> Antigen, Antibodies, ELISA, Western Blot > Primary Antibody > Polyclonal Antibodies > Emerin AntibodyBrand |
Leading Biology | Catalog Number |
APR15821G |
Product Type |
Polyclonal Antibodies | Field of Research |
|
Product Overview |
We constantly strive to ensure we provide our customers with the best antibodies. As a result of this work we offer this antibody in purified format.
We are in the process of updating our datasheets. If you have any questions regarding this update, please feel free to contact our technical support team.
This product is a high quality Emerin antibody.
|
||
Molecular Weight |
28994 Da
|
||
Cellular Localization |
Antigen Cellular Localization:
Nucleus inner membrane; Single-pass membrane protein; Nucleoplasmic side. Nucleus outer membrane Note=Colocalized with BANF1 at the central region of the assembling nuclear rim, near spindle-attachment sites. The accumulation of different intermediates of prelamin-A/C (non- farnesylated or carboxymethylated farnesylated prelamin-A/C) in fibroblasts modify its localization in the nucleus
|
||
Host |
Rabbit
|
||
Species Reactivity |
Human, Mouse, Rat
|
||
Target |
EMD;
|
||
Isotype |
IgG
|
||
Symbol |
EDMD, STA
|
||
GeneID |
|||
UniProt ID |
|||
Function |
Stabilizes and promotes the formation of a nuclear actin cortical network. Stimulates actin polymerization in vitro by binding and stabilizing the pointed end of growing filaments. Inhibits beta-catenin activity by preventing its accumulation in the nucleus. Acts by influencing the nuclear accumulation of beta- catenin through a CRM1-dependent export pathway. Links centrosomes to the nuclear envelope via a microtubule association. EMD and BAF are cooperative cofactors of HIV-1 infection. Association of EMD with the viral DNA requires the presence of BAF and viral integrase. The association of viral DNA with chromatin requires the presence of BAF and EMD. Required for proper localization of non-farnesylated prelamin-A/C.
|
||
Summary |
Emerin Antibody: Emerin is a serine-rich nuclear membrane protein and a member of the nuclear lamina-associated protein family that includes proteins such as LAP2 and MAN1. Each family member, including Emerin, has an ~40 amino acid LEM-domains that binds barrier-to-autointegration (BANF1), a conserved chromatin protein that also serves as a host cell component of retroviral integration complexes, including that of HIV. Emerin is anchored at the inner membrane of the nuclear envelope where it binds to nuclear intermediate filaments that are formed by lamin proteins. Dreifuss-Emery muscular dystrophy is an X-linked inherited degenerative myopathy resulting from mutation in the emerin gene.
|
||
Form |
Liquid |
||
Storage & Stability |
Store at +4°C short term. For long-term storage, aliquot and store at -20°C or below. Stable for 12 months at -20°C. Avoid repeated freeze-thaw cycles.
|
||
Applications |
WB, IHC-P, IF, E
|
||
Synonyms |
Emerin Antibody: STA, EDMD, LEMD5, STA, Emerin, emerin
|
||
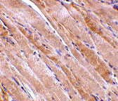
Images |
Western blot analysis of Emerin in human skeletal muscle tissue lysate with Emerin antibody at (A) 0.5 and (B) 1 μg/mL.
Immunohistochemistry of emerin in human skeletal muscle tissue with emerin antibody at 2.5 μg/mL.
Immunofluorescence of Emerin in Human Skeletal Muscle cells with Emerin antibody at 5 μg/mL. |
||
Specification |
|||
Quantity |
|
||
| Select | Brand | Catalog No. | Product Name | Pack Size | Type | Field of Research | Specification | Quantity | Price(USD) | |
| 1 | Leading Biology | APR03440G | ITGA11 Antibody (N-term) | 100 μl | Polyclonal Antibodies |
|
$495.00 | Add Ask | ||
| 2 | Leading Biology | APR04537G | CMIP Antibody (C-term) | 100 μl | Polyclonal Antibodies |
|
$495.00 | Add Ask | ||
| 3 | Leading Biology | APR12422G | Human H4 Histamine Receptor (extracellular) Antibody | 50 μl | Polyclonal Antibodies |
|
$695.00 | Add Ask | ||
| 4 | Leading Biology | APR03844G | UBE2W Antibody (C-term) | 100 μl | Polyclonal Antibodies |
|
$495.00 | Add Ask | ||
| 5 | Leading Biology | APR04349G | HECTD2 Antibody (N-term) | 100 μl | Polyclonal Antibodies |
|
$495.00 | Add Ask | ||
| 6 | Leading Biology | APR03502G | IGHG1 Antibody (Center) | 100 μl | Polyclonal Antibodies |
|
$495.00 | Add Ask |
Leading Biology Inc.
2600 Hilltop DR, Building G, B Suite C138
Richmond, CA, 94806
Tel: 1-661-524(LBI)-0262
Email: info@leadingbiology.com
Complete this form and click send to ask us a question, request a quote or simply say hello.

You have 0 item in your cart

You have 0 item in your inquiry list