> Antigen, Antibodies, ELISA, Western Blot > Primary Antibody > Polyclonal Antibodies > Lipe AntibodyBrand |
Leading Biology | Catalog Number |
APR08243G |
Product Type |
Polyclonal Antibodies | Field of Research |
|
Product Overview |
We constantly strive to ensure we provide our customers with the best antibodies. As a result of this work we offer this antibody in purified format.
We are in the process of updating our datasheets. If you have any questions regarding this update, please feel free to contact our technical support team.
This product is a high quality Lipe antibody.
|
||
Molecular Weight |
Predicted: 85, 90, 110, 118 kDa Observed: 90 kDa
|
||
Cellular Localization |
Antigen Cellular Localization:
Cell membrane. Membrane, caveola. Cytoplasm, cytosol. Note=Found in the high-density caveolae. Translocates to the cytoplasm from the caveolae upon insulin stimulation
|
||
Host |
Rabbit
|
||
Species Reactivity |
Human, Mouse, Rat
|
||
Target |
LIPE; Multiple isoforms of Lipe are known to exist.
|
||
Isotype |
IgG
|
||
GeneID |
|||
UniProt ID |
|||
Function |
In adipose tissue and heart, it primarily hydrolyzes stored triglycerides to free fatty acids, while in steroidogenic tissues, it principally converts cholesteryl esters to free cholesterol for steroid hormone production.
|
||
Summary |
Lipe Antibody: Although initially described as an adipocyte-specific triacylglycerol lipase, Lipe (also known as hormone-specific lipase or HSL) is expressed in multiple tissues and cell lines. It plays multiple roles in lipid metabolism, including hormone-stimulated lipolysis in adipose tissue and the hydrolysis of cholesterol esters. Lipe is expressed as a long and a short form, generated by use of alternative translational start codons. The long form is expressed in steroidogenic tissues such as testis, where it converts cholesterol esters to free cholesterol for steroid hormone production. The short form is expressed in adipose tissue, among others, where it hydrolyzes stored triglycerides to free fatty acids. Recently, it was observed that the lack of Lipe in genetically obese leptin-null mice inhibited obesity and adipogenesis, suggesting that Lipe plays a major role in adipocyte proliferation.
|
||
Form |
Liquid |
||
Storage & Stability |
Store at +4°C short term. For long-term storage, aliquot and store at -20°C or below. Stable for 12 months at -20°C. Avoid repeated freeze-thaw cycles.
|
||
Applications |
WB, IHC-P, IF, E
|
||
Synonyms |
Lipe Antibody: HSL, LHS, Hormone-sensitive lipase, HSL, lipase, hormone-sensitive
|
||
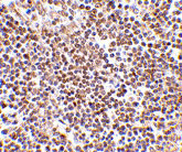
Images |
Western blot analysis of Lipe in human lymph node tissue lysate with Lipe antibody at (A) 0.5 and (B) 1 μg/mL.
Immunohistochemistry of lipe in human lymph node tissue with lipe antibody at 2.5 μg/mL.
Immunofluorescence of Lipe in Human Lymph Node cells with Lipe antibody at 20 μg/mL. |
||
Specification |
|||
Quantity |
|
||
| Select | Brand | Catalog No. | Product Name | Pack Size | Type | Field of Research | Specification | Quantity | Price(USD) | |
| 1 | Leading Biology | APR03440G | ITGA11 Antibody (N-term) | 100 μl | Polyclonal Antibodies |
|
$495.00 | Add Ask | ||
| 2 | Leading Biology | APR04537G | CMIP Antibody (C-term) | 100 μl | Polyclonal Antibodies |
|
$495.00 | Add Ask | ||
| 3 | Leading Biology | APR12422G | Human H4 Histamine Receptor (extracellular) Antibody | 50 μl | Polyclonal Antibodies |
|
$695.00 | Add Ask | ||
| 4 | Leading Biology | APR03844G | UBE2W Antibody (C-term) | 100 μl | Polyclonal Antibodies |
|
$495.00 | Add Ask | ||
| 5 | Leading Biology | APR04349G | HECTD2 Antibody (N-term) | 100 μl | Polyclonal Antibodies |
|
$495.00 | Add Ask | ||
| 6 | Leading Biology | APR03502G | IGHG1 Antibody (Center) | 100 μl | Polyclonal Antibodies |
|
$495.00 | Add Ask |
Leading Biology Inc.
2600 Hilltop DR, Building G, B Suite C138
Richmond, CA, 94806
Tel: 1-661-524(LBI)-0262
Email: info@leadingbiology.com
Complete this form and click send to ask us a question, request a quote or simply say hello.

You have 0 item in your cart

You have 0 item in your inquiry list