> Antigen, Antibodies, ELISA, Western Blot > Primary Antibody > Polyclonal Antibodies > PEN2 AntibodyBrand |
Leading Biology | Catalog Number |
APR12796G |
Product Type |
Polyclonal Antibodies | Field of Research |
|
Product Overview |
We constantly strive to ensure we provide our customers with the best antibodies. As a result of this work we offer this antibody in purified format.
We are in the process of updating our datasheets. If you have any questions regarding this update, please feel free to contact our technical support team.
This product is a high quality PEN2 antibody.
|
||
Molecular Weight |
12029 Da
|
||
Cellular Localization |
Antigen Cellular Localization:
Endoplasmic reticulum membrane; Multi-pass membrane protein. Golgi apparatus, Golgi stack membrane; Multi- pass membrane protein. Note=Predominantly located in the endoplasmic reticulum and in the cis-Golgi
|
||
Host |
Rabbit
|
||
Species Reactivity |
Human, Mouse, Rat
|
||
Target |
PSENEN;
|
||
Isotype |
IgG
|
||
Symbol |
PEN2
|
||
GeneID |
|||
UniProt ID |
|||
Function |
Essential subunit of the gamma-secretase complex, an endoprotease complex that catalyzes the intramembrane cleavage of integral membrane proteins such as Notch receptors and APP (beta- amyloid precursor protein). Probably represents the last step of maturation of gamma-secretase, facilitating endoproteolysis of presenilin and conferring gamma-secretase activity.
|
||
Summary |
PEN2 Antibody: PEN2, in addition to presenilin, nicastrin, and APH-1 forms the gamma-secretase protein complex, a membrane-bound aspartyl protease that can cleave certain proteins at peptide bonds buried within the hydrophobic environment of the lipid bilayer. This cleavage is responsible for a key step in signaling from several cell-surface receptors and is thought to be required for the generation of the neurotoxic amyloid peptides that are central to the pathogenesis of Alzheimer's disease. Like the tumor necrosis factor-alpha-converting enzyme (TACE) and the beta-site cleavage enzyme (BACE) protease families, gamma-secretase will cleave the amyloid precursor protein (APP), but within the intramembrane region of APP, resulting in either the non-toxic p3 (from the alpha and gamma cleavage site) or the toxic Abeta amyloid peptide (from the beta and gamma cleavage site). It is thought that accumulation of the Abeta peptide is the precursor to Alzheimer's disease.
|
||
Form |
Liquid |
||
Storage & Stability |
Store at +4°C short term. For long-term storage, aliquot and store at -20°C or below. Stable for 12 months at -20°C. Avoid repeated freeze-thaw cycles.
|
||
Applications |
WB, IHC-P, IF, E
|
||
Synonyms |
PEN2 Antibody: PEN2, PEN-2, MDS033, MSTP064, PEN2, Gamma-secretase subunit PEN-2, Presenilin enhancer protein 2, presenilin enhancer 2 homolog (C. elegans)
|
||
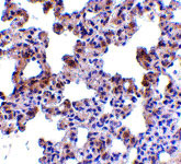
Images |
Western blot analysis of PEN2 in A-20 cell lysate with PEN2 antibody at (A) 0.5 and (B) 1 μg/mL.
Immunohistochemistry of PEN2 in rat lung tissue with PEN2 antibody at 2.5 μg/mL.
Immunofluorescence of PEN2 in Rat Lung cells with PEN2 antibody at 20 μg/mL. |
||
Specification |
|||
Quantity |
|
||
| Select | Brand | Catalog No. | Product Name | Pack Size | Type | Field of Research | Specification | Quantity | Price(USD) | |
| 1 | Leading Biology | APR03440G | ITGA11 Antibody (N-term) | 100 μl | Polyclonal Antibodies |
|
$495.00 | Add Ask | ||
| 2 | Leading Biology | APR04537G | CMIP Antibody (C-term) | 100 μl | Polyclonal Antibodies |
|
$495.00 | Add Ask | ||
| 3 | Leading Biology | APR12422G | Human H4 Histamine Receptor (extracellular) Antibody | 50 μl | Polyclonal Antibodies |
|
$695.00 | Add Ask | ||
| 4 | Leading Biology | APR03844G | UBE2W Antibody (C-term) | 100 μl | Polyclonal Antibodies |
|
$495.00 | Add Ask | ||
| 5 | Leading Biology | APR04349G | HECTD2 Antibody (N-term) | 100 μl | Polyclonal Antibodies |
|
$495.00 | Add Ask | ||
| 6 | Leading Biology | APR03502G | IGHG1 Antibody (Center) | 100 μl | Polyclonal Antibodies |
|
$495.00 | Add Ask |
Leading Biology Inc.
2600 Hilltop DR, Building G, B Suite C138
Richmond, CA, 94806
Tel: 1-661-524(LBI)-0262
Email: info@leadingbiology.com
Complete this form and click send to ask us a question, request a quote or simply say hello.

You have 0 item in your cart

You have 0 item in your inquiry list