> Antigen, Antibodies, ELISA, Western Blot > Primary Antibody > Polyclonal Antibodies > PIST AntibodyBrand |
Leading Biology | Catalog Number |
AMM07201G |
Product Type |
Polyclonal Antibodies | Field of Research |
|
Product Overview |
We constantly strive to ensure we provide our customers with the best antibodies. As a result of this work we offer this antibody in purified format.
We are in the process of updating our datasheets. If you have any questions regarding this update, please feel free to contact our technical support team.
This product is a high quality PIST antibody.
|
||
Molecular Weight |
50520 Da
|
||
Cellular Localization |
Antigen Cellular Localization:
Cytoplasm. Golgi apparatus membrane; Peripheral membrane protein. Golgi apparatus, trans-Golgi network membrane; Peripheral membrane protein. Cell junction, synapse. Cell junction, synapse, postsynaptic cell membrane, postsynaptic density. Cell projection, dendrite. Note=Enriched in synaptosomal and postsynaptic densities (PSD) fractions. Expressed in cell bodies and dendrites of Purkinje cells. Localized at the trans-Golgi network (TGN) of spermatids and the medulla of round spermatides.
|
||
Host |
Rabbit
|
||
Species Reactivity |
Human, Mouse, Rat
|
||
Target |
GOPC;
|
||
Isotype |
IgG
|
||
Symbol |
CAL, FIG
|
||
GeneID |
|||
UniProt ID |
|||
Function |
Plays a role in intracellular protein trafficking and degradation. May regulate CFTR chloride currents and acid-induced ASIC3 currents by modulating cell surface expression of both channels. May also regulate the intracellular trafficking of the ADR1B receptor. May play a role in autophagy. Overexpression results in CFTR intracellular retention and degradation in the lysosomes.
|
||
Summary |
PIST Antibody: Autophagy, the process of bulk degradation of cellular proteins through an autophagosomic-lysosomal pathway is important for normal growth control and may be defective in tumor cells. It is involved in the preservation of cellular nutrients under starvation conditions as well as the normal turnover of cytosolic components and is negatively regulated by TOR (Target of rapamycin). PIST, a PDZ-containing protein, was discovered in a yeast two-hybrid system as a binding partner to Beclin-1, a Bcl-2-interacting protein homologous to the yeast autophagy gene apg6. Experiments with mutant PIST proteins lacking the PDZ domain showed that PIST interaction with Beclin-1 through its coiled-coil domain can modulate Beclin-1 activity and suggest that PIST interactions with other proteins through its PDZ domain may regulate the activity of PIST and Beclin-1.
|
||
Form |
Liquid |
||
Storage & Stability |
Store at +4°C short term. For long-term storage, aliquot and store at -20°C or below. Stable for 12 months at -20°C. Avoid repeated freeze-thaw cycles.
|
||
Applications |
WB, IHC-P, IF, E
|
||
Synonyms |
PIST Antibody: CAL, FIG, PIST, GOPC1, dJ94G16.2, CAL, Golgi-associated PDZ and coiled-coil motif-containing protein, CFTR-associated ligand, golgi associated PDZ and coiled-coil motif containing
|
||
Images |
Western blot analysis of PIST in rat colon cell lysate with PIST antibody at (A) 1, (B) 2 and (C) 4 μg/mL.
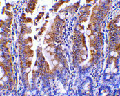
Immunohistochemistry of PIST in rat colon tissue with PIST antibody at 1 μg/mL.
Immunofluorescence of PIST in Rat Colon cells with PIST antibody at 10 μg/mL. |
||
Specification |
|||
Quantity |
|
||
| Select | Brand | Catalog No. | Product Name | Pack Size | Type | Field of Research | Specification | Quantity | Price(USD) | |
| 1 | Leading Biology | APR03440G | ITGA11 Antibody (N-term) | 100 μl | Polyclonal Antibodies |
|
$495.00 | Add Ask | ||
| 2 | Leading Biology | APR04537G | CMIP Antibody (C-term) | 100 μl | Polyclonal Antibodies |
|
$495.00 | Add Ask | ||
| 3 | Leading Biology | APR12422G | Human H4 Histamine Receptor (extracellular) Antibody | 50 μl | Polyclonal Antibodies |
|
$695.00 | Add Ask | ||
| 4 | Leading Biology | APR03844G | UBE2W Antibody (C-term) | 100 μl | Polyclonal Antibodies |
|
$495.00 | Add Ask | ||
| 5 | Leading Biology | APR04349G | HECTD2 Antibody (N-term) | 100 μl | Polyclonal Antibodies |
|
$495.00 | Add Ask | ||
| 6 | Leading Biology | APR03502G | IGHG1 Antibody (Center) | 100 μl | Polyclonal Antibodies |
|
$495.00 | Add Ask |
Leading Biology Inc.
2600 Hilltop DR, Building G, B Suite C138
Richmond, CA, 94806
Tel: 1-661-524(LBI)-0262
Email: info@leadingbiology.com
Complete this form and click send to ask us a question, request a quote or simply say hello.

You have 0 item in your cart

You have 0 item in your inquiry list