> Antigen, Antibodies, ELISA, Western Blot > Primary Antibody > Polyclonal Antibodies > op18 AntibodyBrand |
Leading Biology | Catalog Number |
AMM06904G |
Product Type |
Polyclonal Antibodies | Field of Research |
|
Product Overview |
We constantly strive to ensure we provide our customers with the best antibodies. As a result of this work we offer this antibody in purified format.
We are in the process of updating our datasheets. If you have any questions regarding this update, please feel free to contact our technical support team.
This product is a high quality op18 antibody.
|
||
Molecular Weight |
Predicted: 16 kDa Observed: 15 kDa
|
||
Cellular Localization |
Antigen Cellular Localization:
Cytoplasm, cytoskeleton.
|
||
Host |
Rabbit
|
||
Species Reactivity |
Human, Mouse
|
||
Target |
STMN1;
|
||
Isotype |
IgG
|
||
Symbol |
C1orf215, LAP18, OP18
|
||
GeneID |
|||
UniProt ID |
|||
Function |
Involved in the regulation of the microtubule (MT) filament system by destabilizing microtubules. Prevents assembly and promotes disassembly of microtubules. Phosphorylation at Ser- 16 may be required for axon formation during neurogenesis. Involved in the control of the learned and innate fear (By similarity).
|
||
Summary |
op18 Antibody: Op18 belongs to the stathmin family of genes and encodes a ubiquitous cytosolic phosphoprotein that may function as an intracellular relay integrating several signaling pathways such as those involved in cell proliferation and differentiation. Op18 has also been shown to be involved in the regulation of the microtubule filament system by destabilizing microtubules, thereby preventing assembly and promoting the disassembly of microtubules. More recently, op18 has been implicated as a potential target of the ASK1-p38 MAP kinase cascade, suggesting that the ASK1-p38 cascade may regulate microtubule dynamics through op18. Op18 is highly expressed in a wide variety of human malignancies, including leukemia, prostate cancer, ovarian carcinoma, and breast carcinoma, suggesting that op18 may be an ideal target for anti-cancer therapeutics.
|
||
Form |
Liquid |
||
Storage & Stability |
Store at +4°C short term. For long-term storage, aliquot and store at -20°C or below. Stable for 12 months at -20°C. Avoid repeated freeze-thaw cycles.
|
||
Applications |
WB, IHC-P, IF, E
|
||
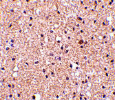
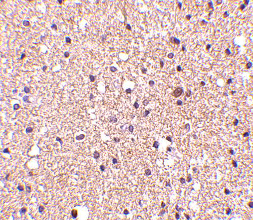
Images |
Western blot analysis of op18 in EL4 cell lysate with op18 antibody at (A) 0.5, (B) 1 and (C) 2 μg/mL.
Immunohistochemistry of op18 in human brain tissue with op18 antibody at 2.5 μg/mL.
Immunofluorescence of op18 in human brain tissue with op18 antibody at 20 μg/mL. |
||
Specification |
|||
Quantity |
|
||
| Select | Brand | Catalog No. | Product Name | Pack Size | Type | Field of Research | Specification | Quantity | Price(USD) | |
| 1 | Leading Biology | APR03440G | ITGA11 Antibody (N-term) | 100 μl | Polyclonal Antibodies |
|
$495.00 | Add Ask | ||
| 2 | Leading Biology | APR04537G | CMIP Antibody (C-term) | 100 μl | Polyclonal Antibodies |
|
$495.00 | Add Ask | ||
| 3 | Leading Biology | APR12422G | Human H4 Histamine Receptor (extracellular) Antibody | 50 μl | Polyclonal Antibodies |
|
$695.00 | Add Ask | ||
| 4 | Leading Biology | APR03844G | UBE2W Antibody (C-term) | 100 μl | Polyclonal Antibodies |
|
$495.00 | Add Ask | ||
| 5 | Leading Biology | APR04349G | HECTD2 Antibody (N-term) | 100 μl | Polyclonal Antibodies |
|
$495.00 | Add Ask | ||
| 6 | Leading Biology | APR03502G | IGHG1 Antibody (Center) | 100 μl | Polyclonal Antibodies |
|
$495.00 | Add Ask |
Leading Biology Inc.
2600 Hilltop DR, Building G, B Suite C138
Richmond, CA, 94806
Tel: 1-661-524(LBI)-0262
Email: info@leadingbiology.com
Complete this form and click send to ask us a question, request a quote or simply say hello.

You have 0 item in your cart

You have 0 item in your inquiry list