> Antigen, Antibodies, ELISA, Western Blot > Primary Antibody > Polyclonal Antibodies > TIM-1 AntibodyBrand |
Leading Biology | Catalog Number |
APG02986G |
Product Type |
Polyclonal Antibodies | Field of Research |
|
Product Overview |
We constantly strive to ensure we provide our customers with the best antibodies. As a result of this work we offer this antibody in purified format.
We are in the process of updating our datasheets. If you have any questions regarding this update, please feel free to contact our technical support team.
This product is a high quality TIM-1 antibody.
|
||
Molecular Weight |
40 kDa
|
||
Cellular Localization |
Antigen Cellular Localization:
Membrane; Single-pass type I membrane protein
|
||
Host |
Rabbit
|
||
Species Reactivity |
Human, Mouse
|
||
Target |
HAVCR1;
|
||
Isotype |
IgG
|
||
Symbol |
KIM1, TIM1, TIMD1
|
||
GeneID |
|||
UniProt ID |
|||
Function |
May play a role in T-helper cell development and the regulation of asthma and allergic diseases. Receptor for TIMD4 (By similarity). In case of human hepatitis A virus (HHAV) infection, functions as a cell-surface receptor for the virus. May play a role in kidney injury and repair.
|
||
Summary |
TIM-1 Antibody: The human form of TIM-1 was initially discovered as a membrane glycoprotein through which the hepatitis A virus can gain entry into a cell. It was also identified as kidney injury molecule 1 (Kim-1), a predicted adhesion molecule that is upregulated on the surfaces of kidney epithelia. It is also expressed on T helper 2 (Th2) cells of the immune system, and following the binding of its natural ligand TIM-4, stimulates T cell expansion and cytokine production in response to viral challenge. It has been suggested that hyperactivation of TIM-1 leads to an increased level of Th2 responsiveness and asthma susceptibility, and antibodies to TIM-1 may therefore be a novel approach to treating asthma.
|
||
Form |
Liquid |
||
Storage & Stability |
Store at +4°C short term. For long-term storage, aliquot and store at -20°C or below. Stable for 12 months at -20°C. Avoid repeated freeze-thaw cycles.
|
||
Applications |
WB, IHC-P, IF, E
|
||
Synonyms |
TIM-1 Antibody: TIM, KIM1, TIM1, HAVCR, KIM-1, TIM-1, TIMD1, TIMD-1, HAVCR-1, Hepatitis A virus cellular receptor 1, Kidney injury molecule 1, HAVcr-1, hepatitis A virus cellular receptor 1
|
||
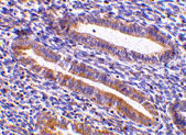
Images |
Western blot analysis of TIM-1 in human uterus tissue lysate with TIM-1 antibody at (A) 1 and (B) 2 μg/mL.
Immunohistochemistry of TIM-1 in human uterus tissue with TIM-1 antibody at 10 μg/mL.
Immunofluorescence of TIM-1 in Human Uterus cells with TIM-1 antibody at 20 μg/mL. |
||
Specification |
|||
Quantity |
|
||
| Select | Brand | Catalog No. | Product Name | Pack Size | Type | Field of Research | Specification | Quantity | Price(USD) | |
| 1 | Leading Biology | APR03440G | ITGA11 Antibody (N-term) | 100 μl | Polyclonal Antibodies |
|
$495.00 | Add Ask | ||
| 2 | Leading Biology | APR04537G | CMIP Antibody (C-term) | 100 μl | Polyclonal Antibodies |
|
$495.00 | Add Ask | ||
| 3 | Leading Biology | APR12422G | Human H4 Histamine Receptor (extracellular) Antibody | 50 μl | Polyclonal Antibodies |
|
$695.00 | Add Ask | ||
| 4 | Leading Biology | APR03844G | UBE2W Antibody (C-term) | 100 μl | Polyclonal Antibodies |
|
$495.00 | Add Ask | ||
| 5 | Leading Biology | APR04349G | HECTD2 Antibody (N-term) | 100 μl | Polyclonal Antibodies |
|
$495.00 | Add Ask | ||
| 6 | Leading Biology | APR03502G | IGHG1 Antibody (Center) | 100 μl | Polyclonal Antibodies |
|
$495.00 | Add Ask |
Leading Biology Inc.
2600 Hilltop DR, Building G, B Suite C138
Richmond, CA, 94806
Tel: 1-661-524(LBI)-0262
Email: info@leadingbiology.com
Complete this form and click send to ask us a question, request a quote or simply say hello.

You have 0 item in your cart

You have 0 item in your inquiry list