> Antigen, Antibodies, ELISA, Western Blot > Primary Antibody > Polyclonal Antibodies > MDA5 AntibodyBrand |
Leading Biology | Catalog Number |
APG02940G |
Product Type |
Polyclonal Antibodies | Field of Research |
|
Product Overview |
We constantly strive to ensure we provide our customers with the best antibodies. As a result of this work we offer this antibody in purified format.
We are in the process of updating our datasheets. If you have any questions regarding this update, please feel free to contact our technical support team.
This product is a high quality MDA5 antibody.
|
||
Molecular Weight |
116689 Da
|
||
Cellular Localization |
Antigen Cellular Localization:
Cytoplasm. Nucleus. Note=May be found in the nucleus, during apoptosis
|
||
Host |
Rabbit
|
||
Species Reactivity |
Human, Mouse
|
||
Target |
IFIH1;
|
||
Isotype |
IgG
|
||
Symbol |
MDA5, RH116
|
||
GeneID |
|||
UniProt ID |
|||
Function |
Innate immune receptor which acts as a cytoplasmic sensor of viral nucleic acids and plays a major role in sensing viral infection and in the activation of a cascade of antiviral responses including the induction of type I interferons and proinflammatory cytokines. Its ligands include mRNA lacking 2'-O- methylation at their 5' cap and long-dsRNA (>1 kb in length). Upon ligand binding it associates with mitochondria antiviral signaling protein (MAVS/IPS1) which activates the IKK-related kinases: TBK1 and IKBKE which phosphorylate interferon regulatory factors: IRF3 and IRF7 which in turn activate transcription of antiviral immunological genes, including interferons (IFNs); IFN-alpha and IFN-beta. Responsible for detecting the Picornaviridae family members such as encephalomyocarditis virus (EMCV) and mengo encephalomyocarditis virus (ENMG). Can also detect other viruses such as dengue virus (DENV), west Nile virus (WNV), and reovirus. Also involved in antiviral signaling in response to viruses containing a dsDNA genome, such as vaccinia virus. Plays an important role in amplifying innate immune signaling through recognition of RNA metabolites that are produced during virus infection by ribonuclease L (RNase L). May play an important role in enhancing natural killer cell function and may be involved in growth inhibition and apoptosis in several tumor cell lines.
|
||
Summary |
MDA5 Antibody: The innate immune system detects viral infection by recognizing various viral components and triggers antiviral responses. Like the toll-like receptor 3 (TLR3), the melanoma differentiation-associated protein 5 (MDA5) recognizes double-stranded (ds) RNA, a molecular pattern associated with viral infection. MDA5, a member of the DEAD/DEAH-box RNA helicase family, consists of an amino-terminal caspase recruitment domain (CARD) and a carboxyl-terminal RNA helicase domain similar to that of the related protein RIG-1. When stimulated by dsRNA, MDA5 recruits the adaptor protein VISA and ultimately causes the activation of IRF-3 and NF-κB. MDA5 and RIG-1 recognize different types of dsRNA, with MDA5 recognizing poly (I:C). MDA5-null mice were highly susceptible to infection with picornaviruses, which possess such sequences, demonstrating the importance of MDA5 in innate immunity.
|
||
Form |
Liquid |
||
Storage & Stability |
Store at +4°C short term. For long-term storage, aliquot and store at -20°C or below. Stable for 12 months at -20°C. Avoid repeated freeze-thaw cycles.
|
||
Applications |
WB, IHC-P, IF, E
|
||
Synonyms |
MDA5 Antibody: Hlcd, MDA5, MDA-5, RLR-2, IDDM19, RH116, Interferon-induced helicase C domain-containing protein 1, Clinically amyopathic dermatomyositis autoantigen 140 kDa, CADM-140 autoantigen, interferon induced with helicase C domain 1
|
||
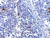
Images |
Western blot analysis of MDA5 in Daudi cell lysate with MDA5 antibody at (A) 1, (B) 2 and (C) 4 μg/mL.
Immunohistochemistry of MDA5 in human lymph node tissue with MDA5 antibody at 5 μg/mL.
Immunofluorescence of MDA5 in Human Lymph Node cells with MDA5 antibody at 20 μg/mL. |
||
Specification |
|||
Quantity |
|
||
| Select | Brand | Catalog No. | Product Name | Pack Size | Type | Field of Research | Specification | Quantity | Price(USD) | |
| 1 | Leading Biology | APR03440G | ITGA11 Antibody (N-term) | 100 μl | Polyclonal Antibodies |
|
$495.00 | Add Ask | ||
| 2 | Leading Biology | APR04537G | CMIP Antibody (C-term) | 100 μl | Polyclonal Antibodies |
|
$495.00 | Add Ask | ||
| 3 | Leading Biology | APR12422G | Human H4 Histamine Receptor (extracellular) Antibody | 50 μl | Polyclonal Antibodies |
|
$695.00 | Add Ask | ||
| 4 | Leading Biology | APR03844G | UBE2W Antibody (C-term) | 100 μl | Polyclonal Antibodies |
|
$495.00 | Add Ask | ||
| 5 | Leading Biology | APR04349G | HECTD2 Antibody (N-term) | 100 μl | Polyclonal Antibodies |
|
$495.00 | Add Ask | ||
| 6 | Leading Biology | APR03502G | IGHG1 Antibody (Center) | 100 μl | Polyclonal Antibodies |
|
$495.00 | Add Ask |
Leading Biology Inc.
2600 Hilltop DR, Building G, B Suite C138
Richmond, CA, 94806
Tel: 1-661-524(LBI)-0262
Email: info@leadingbiology.com
Complete this form and click send to ask us a question, request a quote or simply say hello.

You have 0 item in your cart

You have 0 item in your inquiry list