> Antigen, Antibodies, ELISA, Western Blot > Primary Antibody > Polyclonal Antibodies > TNFRSF14 AntibodyBrand |
Leading Biology | Catalog Number |
AMM05433G |
Product Type |
Polyclonal Antibodies | Field of Research |
|
Product Overview |
We constantly strive to ensure we provide our customers with the best antibodies. As a result of this work we offer this antibody in purified format.
We are in the process of updating our datasheets. If you have any questions regarding this update, please feel free to contact our technical support team.
This product is a high quality TNFRSF14 antibody.
|
||
Molecular Weight |
Predicted: 20, 22, 29, 31 kDa Observed: 23 kDa
|
||
Cellular Localization |
Antigen Cellular Localization:
Membrane; Single-pass type I membrane protein
|
||
Host |
Rabbit
|
||
Species Reactivity |
Human, Mouse
|
||
Target |
TNFRSF14; Multiple isoforms of TNFRSF14 are known to exist.
|
||
Isotype |
IgG
|
||
Symbol |
HVEA, HVEM
|
||
GeneID |
|||
UniProt ID |
|||
Function |
Receptor for BTLA. Receptor for TNFSF14/LIGHT and homotrimeric TNFSF1/lymphotoxin-alpha. Involved in lymphocyte activation. Plays an important role in HSV pathogenesis because it enhanced the entry of several wild-type HSV strains of both serotypes into CHO cells, and mediated HSV entry into activated human T-cells.
|
||
Summary |
TNFRSF14 Antibody: Tumor necrosis factor receptor (TNFR) superfamily members are defined by cysteine-rich domains in their extracellular regions that bind TNF-related ligands that share a common structural homology in their extracellular domain. TNFRSF14 was initially identified as the Herpesvirus entry mediator and upon binding to the herpes simplex virus (HSV) envelope glycoprotein D or either of its natural ligands LIGHT and lymphotoxin alpha (LT), activates the transcription factors NF-κB and AP-1. Activation of this signal transduction pathway in T cells stimulates T cell proliferation and cytokine production, leading to inflammation and enhanced CTL-mediated tumor immunity, suggesting that these proteins may be useful as potential targets for controlling cellular immune responses.
|
||
Form |
Liquid |
||
Storage & Stability |
Store at +4°C short term. For long-term storage, aliquot and store at -20°C or below. Stable for 12 months at -20°C. Avoid repeated freeze-thaw cycles.
|
||
Applications |
WB, IHC-P, IF, E
|
||
Synonyms |
TNFRSF14 Antibody: TR2, ATAR, HVEA, HVEM, CD270, LIGHTR, UNQ329/PRO509, Tumor necrosis factor receptor superfamily member 14, Herpes virus entry mediator A, Herpesvirus entry mediator A, tumor necrosis factor receptor superfamily, member 14 (herpesvirus entry mediator)
|
||
Images |
Western blot analysis of TNFRSF14 in mouse thymus tissue lysate with TNFRSF14 antibody at (A) 1 and (B) 2 μg/mL.
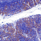
Immunohistochemistry of TNFRSF14 in mouse thymus tissue with TNFRSF14 antibody at 1 μg/mL.
Immunofluorescence of TNFRSF14 in Mouse Thymus tissue with TNFRSF14 antibody at 10 μg/mL. |
||
Specification |
|||
Quantity |
|
||
| Select | Brand | Catalog No. | Product Name | Pack Size | Type | Field of Research | Specification | Quantity | Price(USD) | |
| 1 | Leading Biology | APR03440G | ITGA11 Antibody (N-term) | 100 μl | Polyclonal Antibodies |
|
$495.00 | Add Ask | ||
| 2 | Leading Biology | APR04537G | CMIP Antibody (C-term) | 100 μl | Polyclonal Antibodies |
|
$495.00 | Add Ask | ||
| 3 | Leading Biology | APR12422G | Human H4 Histamine Receptor (extracellular) Antibody | 50 μl | Polyclonal Antibodies |
|
$695.00 | Add Ask | ||
| 4 | Leading Biology | APR03844G | UBE2W Antibody (C-term) | 100 μl | Polyclonal Antibodies |
|
$495.00 | Add Ask | ||
| 5 | Leading Biology | APR04349G | HECTD2 Antibody (N-term) | 100 μl | Polyclonal Antibodies |
|
$495.00 | Add Ask | ||
| 6 | Leading Biology | APR03502G | IGHG1 Antibody (Center) | 100 μl | Polyclonal Antibodies |
|
$495.00 | Add Ask |
Leading Biology Inc.
2600 Hilltop DR, Building G, B Suite C138
Richmond, CA, 94806
Tel: 1-661-524(LBI)-0262
Email: info@leadingbiology.com
Complete this form and click send to ask us a question, request a quote or simply say hello.

You have 0 item in your cart

You have 0 item in your inquiry list