> Antigen, Antibodies, ELISA, Western Blot > Primary Antibody > Polyclonal Antibodies > STIM2 AntibodyBrand |
Leading Biology | Catalog Number |
AMM08006G |
Product Type |
Polyclonal Antibodies | Field of Research |
|
Product Overview |
We constantly strive to ensure we provide our customers with the best antibodies. As a result of this work we offer this antibody in purified format.
We are in the process of updating our datasheets. If you have any questions regarding this update, please feel free to contact our technical support team.
This product is a high quality STIM2 antibody.
|
||
Molecular Weight |
83971 Da
|
||
Cellular Localization |
Antigen Cellular Localization:
Endoplasmic reticulum membrane; Single-pass type I membrane protein. Note=Dynamically translocates from a uniform endoplasmic reticulum distribution to punctual endoplasmic reticulum-plasma membrane junctions in response to decrease in endoplasmic reticulum Ca(2+) concentration
|
||
Host |
Rabbit
|
||
Species Reactivity |
Human, Mouse, Rat
|
||
Target |
STIM2;
|
||
Isotype |
IgG
|
||
Symbol |
KIAA1482
|
||
GeneID |
|||
UniProt ID |
|||
Function |
Plays a role in mediating store-operated Ca(2+) entry (SOCE), a Ca(2+) influx following depletion of intracellular Ca(2+) stores. Functions as a highly sensitive Ca(2+) sensor in the endoplasmic reticulum which activates both store-operated and store-independent Ca(2+)-influx. Regulates basal cytosolic and endoplasmic reticulum Ca(2+) concentrations. Upon mild variations of the endoplasmic reticulum Ca(2+) concentration, translocates from the endoplasmic reticulum to the plasma membrane where it probably activates the Ca(2+) release-activated Ca(2+) (CRAC) channels ORAI1, ORAI2 and ORAI3. May inhibit STIM1-mediated Ca(2+) influx.
|
||
Summary |
STIM2 Antibody: In T lymphocytes, the sole pathway for Ca++ entry following antigen-receptor binding is through store-operated Ca++-release-activated Ca++ (CRAC) channels. These channels are made up of the pore-forming subunit ORAI1 and the stromal interaction molecule 1 (STIM1), a protein that functions as a Ca++ sensor and activates the CRAC channels, migrating to the plasma membrane from endoplasmic reticulum (ER)-like sites which act as the Ca++ store. A related molecule, STIM2, acts to inhibit the STIM1-mediated store-operated Ca++ entry, and can form complexes with STIM1, suggesting they may play a coordinated role in controlling Ca++ entry. At least three isoforms of STIM2 are known to exist. This STIM2 antibody is predicted to have no cross-reactivity to STIM1.
|
||
Form |
Liquid |
||
Storage & Stability |
Store at +4°C short term. For long-term storage, aliquot and store at -20°C or below. Stable for 12 months at -20°C. Avoid repeated freeze-thaw cycles.
|
||
Applications |
WB, IHC-P, IF, E
|
||
Synonyms |
STIM2 Antibody: KIAA1482, Stromal interaction molecule 2, stromal interaction molecule 2
|
||
Images |
Western blot analysis of STIM2 in A-20 cell lysate with STIM2 antibody at (A) 0.5 and (B) 1 μg/mL.
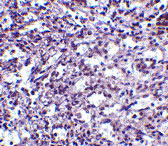
Immunohistochemistry of STIM2 in human spleen tissue with STIM2 antibody at 2.5 μg/mL.
Immunofluorescence of STIM2 in Human Spleen cells with STIM2 antibody at 20 μg/mL. |
||
Specification |
|||
Quantity |
|
||
| Select | Brand | Catalog No. | Product Name | Pack Size | Type | Field of Research | Specification | Quantity | Price(USD) | |
| 1 | Leading Biology | APR03440G | ITGA11 Antibody (N-term) | 100 μl | Polyclonal Antibodies |
|
$495.00 | Add Ask | ||
| 2 | Leading Biology | APR04537G | CMIP Antibody (C-term) | 100 μl | Polyclonal Antibodies |
|
$495.00 | Add Ask | ||
| 3 | Leading Biology | APR12422G | Human H4 Histamine Receptor (extracellular) Antibody | 50 μl | Polyclonal Antibodies |
|
$695.00 | Add Ask | ||
| 4 | Leading Biology | APR03844G | UBE2W Antibody (C-term) | 100 μl | Polyclonal Antibodies |
|
$495.00 | Add Ask | ||
| 5 | Leading Biology | APR04349G | HECTD2 Antibody (N-term) | 100 μl | Polyclonal Antibodies |
|
$495.00 | Add Ask | ||
| 6 | Leading Biology | APR03502G | IGHG1 Antibody (Center) | 100 μl | Polyclonal Antibodies |
|
$495.00 | Add Ask |
Leading Biology Inc.
2600 Hilltop DR, Building G, B Suite C138
Richmond, CA, 94806
Tel: 1-661-524(LBI)-0262
Email: info@leadingbiology.com
Complete this form and click send to ask us a question, request a quote or simply say hello.

You have 0 item in your cart

You have 0 item in your inquiry list