> Antigen, Antibodies, ELISA, Western Blot > Primary Antibody > Polyclonal Antibodies > DRAM AntibodyBrand |
Leading Biology | Catalog Number |
APR07623G |
Product Type |
Polyclonal Antibodies | Field of Research |
|
Product Overview |
We constantly strive to ensure we provide our customers with the best antibodies. As a result of this work we offer this antibody in purified format.
We are in the process of updating our datasheets. If you have any questions regarding this update, please feel free to contact our technical support team.
This product is a high quality DRAM antibody.
|
||
Molecular Weight |
Predicted: 26 kDa Observed: 30 kDa
|
||
Cellular Localization |
Antigen Cellular Localization:
Lysosome membrane; Multi-pass membrane protein
|
||
Host |
Rabbit
|
||
Species Reactivity |
Human, Mouse, Rat
|
||
Target |
DRAM;
|
||
Isotype |
IgG
|
||
Symbol |
DRAM
|
||
GeneID |
|||
UniProt ID |
|||
Function |
Lysosomal modulator of autophagy that plays a central role in p53/TP53-mediated apoptosis. Not involved in p73/TP73- mediated autophagy.
|
||
Summary |
DRAM Antibody: Damage-regulated autophagy modulator (DRAM) is a p53 target gene encoding a lysosomal protein that induces autophagy, a process that degrades cytosolic proteins and organelles. It has been suggested that activation of DRAM by p53 is simultaneous to the activation by p53 of one or more proapoptotic genes such as PUMA, Bax, etc., and that the signaling pathways regulated by these genes together promote a full cell death response. By itself, DRAM cannot induce apoptosis, but the fact that it is inactivated in certain cancers highlights the importance of DRAM and suggests that autophagy may play a more important role in cancer than initially suspected. At least two different isoforms of DRAM are known to exist.
|
||
Form |
Liquid |
||
Storage & Stability |
Store at +4°C short term. For long-term storage, aliquot and store at -20°C or below. Stable for 12 months at -20°C. Avoid repeated freeze-thaw cycles.
|
||
Applications |
WB, IHC-P, IF, E
|
||
Synonyms |
DRAM Antibody: DRAM, DRAM, DNA damage-regulated autophagy modulator protein 1, Damage-regulated autophagy modulator, damage-regulated autophagy modulator
|
||
Images |
Western blot analysis of DRAM in K562 cell lysate with DRAM antibody at (A) 0.5, (B) 1 and (C) 2 μg/mL.
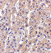
Immunohistochemistry of DRAM in human liver tissue with DRAM antibody at 2.5 μg/mL.
Immunofluorescence of DRAM in Human Liver tissue with DRAM antibody at 20 μg/mL. |
||
Specification |
|||
Quantity |
|
||
| Select | Brand | Catalog No. | Product Name | Pack Size | Type | Field of Research | Specification | Quantity | Price(USD) | |
| 1 | Leading Biology | APR03440G | ITGA11 Antibody (N-term) | 100 μl | Polyclonal Antibodies |
|
$495.00 | Add Ask | ||
| 2 | Leading Biology | APR04537G | CMIP Antibody (C-term) | 100 μl | Polyclonal Antibodies |
|
$495.00 | Add Ask | ||
| 3 | Leading Biology | APR12422G | Human H4 Histamine Receptor (extracellular) Antibody | 50 μl | Polyclonal Antibodies |
|
$695.00 | Add Ask | ||
| 4 | Leading Biology | APR03844G | UBE2W Antibody (C-term) | 100 μl | Polyclonal Antibodies |
|
$495.00 | Add Ask | ||
| 5 | Leading Biology | APR04349G | HECTD2 Antibody (N-term) | 100 μl | Polyclonal Antibodies |
|
$495.00 | Add Ask | ||
| 6 | Leading Biology | APR03502G | IGHG1 Antibody (Center) | 100 μl | Polyclonal Antibodies |
|
$495.00 | Add Ask |
Leading Biology Inc.
2600 Hilltop DR, Building G, B Suite C138
Richmond, CA, 94806
Tel: 1-661-524(LBI)-0262
Email: info@leadingbiology.com
Complete this form and click send to ask us a question, request a quote or simply say hello.

You have 0 item in your cart

You have 0 item in your inquiry list