> Antigen, Antibodies, ELISA, Western Blot > Primary Antibody > Polyclonal Antibodies > RP105 AntibodyBrand |
Leading Biology | Catalog Number |
APR11184G |
Product Type |
Polyclonal Antibodies | Field of Research |
|
Product Overview |
We constantly strive to ensure we provide our customers with the best antibodies. As a result of this work we offer this antibody in purified format.
We are in the process of updating our datasheets. If you have any questions regarding this update, please feel free to contact our technical support team.
This product is a high quality RP105 antibody.
|
||
Molecular Weight |
74179 Da
|
||
Cellular Localization |
Antigen Cellular Localization:
Cell membrane; Single-pass type I membrane protein
|
||
Host |
Rabbit
|
||
Species Reactivity |
Human, Mouse
|
||
Target |
CD180;
|
||
Isotype |
IgG
|
||
Symbol |
LY64, RP105
|
||
GeneID |
|||
UniProt ID |
|||
Function |
May cooperate with MD-1 and TLR4 to mediate the innate immune response to bacterial lipopolysaccharide (LPS) in B-cells. Leads to NF-kappa-B activation. Also involved in the life/death decision of B-cells (By similarity).
|
||
Summary |
RP105 Antibody: Toll-like receptors (TLRs) are evolutionarily conserved pattern-recognition molecules resembling the toll proteins that mediate antimicrobial responses in Drosophila. These proteins recognize different microbial products during infection and serve as an important link between the innate and adaptive immune responses. The signaling of these TLRs is kept under tight control by the expression of endogenous inhibiting proteins. One such protein is RP105, a recently identified homolog to TLR4 that, with MD-1, interacts with and inhibits the TLR4/MD-2 signaling pathway. It has also been suggested that the RP105/MD-1 complex influences antibody production mediated by both TLR4/MD-2 and TLR2 receptor complexes.
|
||
Form |
Liquid |
||
Storage & Stability |
Store at +4°C short term. For long-term storage, aliquot and store at -20°C or below. Stable for 12 months at -20°C. Avoid repeated freeze-thaw cycles.
|
||
Applications |
WB, IHC-P, IF, E
|
||
Synonyms |
RP105 Antibody: LY64, Ly78, RP105, LY64, CD180 antigen, Lymphocyte antigen 64, CD180 molecule
|
||
Images |
Western blot analysis of RP105 in human spleen tissue lysate with RP105 antibody at (A) 0.5 and (B) 1 μg/mL.
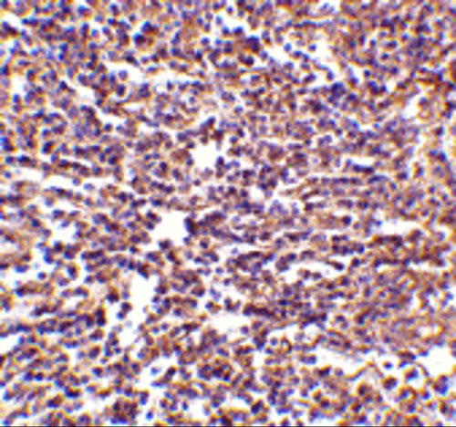
Immunohistochemistry of RP105 in human spleen tissue with RP105 antibody at 2 μg/mL.
Immunofluorescence of RP105 in human spleen tissue with RP105 antibody at 10 μg/mL. |
||
Specification |
|||
Quantity |
|
||
| Select | Brand | Catalog No. | Product Name | Pack Size | Type | Field of Research | Specification | Quantity | Price(USD) | |
| 1 | Leading Biology | APR03440G | ITGA11 Antibody (N-term) | 100 μl | Polyclonal Antibodies |
|
$495.00 | Add Ask | ||
| 2 | Leading Biology | APR04537G | CMIP Antibody (C-term) | 100 μl | Polyclonal Antibodies |
|
$495.00 | Add Ask | ||
| 3 | Leading Biology | APR12422G | Human H4 Histamine Receptor (extracellular) Antibody | 50 μl | Polyclonal Antibodies |
|
$695.00 | Add Ask | ||
| 4 | Leading Biology | APR03844G | UBE2W Antibody (C-term) | 100 μl | Polyclonal Antibodies |
|
$495.00 | Add Ask | ||
| 5 | Leading Biology | APR04349G | HECTD2 Antibody (N-term) | 100 μl | Polyclonal Antibodies |
|
$495.00 | Add Ask | ||
| 6 | Leading Biology | APR03502G | IGHG1 Antibody (Center) | 100 μl | Polyclonal Antibodies |
|
$495.00 | Add Ask |
Leading Biology Inc.
2600 Hilltop DR, Building G, B Suite C138
Richmond, CA, 94806
Tel: 1-661-524(LBI)-0262
Email: info@leadingbiology.com
Complete this form and click send to ask us a question, request a quote or simply say hello.

You have 0 item in your cart

You have 0 item in your inquiry list