> Antigen, Antibodies, ELISA, Western Blot > Primary Antibody > Polyclonal Antibodies > Bid AntibodyBrand |
Leading Biology | Catalog Number |
APG02272G |
Product Type |
Polyclonal Antibodies | Field of Research |
|
Product Overview |
We constantly strive to ensure we provide our customers with the best antibodies. As a result of this work we offer this antibody in purified format.
We are in the process of updating our datasheets. If you have any questions regarding this update, please feel free to contact our technical support team.
This product is a high quality Bid antibody.
|
||
Molecular Weight |
21995 Da
|
||
Cellular Localization |
Antigen Cellular Localization:
Cytoplasm. Mitochondrion membrane. Note=When uncleaved, it is predominantly cytoplasmic. BH3-interacting domain death agonist p13: Mitochondrion membrane. Note=Associated with the mitochondrial membrane. Isoform 3: Cytoplasm.
|
||
Host |
Rabbit
|
||
Species Reactivity |
Human, Mouse
|
||
Target |
BID;
|
||
Isotype |
IgG
|
||
GeneID |
|||
UniProt ID |
|||
Function |
The major proteolytic product p15 BID allows the release of cytochrome c (By similarity). Isoform 1, isoform 2 and isoform 4 induce ICE-like proteases and apoptosis. Isoform 3 does not induce apoptosis. Counters the protective effect of Bcl-2.
|
||
Summary |
Bid Antibody: Apoptosis plays a major role in normal organism development, tissue homeostasis, and removal of damaged cells. Disruption of this process has been implicated in a variety of diseases such as cancer. The Bcl-2 family of proteins is comprised of critical regulators of apoptosis that can be divided into two classes: those that inhibit apoptosis and those that promote cell death. Bid, a pro-apoptotic Bcl-2 family member, is cleaved by caspase-8 in response to apoptotic signals, exposing the Bcl-2 homology 3 (BH3) domain which is normally buried in the full-length protein. The cleaved complex is myris-toylated and translocated to the mitochondrial membrane where it may induce mitochondrial Bax and Bak to oligomerize.
|
||
Form |
Liquid |
||
Storage & Stability |
Store at +4°C short term. For long-term storage, aliquot and store at -20°C or below. Stable for 12 months at -20°C. Avoid repeated freeze-thaw cycles.
|
||
Applications |
WB, IHC-P, IF, E
|
||
Synonyms |
Bid Antibody: FP497, BH3-interacting domain death agonist, p22 BID, BID, BH3 interacting domain death agonist
|
||
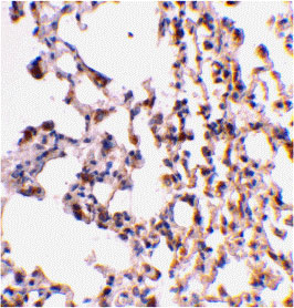
Images |
Western blot analysis of Bid in mouse lung cell lysates with Bid antibody at (A) 0.5, (B) 1, and (C) 2 μg/mL.
Immunohistochemical staining of mouse lung tissue using Bid antibody at 2 μg/mL.
Immunofluorescence of Bid in Mouse Lung cells with Bid antibody at 10 μg/mL. |
||
Specification |
|||
Quantity |
|
||
| Select | Brand | Catalog No. | Product Name | Pack Size | Type | Field of Research | Specification | Quantity | Price(USD) | |
| 1 | Leading Biology | APR03440G | ITGA11 Antibody (N-term) | 100 μl | Polyclonal Antibodies |
|
$495.00 | Add Ask | ||
| 2 | Leading Biology | APR04537G | CMIP Antibody (C-term) | 100 μl | Polyclonal Antibodies |
|
$495.00 | Add Ask | ||
| 3 | Leading Biology | APR12422G | Human H4 Histamine Receptor (extracellular) Antibody | 50 μl | Polyclonal Antibodies |
|
$695.00 | Add Ask | ||
| 4 | Leading Biology | APR03844G | UBE2W Antibody (C-term) | 100 μl | Polyclonal Antibodies |
|
$495.00 | Add Ask | ||
| 5 | Leading Biology | APR04349G | HECTD2 Antibody (N-term) | 100 μl | Polyclonal Antibodies |
|
$495.00 | Add Ask | ||
| 6 | Leading Biology | APR03502G | IGHG1 Antibody (Center) | 100 μl | Polyclonal Antibodies |
|
$495.00 | Add Ask |
Leading Biology Inc.
2600 Hilltop DR, Building G, B Suite C138
Richmond, CA, 94806
Tel: 1-661-524(LBI)-0262
Email: info@leadingbiology.com
Complete this form and click send to ask us a question, request a quote or simply say hello.

You have 0 item in your cart

You have 0 item in your inquiry list