal Antibodies | Field of Research |
|
Product Overview |
We constantly strive to ensure we provide our customers with the best antibodies. As a result of this work we offer this antibody in purified format.
We are in the process of updating our datasheets. If you have any questions regarding this update, please feel free to contact our technical support team.
This product is a high quality ORAI1 antibody.
|
||
Molecular Weight |
32668 Da
|
||
Cellular Localization |
Antigen Cellular Localization:
Cell membrane; Multi- pass membrane protein Note=Isoform beta is more mobile in the plasma membrane
|
||
Host |
Rabbit
|
||
Species Reactivity |
Human, Mouse
|
||
Target |
ORAI1; This antibody is predicted to have no cross-reactivity to ORAI2 or ORAI3.
|
||
Isotype |
IgG
|
||
Symbol |
CRACM1, TMEM142A
|
||
GeneID |
|||
UniProt ID |
|||
Function |
Ca(2+) release-activated Ca(2+) (CRAC) channel subunit which mediates Ca(2+) influx following depletion of intracellular Ca(2+) stores and channel activation by the Ca(2+) sensor, STIM1. CRAC channels are the main pathway for Ca(2+) influx in T-cells and promote the immune response to pathogens by activating the transcription factor NFAT.
|
||
Summary |
ORAI1 Antibody: Antigen stimulation of immune cells triggers Ca++ entry through Ca++ release-activated Ca++ (CRAC) channels. ORAI1 is a recently identified four-transmembrane spanning protein that is an essential component of CRAC. A missense mutation in this protein in humans is the cause of one form of hereditary severe combined immune deficiency (SCID) which results in ablated T-cell Ca++ entry. It has been suggested that ORAI1 functions as a highly selective Ca++ plasma membrane channel that is gated through interactions with STIM1, the store-activated endoplasmic reticulum Ca++ sensor.
|
||
Form |
Liquid |
||
Storage & Stability |
Store at +4°C short term. For long-term storage, aliquot and store at -20°C or below. Stable for 12 months at -20°C. Avoid repeated freeze-thaw cycles.
|
||
Applications |
WB, IHC-P, E
|
||
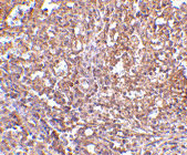
Images |
Western blot analysis of ORAI1 in human ovary tissue lysate with ORAI1 antibody at (A) 0.5, (B) 1 and (C) 2 μg/mL.
Immunohistochemistry of ORAI1 in human spleen tissue with ORAI1 antibody at 2.5 μg/mL. |
||
Specification |
|||
Quantity |
|
||
| Select | Brand | Catalog No. | Product Name | Pack Size | Type | Field of Research | Specification | Quantity | Price(USD) | |
| 1 | Leading Biology | APR03440G | ITGA11 Antibody (N-term) | 100 μl | Polyclonal Antibodies |
|
$495.00 | Add Ask | ||
| 2 | Leading Biology | APR04537G | CMIP Antibody (C-term) | 100 μl | Polyclonal Antibodies |
|
$495.00 | Add Ask | ||
| 3 | Leading Biology | APR12422G | Human H4 Histamine Receptor (extracellular) Antibody | 50 μl | Polyclonal Antibodies |
|
$695.00 | Add Ask | ||
| 4 | Leading Biology | APR03844G | UBE2W Antibody (C-term) | 100 μl | Polyclonal Antibodies |
|
$495.00 | Add Ask | ||
| 5 | Leading Biology | APR04349G | HECTD2 Antibody (N-term) | 100 μl | Polyclonal Antibodies |
|
$495.00 | Add Ask | ||
| 6 | Leading Biology | APR03502G | IGHG1 Antibody (Center) | 100 μl | Polyclonal Antibodies |
|
$495.00 | Add Ask |
Leading Biology Inc.
2600 Hilltop DR, Building G, B Suite C138
Richmond, CA, 94806
Tel: 1-661-524(LBI)-0262
Email: info@leadingbiology.com
Complete this form and click send to ask us a question, request a quote or simply say hello.

You have 0 item in your cart

You have 0 item in your inquiry list