> Antigen, Antibodies, ELISA, Western Blot > Primary Antibody > Polyclonal Antibodies > OMI AntibodyBrand |
Leading Biology | Catalog Number |
APR08861G |
Product Type |
Polyclonal Antibodies | Field of Research |
|
Product Overview |
We constantly strive to ensure we provide our customers with the best antibodies. As a result of this work we offer this antibody in purified format.
We are in the process of updating our datasheets. If you have any questions regarding this update, please feel free to contact our technical support team.
This product is a high quality OMI antibody.
|
||
Molecular Weight |
48841 Da
|
||
Cellular Localization |
Antigen Cellular Localization:
Mitochondrion intermembrane space. Mitochondrion membrane; Single-pass membrane protein. Note=Predominantly present in the intermembrane space. Released into the cytosol following apoptotic stimuli, such as UV treatment, and stimulation of mitochondria with caspase-8 truncated BID/tBID
|
||
Host |
Rabbit
|
||
Species Reactivity |
Human
|
||
Target |
HTRA2;
|
||
Isotype |
IgG
|
||
Symbol |
OMI, PRSS25
|
||
GeneID |
|||
UniProt ID |
|||
Function |
Serine protease that shows proteolytic activity against a non-specific substrate beta-casein. Promotes or induces cell death either by direct binding to and inhibition of BIRC proteins (also called inhibitor of apoptosis proteins, IAPs), leading to an increase in caspase activity, or by a BIRC inhibition-independent, caspase-independent and serine protease activity-dependent mechanism. Cleaves THAP5 and promotes its degradation during apoptosis. Isoform 2 seems to be proteolytically inactive.
|
||
Summary |
OMI Antibody: Inhibitor of apoptosis proteins (IAPs) were initially identified in baculoviruses as proteins that inhibit apoptosis of the host cells to allow time for viral replication. Cellular homologues containing at least one baculoviral IAP repeat (BIR) motif essential for their anti-apoptosis activity have been identified in yeasts and higher organisms and often act by binding and inhibiting processed caspases. The activity of these proteins can be modulated by the expression of proteins such as Smac/DIABLO and XAF-1 which displace or prevent the binding of caspases by IAPs. Recently, a mitochondrial serine protease termed Omi/HtrA2 has been found to bind IAPs. Similar to Smac, Omi possesses a conserved IAP-binding motif, but acts to cleave IAPs to irreversibly inactivate IAPs and promote apoptosis.
|
||
Form |
Liquid |
||
Storage & Stability |
Store at +4°C short term. For long-term storage, aliquot and store at -20°C or below. Stable for 12 months at -20°C. Avoid repeated freeze-thaw cycles.
|
||
Applications |
WB, IHC-P, IF, E
|
||
Synonyms |
OMI Antibody: OMI, PARK13, PRSS25, OMI, Serine protease HTRA2, mitochondrial, High temperature requirement protein A2, HtrA2, HtrA serine peptidase 2
|
||
Images |
Western blot analysis of OMI in U937 lysate with Omi antibody at (A) 0.5, (B) 1, and (C) 2 μg/mL.
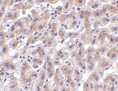
Immunohistochemistry of OMI in human liver tissue with OMI antibody at 2 μg/mL.
Immunofluorescence of OMI in Human Liver cells with OMI antibody at 20 μg/mL. |
||
Specification |
|||
Quantity |
|
||
| Select | Brand | Catalog No. | Product Name | Pack Size | Type | Field of Research | Specification | Quantity | Price(USD) | |
| 1 | Leading Biology | APR03440G | ITGA11 Antibody (N-term) | 100 μl | Polyclonal Antibodies |
|
$495.00 | Add Ask | ||
| 2 | Leading Biology | APR04537G | CMIP Antibody (C-term) | 100 μl | Polyclonal Antibodies |
|
$495.00 | Add Ask | ||
| 3 | Leading Biology | APR12422G | Human H4 Histamine Receptor (extracellular) Antibody | 50 μl | Polyclonal Antibodies |
|
$695.00 | Add Ask | ||
| 4 | Leading Biology | APR03844G | UBE2W Antibody (C-term) | 100 μl | Polyclonal Antibodies |
|
$495.00 | Add Ask | ||
| 5 | Leading Biology | APR04349G | HECTD2 Antibody (N-term) | 100 μl | Polyclonal Antibodies |
|
$495.00 | Add Ask | ||
| 6 | Leading Biology | APR03502G | IGHG1 Antibody (Center) | 100 μl | Polyclonal Antibodies |
|
$495.00 | Add Ask |
Leading Biology Inc.
2600 Hilltop DR, Building G, B Suite C138
Richmond, CA, 94806
Tel: 1-661-524(LBI)-0262
Email: info@leadingbiology.com
Complete this form and click send to ask us a question, request a quote or simply say hello.

You have 0 item in your cart

You have 0 item in your inquiry list