> Antigen, Antibodies, ELISA, Western Blot > Primary Antibody > Polyclonal Antibodies > ARTS AntibodyBrand |
Leading Biology | Catalog Number |
APG02003G |
Product Type |
Polyclonal Antibodies | Field of Research |
|
Product Overview |
We constantly strive to ensure we provide our customers with the best antibodies. As a result of this work we offer this antibody in purified format.
We are in the process of updating our datasheets. If you have any questions regarding this update, please feel free to contact our technical support team.
This product is a high quality ARTS antibody.
|
||
Molecular Weight |
32 kDa
|
||
Cellular Localization |
Antigen Cellular Localization:
Cytoplasm. Cytoplasm, cytoskeleton. Note=In platelets, found in areas surrounding alpha-granules.
|
||
Host |
Rabbit
|
||
Species Reactivity |
Human
|
||
Target |
SEPT4;
|
||
Isotype |
IgG
|
||
Symbol |
ARTS, PNUTL2, SEP4
|
||
GeneID |
|||
UniProt ID |
|||
Function |
Filament-forming cytoskeletal GTPase (By similarity). May play a role in cytokinesis (Potential). May play a role in platelet secretion. Isoform ARTS, but not the other isoforms, is required for the induction of cell death mediated by TGF-beta and by other apoptotic stimuli.
|
||
Summary |
ARTS Antibody: Apoptosis is related to many diseases and development. Mitochondrial proteins, such as cytochrome c, Apaf-1, and AIF play important role in apoptosis. A novel mitochondrial septin-like protein was identified recently and designated ARTS for apoptosis related protein in TGF-beta signaling pathway. ARTS that is encoded by the human septin H5/PNUTL2/CDCrel2b gene is located to mitochondria and translocates to the nucleus when apoptosis occurs. ARTS is expressed in many tissues. It enhances cell death induced by TGF-beta and, to a lesser extent, by other apoptotic agents, such as TNF-α and Fas ligand.
|
||
Form |
Liquid |
||
Storage & Stability |
Store at +4°C short term. For long-term storage, aliquot and store at -20°C or below. Stable for 12 months at -20°C. Avoid repeated freeze-thaw cycles.
|
||
Applications |
WB, IHC-P, IF, E
|
||
Synonyms |
ARTS Antibody: H5, ARTS, MART, SEP4, CE5B3, PNUTL2, hucep-7, BRADEION, hCDCREL-2, Septin-4, Apoptosis-related protein in the TGF-beta signaling pathway, septin 4
|
||
Images |
Western blot analysis of ARTS expression in human lung (lane 1), spleen (lane 2), and kidney (lane 3) tissue lysates with ARTS antibody at 2 μg /ml.
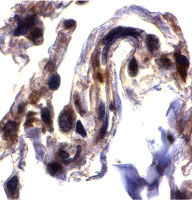
Immunohistochemistry of ARTS in human lung tissue with ARTS antibody at 2 μg/mL.
Immunofluorescence of ARTS in Human Lung cells with ARTS antibody at 20 μg/mL. |
||
Specification |
|||
Quantity |
|
||
| Select | Brand | Catalog No. | Product Name | Pack Size | Type | Field of Research | Specification | Quantity | Price(USD) | |
| 1 | Leading Biology | APR03440G | ITGA11 Antibody (N-term) | 100 μl | Polyclonal Antibodies |
|
$495.00 | Add Ask | ||
| 2 | Leading Biology | APR04537G | CMIP Antibody (C-term) | 100 μl | Polyclonal Antibodies |
|
$495.00 | Add Ask | ||
| 3 | Leading Biology | APR12422G | Human H4 Histamine Receptor (extracellular) Antibody | 50 μl | Polyclonal Antibodies |
|
$695.00 | Add Ask | ||
| 4 | Leading Biology | APR03844G | UBE2W Antibody (C-term) | 100 μl | Polyclonal Antibodies |
|
$495.00 | Add Ask | ||
| 5 | Leading Biology | APR04349G | HECTD2 Antibody (N-term) | 100 μl | Polyclonal Antibodies |
|
$495.00 | Add Ask | ||
| 6 | Leading Biology | APR03502G | IGHG1 Antibody (Center) | 100 μl | Polyclonal Antibodies |
|
$495.00 | Add Ask |
Leading Biology Inc.
2600 Hilltop DR, Building G, B Suite C138
Richmond, CA, 94806
Tel: 1-661-524(LBI)-0262
Email: info@leadingbiology.com
Complete this form and click send to ask us a question, request a quote or simply say hello.

You have 0 item in your cart

You have 0 item in your inquiry list