> Antigen, Antibodies, ELISA, Western Blot > Primary Antibody > Polyclonal Antibodies > Beclin-1 AntibodyBrand |
Leading Biology | Catalog Number |
APG02271G |
Product Type |
Polyclonal Antibodies | Field of Research |
|
Product Overview |
We constantly strive to ensure we provide our customers with the best antibodies. As a result of this work we offer this antibody in purified format.
We are in the process of updating our datasheets. If you have any questions regarding this update, please feel free to contact our technical support team.
This product is a high quality Beclin-1 antibody.
|
||
Molecular Weight |
51896 Da
|
||
Cellular Localization |
Antigen Cellular Localization:
Golgi apparatus, trans-Golgi network membrane; Peripheral membrane protein. Note=Interaction with ATG14 promotes translocation to autophagosomes. Expressed in dendrites and cell bodies of cerebellar Purkinje cells (By similarity)
|
||
Host |
Rabbit
|
||
Species Reactivity |
Human, Mouse, Rat
|
||
Target |
BECN1;
|
||
Isotype |
IgG
|
||
Symbol |
GT197
|
||
GeneID |
|||
UniProt ID |
|||
Function |
Plays a central role in autophagy (PubMed:23184933). Required for the abcission step in cytokinesis (PubMed:20208530). Protects against infection by a neurovirulent strain of Sindbis virus (PubMed:9765397). May play a role in antiviral host defense.
|
||
Summary |
Beclin-1 Antibody: Autophagy, the process of bulk degradation of cellular proteins through an autophagosomic-lysosomal pathway is important for normal growth control and may be defective in tumor cells. Beclin-1, a coiled-coil Bcl-2-interacting protein homologous to the yeast autophagy gene apg6, is a mammalian autophagy gene that can inhibit tumorigenesis and is expressed at reduced levels in human breast carcinoma, suggesting that defects in autophagy proteins may contribute to the development or progression of tumors. Bcl-2 can bind to Beclin-1 and inhibit Beclin-1-dependent autophagy in yeast and mammalian cells, suggesting that Bcl-2 functions as an anti-autophagy protein as well as an anti-apoptotic protein, which helps maintain autophagy at levels that are more compatible with cell survival rather than cell death.
|
||
Form |
Liquid |
||
Storage & Stability |
Store at +4°C short term. For long-term storage, aliquot and store at -20°C or below. Stable for 12 months at -20°C. Avoid repeated freeze-thaw cycles.
|
||
Applications |
WB, IHC-P, E
|
||
Synonyms |
Beclin-1 Antibody: ATG6, VPS30, beclin1, GT197, Beclin-1, Coiled-coil myosin-like BCL2-interacting protein, beclin 1, autophagy related
|
||
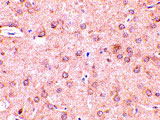
Images |
Western blot analysis of Beclin-1 in 293 cell lysate with Beclin-1 antibody at (A) 0.5, (B) 1 and (C) 2 μg/mL.
Immunohistochemistry of beclin-1 in rat brain tissue with beclin-1 antibody at 2 μg/mL. |
||
Specification |
|||
Quantity |
|
||
| Select | Brand | Catalog No. | Product Name | Pack Size | Type | Field of Research | Specification | Quantity | Price(USD) | |
| 1 | Leading Biology | APR03440G | ITGA11 Antibody (N-term) | 100 μl | Polyclonal Antibodies |
|
$495.00 | Add Ask | ||
| 2 | Leading Biology | APR04537G | CMIP Antibody (C-term) | 100 μl | Polyclonal Antibodies |
|
$495.00 | Add Ask | ||
| 3 | Leading Biology | APR12422G | Human H4 Histamine Receptor (extracellular) Antibody | 50 μl | Polyclonal Antibodies |
|
$695.00 | Add Ask | ||
| 4 | Leading Biology | APR03844G | UBE2W Antibody (C-term) | 100 μl | Polyclonal Antibodies |
|
$495.00 | Add Ask | ||
| 5 | Leading Biology | APR04349G | HECTD2 Antibody (N-term) | 100 μl | Polyclonal Antibodies |
|
$495.00 | Add Ask | ||
| 6 | Leading Biology | APR03502G | IGHG1 Antibody (Center) | 100 μl | Polyclonal Antibodies |
|
$495.00 | Add Ask |
Leading Biology Inc.
2600 Hilltop DR, Building G, B Suite C138
Richmond, CA, 94806
Tel: 1-661-524(LBI)-0262
Email: info@leadingbiology.com
Complete this form and click send to ask us a question, request a quote or simply say hello.

You have 0 item in your cart

You have 0 item in your inquiry list