> Antigen, Antibodies, ELISA, Western Blot > Primary Antibody > Polyclonal Antibodies > TIP47 AntibodyBrand |
Leading Biology | Catalog Number |
AMM08204G |
Product Type |
Polyclonal Antibodies | Field of Research |
|
Product Overview |
We constantly strive to ensure we provide our customers with the best antibodies. As a result of this work we offer this antibody in purified format.
We are in the process of updating our datasheets. If you have any questions regarding this update, please feel free to contact our technical support team.
This product is a high quality TIP47 antibody.
|
||
Molecular Weight |
Predicted: 48 kDa Observed: 53 kDa
|
||
Cellular Localization |
Antigen Cellular Localization:
Cytoplasm. Endosome membrane; Peripheral membrane protein; Cytoplasmic side. Lipid droplet. Note=Membrane associated on endosomes. Detected in the envelope and the core of lipid bodies and in lipid sails
|
||
Host |
Rabbit
|
||
Species Reactivity |
Human, Mouse, Rat
|
||
Target |
M6PRBP1;
|
||
Isotype |
IgG
|
||
Symbol |
M6PRBP1, TIP47
|
||
GeneID |
|||
UniProt ID |
|||
Function |
Required for the transport of mannose 6-phosphate receptors (MPR) from endosomes to the trans-Golgi network.
|
||
Summary |
TIP47 Antibody: Tail-interacting protein (TIP47) is a cytosolic protein essential for the transport of mannose-6-phosphate receptors (MPRs) from endosomes to the trans-Golgi compartments in cells. TIP47 is recruited from the cytoplasm to the late endosomal surface by the Ras-associated protein Rab9 GTPase, enabling it to bind more efficiently to MPR cytoplasmic domains. Recently, it was shown that TIP47 regulates the expression of Rab9, as expression of siRNA to TIP47 in transfected cells dramatically decreased the half-life of the Rab9 protein in addition to stabilizing the subcellular localization of Rab9. At least two isoforms of TIP47 are known to exist.
|
||
Form |
Liquid |
||
Storage & Stability |
Store at +4°C short term. For long-term storage, aliquot and store at -20°C or below. Stable for 12 months at -20°C. Avoid repeated freeze-thaw cycles.
|
||
Applications |
WB, IHC-P, E
|
||
Synonyms |
TIP47 Antibody: PP17, TIP47, M6PRBP1, Perilipin-3, 47 kDa mannose 6-phosphate receptor-binding protein, 47 kDa MPR-binding protein, mannose-6-phosphate receptor binding protein 1
|
||
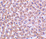
Images |
Western blot analysis of TIP47 in EL4 cell lysate with TIP47 antibody at (A) 0.5 and (B) 1 μg/mL.
Immunohistochemistry of TIP47 in rat liver tissue with TIP47 antibody at 2 μg/mL. |
||
Specification |
|||
Quantity |
|
||
| Select | Brand | Catalog No. | Product Name | Pack Size | Type | Field of Research | Specification | Quantity | Price(USD) | |
| 1 | Leading Biology | APR03440G | ITGA11 Antibody (N-term) | 100 μl | Polyclonal Antibodies |
|
$495.00 | Add Ask | ||
| 2 | Leading Biology | APR04537G | CMIP Antibody (C-term) | 100 μl | Polyclonal Antibodies |
|
$495.00 | Add Ask | ||
| 3 | Leading Biology | APR12422G | Human H4 Histamine Receptor (extracellular) Antibody | 50 μl | Polyclonal Antibodies |
|
$695.00 | Add Ask | ||
| 4 | Leading Biology | APR03844G | UBE2W Antibody (C-term) | 100 μl | Polyclonal Antibodies |
|
$495.00 | Add Ask | ||
| 5 | Leading Biology | APR04349G | HECTD2 Antibody (N-term) | 100 μl | Polyclonal Antibodies |
|
$495.00 | Add Ask | ||
| 6 | Leading Biology | APR03502G | IGHG1 Antibody (Center) | 100 μl | Polyclonal Antibodies |
|
$495.00 | Add Ask |
Leading Biology Inc.
2600 Hilltop DR, Building G, B Suite C138
Richmond, CA, 94806
Tel: 1-661-524(LBI)-0262
Email: info@leadingbiology.com
Complete this form and click send to ask us a question, request a quote or simply say hello.

You have 0 item in your cart

You have 0 item in your inquiry list