> Antigen, Antibodies, ELISA, Western Blot > Primary Antibody > Polyclonal Antibodies > TRPC6 AntibodyBrand |
Leading Biology | Catalog Number |
APR13812G |
Product Type |
Polyclonal Antibodies | Field of Research |
|
Product Overview |
We constantly strive to ensure we provide our customers with the best antibodies. As a result of this work we offer this antibody in purified format.
We are in the process of updating our datasheets. If you have any questions regarding this update, please feel free to contact our technical support team.
This product is a high quality TRPC6 antibody.
|
||
Molecular Weight |
106326 Da
|
||
Cellular Localization |
Antigen Cellular Localization:
Membrane; Multi-pass membrane protein
|
||
Host |
Rabbit
|
||
Species Reactivity |
Human, Mouse
|
||
Target |
TRPC6; This antibody may cross-react with TRPC3.
|
||
Isotype |
IgG
|
||
Symbol |
TRP6
|
||
GeneID |
|||
UniProt ID |
|||
Function |
Thought to form a receptor-activated non-selective calcium permeant cation channel. Probably is operated by a phosphatidylinositol second messenger system activated by receptor tyrosine kinases or G-protein coupled receptors. Activated by diacylglycerol (DAG) in a membrane-delimited fashion, independently of protein kinase C. Seems not to be activated by intracellular calcium store depletion.
|
||
Summary |
TRPC6 Antibody: The mammalian transient receptor potential (TRP) superfamily can be divided into three major families including the "canonical TRP" (TRPC) family. The seven members of this family share the activation through PLC-coupled receptors and have been suggested to be components of receptor-regulated cation channels in different cell types. Furthermore, the members of the TRPC3/6/7 subfamily can be activated by diacylglycerol (DAG) analogs, suggesting a possible mechanism of activation of these channels by PLC-coupled receptors. When expressed in transfected cells, TRPC6 acts as a non-selective store-independent receptor-activated cation channel. It is activated by DAG in a PKC-independent manner and is insensitive to IP3 activation. There is increasing evidence that TRPC6 encodes endogenous DAG-activated receptor-operated cation channels in vivo.
|
||
Form |
Liquid |
||
Storage & Stability |
Store at +4°C short term. For long-term storage, aliquot and store at -20°C or below. Stable for 12 months at -20°C. Avoid repeated freeze-thaw cycles.
|
||
Applications |
WB, IHC-P, E
|
||
Synonyms |
TRPC6 Antibody: TRP6, FSGS2, TRP6, Short transient receptor potential channel 6, Transient receptor protein 6, TrpC6, transient receptor potential cation channel, subfamily C, member 6
|
||
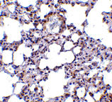
Images |
Western blot analysis of TRPC6 in K562 cell lysate with TRPC6 antibody at (A) 0.5 and (B) 1 μg/mL.
Immunohistochemistry of TRPC6 in mouse lung tissue with TRPC6 antibody at 10 μg/mL. |
||
Specification |
|||
Quantity |
|
||
| Select | Brand | Catalog No. | Product Name | Pack Size | Type | Field of Research | Specification | Quantity | Price(USD) | |
| 1 | Leading Biology | APR03440G | ITGA11 Antibody (N-term) | 100 μl | Polyclonal Antibodies |
|
$495.00 | Add Ask | ||
| 2 | Leading Biology | APR04537G | CMIP Antibody (C-term) | 100 μl | Polyclonal Antibodies |
|
$495.00 | Add Ask | ||
| 3 | Leading Biology | APR12422G | Human H4 Histamine Receptor (extracellular) Antibody | 50 μl | Polyclonal Antibodies |
|
$695.00 | Add Ask | ||
| 4 | Leading Biology | APR03844G | UBE2W Antibody (C-term) | 100 μl | Polyclonal Antibodies |
|
$495.00 | Add Ask | ||
| 5 | Leading Biology | APR04349G | HECTD2 Antibody (N-term) | 100 μl | Polyclonal Antibodies |
|
$495.00 | Add Ask | ||
| 6 | Leading Biology | APR03502G | IGHG1 Antibody (Center) | 100 μl | Polyclonal Antibodies |
|
$495.00 | Add Ask |
Leading Biology Inc.
2600 Hilltop DR, Building G, B Suite C138
Richmond, CA, 94806
Tel: 1-661-524(LBI)-0262
Email: info@leadingbiology.com
Complete this form and click send to ask us a question, request a quote or simply say hello.

You have 0 item in your cart

You have 0 item in your inquiry list