> Antigen, Antibodies, ELISA, Western Blot > Primary Antibody > Polyclonal Antibodies > BAD AntibodyBrand |
Leading Biology | Catalog Number |
APG02161G |
Product Type |
Polyclonal Antibodies | Field of Research |
|
Product Overview |
We constantly strive to ensure we provide our customers with the best antibodies. As a result of this work we offer this antibody in purified format.
We are in the process of updating our datasheets. If you have any questions regarding this update, please feel free to contact our technical support team.
This product is a high quality BAD antibody.
|
||
Molecular Weight |
18392 Da
|
||
Cellular Localization |
Antigen Cellular Localization:
Mitochondrion outer membrane. Cytoplasm. Note=Upon phosphorylation, locates to the cytoplasm
|
||
Host |
Rabbit
|
||
Species Reactivity |
Human, Mouse, Rat
|
||
Target |
BAD;
|
||
Isotype |
IgG
|
||
Symbol |
BBC6, BCL2L8
|
||
GeneID |
|||
UniProt ID |
|||
Function |
Promotes cell death. Successfully competes for the binding to Bcl-X(L), Bcl-2 and Bcl-W, thereby affecting the level of heterodimerization of these proteins with BAX. Can reverse the death repressor activity of Bcl-X(L), but not that of Bcl-2 (By similarity). Appears to act as a link between growth factor receptor signaling and the apoptotic pathways.
|
||
Summary |
BAD Antibody: Members in the Bcl-2 family are critical regulators of apoptosis by either inhibiting or promoting cell death. Bcl-2 homology 3 (BH3) domain containing pro-apoptotic proteins, such as Bax, Bid, and Bik, form a growing subclass of the Bcl-2 family. Another such protein is the Bcl-2-antagonist of cell death (Bad). Bad regulates apoptosis by forming heterodimers with anti-apoptotic proteins Bcl-2 and Bcl-xL, thereby preventing them from binding with Bax. Bad activity is regulated by its phosphorylation; it is inactivated by kinases such as Akt and MAP kinase and thus promotes cell survival, whereas JNK-induced phosphorylation promotes the apoptotic role of Bad.
|
||
Form |
Liquid |
||
Storage & Stability |
Store at +4°C short term. For long-term storage, aliquot and store at -20°C or below. Stable for 12 months at -20°C. Avoid repeated freeze-thaw cycles.
|
||
Applications |
WB, IHC-P, IF, E
|
||
Synonyms |
BAD Antibody: BBC2, BCL2L8, BBC6, Bcl2 antagonist of cell death, Bcl-2-binding component 6, BAD, BCL2-associated agonist of cell death
|
||
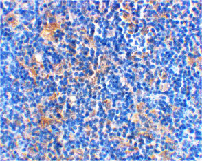
Images |
Western blot analysis of Bad in T24 cell lysates with Bad antibody at (A) 0.5, (B) 1, and (C) 2 μg/mL.
Immunohistochemical staining of rat thymus using Bad at 2 μg/mL.
Immunofluorescence of BAD in Rat Thymus cells with BAD antibody at 10 μg/mL. |
||
Specification |
|||
Quantity |
|
||
| Select | Brand | Catalog No. | Product Name | Pack Size | Type | Field of Research | Specification | Quantity | Price(USD) | |
| 1 | Leading Biology | APR03440G | ITGA11 Antibody (N-term) | 100 μl | Polyclonal Antibodies |
|
$495.00 | Add Ask | ||
| 2 | Leading Biology | APR04537G | CMIP Antibody (C-term) | 100 μl | Polyclonal Antibodies |
|
$495.00 | Add Ask | ||
| 3 | Leading Biology | APR12422G | Human H4 Histamine Receptor (extracellular) Antibody | 50 μl | Polyclonal Antibodies |
|
$695.00 | Add Ask | ||
| 4 | Leading Biology | APR03844G | UBE2W Antibody (C-term) | 100 μl | Polyclonal Antibodies |
|
$495.00 | Add Ask | ||
| 5 | Leading Biology | APR04349G | HECTD2 Antibody (N-term) | 100 μl | Polyclonal Antibodies |
|
$495.00 | Add Ask | ||
| 6 | Leading Biology | APR03502G | IGHG1 Antibody (Center) | 100 μl | Polyclonal Antibodies |
|
$495.00 | Add Ask |
Leading Biology Inc.
2600 Hilltop DR, Building G, B Suite C138
Richmond, CA, 94806
Tel: 1-661-524(LBI)-0262
Email: info@leadingbiology.com
Complete this form and click send to ask us a question, request a quote or simply say hello.

You have 0 item in your cart

You have 0 item in your inquiry list