> Antigen, Antibodies, ELISA, Western Blot > Primary Antibody > Polyclonal Antibodies > Caspase-4 AntibodyBrand |
Leading Biology | Catalog Number |
APG02403G |
Product Type |
Polyclonal Antibodies | Field of Research |
|
Product Overview |
We constantly strive to ensure we provide our customers with the best antibodies. As a result of this work we offer this antibody in purified format.
We are in the process of updating our datasheets. If you have any questions regarding this update, please feel free to contact our technical support team.
This product is a high quality Caspase-4 antibody.
|
||
Molecular Weight |
43262 Da
|
||
Cellular Localization |
Antigen Cellular Localization:
Endoplasmic reticulum membrane. Mitochondrion
|
||
Host |
Rabbit
|
||
Species Reactivity |
Human
|
||
Target |
CASP4; Depending on cell lines or tissues used, other cleavage products may be observed.
|
||
Isotype |
IgG
|
||
Symbol |
ICH2
|
||
GeneID |
|||
UniProt ID |
|||
Function |
Involved in the activation cascade of caspases responsible for apoptosis execution. Involved in ER-stress induced apoptosis. Cleaves caspase-1.
|
||
Summary |
Caspase-4 Antibody: Caspases are a family of cysteine proteases that can be divided into the apoptotic and inflammatory caspase subfamilies. Unlike the apoptotic caspases, members of the inflammatory subfamily are generally not involved in cell death but are associated with the immune response to microbial pathogens. Members of this subfamily include caspase-1, -4, -5, and -12. Activation of these caspases results in the cleavage and activation of proinflammatory cytokines such as IL-1β and IL-18. Caspase-4 was initially identified as a homologous protein to Caspase-1 and the C. elegans Ced-3 which could induce apoptosis in transfected cells. More recent studies have shown that it can be activated by ER stress and has been suggested to be involved in multiple neuronal pathologies such as Alzheimer's disease.
|
||
Form |
Liquid |
||
Storage & Stability |
Store at +4°C short term. For long-term storage, aliquot and store at -20°C or below. Stable for 12 months at -20°C. Avoid repeated freeze-thaw cycles.
|
||
Applications |
WB, IHC-P, IF, E
|
||
Synonyms |
Caspase-4 Antibody: TX, ICH-2, Mih1/TX, ICEREL-II, ICE(rel)II, ICH2, Caspase-4, Protease ICH-2, CASP-4, caspase 4, apoptosis-related cysteine peptidase
|
||
Images |
Western blot analysis of caspase-4 in human spleen cells with caspase-4 antibody at (A) 1 and (B) 2 μg/mL.
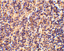
Immunohistochemical staining of human spleen tissue using caspase-4 antibody at 2 μg/mL.
Immunofluorescence of Caspase-4 in A20 cells with Caspase-4 antibody at 10 μg/mL. |
||
Specification |
|||
Quantity |
|
||
| Select | Brand | Catalog No. | Product Name | Pack Size | Type | Field of Research | Specification | Quantity | Price(USD) | |
| 1 | Leading Biology | APR03440G | ITGA11 Antibody (N-term) | 100 μl | Polyclonal Antibodies |
|
$495.00 | Add Ask | ||
| 2 | Leading Biology | APR04537G | CMIP Antibody (C-term) | 100 μl | Polyclonal Antibodies |
|
$495.00 | Add Ask | ||
| 3 | Leading Biology | APR12422G | Human H4 Histamine Receptor (extracellular) Antibody | 50 μl | Polyclonal Antibodies |
|
$695.00 | Add Ask | ||
| 4 | Leading Biology | APR03844G | UBE2W Antibody (C-term) | 100 μl | Polyclonal Antibodies |
|
$495.00 | Add Ask | ||
| 5 | Leading Biology | APR04349G | HECTD2 Antibody (N-term) | 100 μl | Polyclonal Antibodies |
|
$495.00 | Add Ask | ||
| 6 | Leading Biology | APR03502G | IGHG1 Antibody (Center) | 100 μl | Polyclonal Antibodies |
|
$495.00 | Add Ask |
Leading Biology Inc.
2600 Hilltop DR, Building G, B Suite C138
Richmond, CA, 94806
Tel: 1-661-524(LBI)-0262
Email: info@leadingbiology.com
Complete this form and click send to ask us a question, request a quote or simply say hello.

You have 0 item in your cart

You have 0 item in your inquiry list