> Antigen, Antibodies, ELISA, Western Blot > Primary Antibody > Polyclonal Antibodies > PKR AntibodyBrand |
Leading Biology | Catalog Number |
AMM07223G |
Product Type |
Polyclonal Antibodies | Field of Research |
|
Product Overview |
We constantly strive to ensure we provide our customers with the best antibodies. As a result of this work we offer this antibody in purified format.
We are in the process of updating our datasheets. If you have any questions regarding this update, please feel free to contact our technical support team.
This product is a high quality PKR antibody.
|
||
Molecular Weight |
Predicted: 56, 61 kDa Observed: 72 kDa
|
||
Cellular Localization |
Antigen Cellular Localization:
Cytoplasm. Nucleus. Cytoplasm, perinuclear region. Note=Nuclear localization is elevated in acute leukemia, myelodysplastic syndrome (MDS), melanoma, breast, colon, prostate and lung cancer patient samples or cell lines as well as neurocytes from advanced Creutzfeldt-Jakob disease patients
|
||
Host |
Rabbit
|
||
Species Reactivity |
Human, Mouse, Rat
|
||
Target |
EIF2AK2; At least two different isoforms of PKR are known to exist; this antibody will detect both isoforms.
|
||
Isotype |
IgG
|
||
Symbol |
PKR, PRKR
|
||
GeneID |
|||
UniProt ID |
|||
Function |
IFN-induced dsRNA-dependent serine/threonine-protein kinase which plays a key role in the innate immune response to viral infection and is also involved in the regulation of signal transduction, apoptosis, cell proliferation and differentiation. Exerts its antiviral activity on a wide range of DNA and RNA viruses including hepatitis C virus (HCV), hepatitis B virus (HBV), measles virus (MV) and herpes simplex virus 1 (HHV-1). Inhibits viral replication via phosphorylation of the alpha subunit of eukaryotic initiation factor 2 (EIF2S1), this phosphorylation impairs the recycling of EIF2S1 between successive rounds of initiation leading to inhibition of translation which eventually results in shutdown of cellular and viral protein synthesis. Also phosphorylates other substrates including p53/TP53, PPP2R5A, DHX9, ILF3, IRS1 and the HHV-1 viral protein US11. In addition to serine/threonine-protein kinase activity, also has tyrosine-protein kinase activity and phosphorylates CDK1 at 'Tyr-4' upon DNA damage, facilitating its ubiquitination and proteosomal degradation. Either as an adapter protein and/or via its kinase activity, can regulate various signaling pathways (p38 MAP kinase, NF-kappa-B and insulin signaling pathways) and transcription factors (JUN, STAT1, STAT3, IRF1, ATF3) involved in the expression of genes encoding proinflammatory cytokines and IFNs. Activates the NF-kappa-B pathway via interaction with IKBKB and TRAF family of proteins and activates the p38 MAP kinase pathway via interaction with MAP2K6. Can act as both a positive and negative regulator of the insulin signaling pathway (ISP). Negatively regulates ISP by inducing the inhibitory phosphorylation of insulin receptor substrate 1 (IRS1) at 'Ser- 312' and positively regulates ISP via phosphorylation of PPP2R5A which activates FOXO1, which in turn up-regulates the expression of insulin receptor substrate 2 (IRS2). Can regulate NLRP3 inflammasome assembly and the activation of NLRP3, NLRP1, AIM2 and NLRC4 inflammasomes. Can trigger apoptosis via FADD-mediated activation of CASP8. Plays a role in the regulation of the cytoskeleton by binding to gelsolin (GSN), sequestering the protein in an inactive conformation away from actin.
|
||
Summary |
PKR Antibody: The interferon-inducible, double-stranded RNA (dsRNA)-dependent protein kinase PKR is a member of the eukaryotic initiation factor-2 alpha (eIF2-alpha) kinase family, possessing serine-threonine kinase activity and two dsRNA-binding motifs that acts as part of the innate immune system. Upon binding dsRNA, PKR undergoes a conformational change leading to its activation and its phosphorylation of the translation factor eIF2, resulting in a general shutdown of protein synthesis and induction of apoptosis through upregulation of caspase-8 and capsase-9 activity in order to prevent the production of more viruses. To evade the antiviral effects of PKR, viruses have evolved multiple mechanisms, such as the inhibition of PKR by the non-structural protein (NS1) of the influenza virus. More recently, PKR has been implicated in several neurodegenerative diseases including Alzheimer, Huntington, and amyotrophic lateral sclerosis.
|
||
Form |
Liquid |
||
Storage & Stability |
Store at +4°C short term. For long-term storage, aliquot and store at -20°C or below. Stable for 12 months at -20°C. Avoid repeated freeze-thaw cycles.
|
||
Applications |
WB, IHC-P, IF, E
|
||
Synonyms |
PKR Antibody: PKR, PRKR, EIF2AK1, PKR, Interferon-induced, double-stranded RNA-activated protein kinase, Eukaryotic translation initiation factor 2-alpha kinase 2, eIF-2A protein kinase 2, eukaryotic translation initiation factor 2-alpha kinase 2
|
||
Images |
Western blot analysis of PKR in A431 whole cell lysate with PKR antibody at (A) 0.5, (B) 1 and (C) 2 μg/mL.
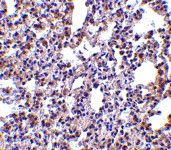
Immunohistochemistry of PKR in rat lung tissue with PKR antibody at 2.5 μg/mL.
Immunofluorescence of PKR in Rat Lung tissue with PKR antibody at 20 μg/mL. |
||
Specification |
|||
Quantity |
|
||
| Select | Brand | Catalog No. | Product Name | Pack Size | Type | Field of Research | Specification | Quantity | Price(USD) | |
| 1 | Leading Biology | APR03440G | ITGA11 Antibody (N-term) | 100 μl | Polyclonal Antibodies |
|
$495.00 | Add Ask | ||
| 2 | Leading Biology | APR04537G | CMIP Antibody (C-term) | 100 μl | Polyclonal Antibodies |
|
$495.00 | Add Ask | ||
| 3 | Leading Biology | APR12422G | Human H4 Histamine Receptor (extracellular) Antibody | 50 μl | Polyclonal Antibodies |
|
$695.00 | Add Ask | ||
| 4 | Leading Biology | APR03844G | UBE2W Antibody (C-term) | 100 μl | Polyclonal Antibodies |
|
$495.00 | Add Ask | ||
| 5 | Leading Biology | APR04349G | HECTD2 Antibody (N-term) | 100 μl | Polyclonal Antibodies |
|
$495.00 | Add Ask | ||
| 6 | Leading Biology | APR03502G | IGHG1 Antibody (Center) | 100 μl | Polyclonal Antibodies |
|
$495.00 | Add Ask |
Leading Biology Inc.
2600 Hilltop DR, Building G, B Suite C138
Richmond, CA, 94806
Tel: 1-661-524(LBI)-0262
Email: info@leadingbiology.com
Complete this form and click send to ask us a question, request a quote or simply say hello.

You have 0 item in your cart

You have 0 item in your inquiry list