> Antigen, Antibodies, ELISA, Western Blot > Primary Antibody > Polyclonal Antibodies > KappaB ras AntibodyBrand |
Leading Biology | Catalog Number |
APR16966G |
Product Type |
Polyclonal Antibodies | Field of Research |
|
Product Overview |
We constantly strive to ensure we provide our customers with the best antibodies. As a result of this work we offer this antibody in purified format.
We are in the process of updating our datasheets. If you have any questions regarding this update, please feel free to contact our technical support team.
This product is a high quality KappaB ras antibody.
|
||
Molecular Weight |
21643 Da
|
||
Cellular Localization |
Antigen Cellular Localization:
Cytoplasm.
|
||
Host |
Rabbit
|
||
Species Reactivity |
Human, Mouse, Rat
|
||
Target |
NKIRAS1;
|
||
Isotype |
IgG
|
||
Symbol |
KBRAS1
|
||
GeneID |
|||
UniProt ID |
|||
Function |
Atypical Ras-like protein that acts as a potent regulator of NF-kappa-B activity by preventing the degradation of NF-kappa-B inhibitor beta (NFKBIB) by most signals, explaining why NFKBIB is more resistant to degradation. May act by blocking phosphorylation of NFKBIB and mediating cytoplasmic retention of p65/RELA NF-kappa-B subunit. It is unclear whether it acts as a GTPase. Both GTP- and GDP-bound forms block phosphorylation of NFKBIB.
|
||
Summary |
KappaB ras Antibody: KappaB ras-1 (κB-ras-1) and kappaB-ras-2 are two small proteins that similar to Ras-like small GTPases that associate with IκB (IκB), an inhibitor of the transcription factor NF-κB. IκB exists in two homologous forms, IκB-alpha and IκB-beta, although IκB-beta contains a unique 47-amino acid region within its ankyrin domain. While inactive IκB-alpha-NF-κB complexes can shuttle in and out of the nucleus, IκB-beta-NF-κB complexes are retained exclusively in the cytoplasm. It is suggested that kappaB-ras proteins preferentially bind to the IκB-beta form through this unique insert within the ankyrin region, thus modulating the cellular location of IκB-beta and regulating the rate of degradation of IκB-beta. This antibody detects both kappaB-ras1 and kappaB-ras2.
|
||
Form |
Liquid |
||
Storage & Stability |
Store at +4°C short term. For long-term storage, aliquot and store at -20°C or below. Stable for 12 months at -20°C. Avoid repeated freeze-thaw cycles.
|
||
Applications |
WB, IHC-P, E
|
||
Synonyms |
KappaB ras Antibody: KBRAS1, kappaB-Ras1, KBRAS1, NF-kappa-B inhibitor-interacting Ras-like protein 1, I-kappa-B-interacting Ras-like protein 1, Kappa B-Ras protein 1, NFKB inhibitor interacting Ras-like 1
|
||
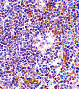
Images |
Western blot analysis of KappaB ras in RAW 264.7 cell lysate with KappaB ras antibody at 2 μg/mL.
Immunohistochemistry of KappaB ras in human lymph node tissue with KappaB ras antibody at 1 μg/mL. |
||
Specification |
|||
Quantity |
|
||
| Select | Brand | Catalog No. | Product Name | Pack Size | Type | Field of Research | Specification | Quantity | Price(USD) | |
| 1 | Leading Biology | APR03440G | ITGA11 Antibody (N-term) | 100 μl | Polyclonal Antibodies |
|
$495.00 | Add Ask | ||
| 2 | Leading Biology | APR04537G | CMIP Antibody (C-term) | 100 μl | Polyclonal Antibodies |
|
$495.00 | Add Ask | ||
| 3 | Leading Biology | APR12422G | Human H4 Histamine Receptor (extracellular) Antibody | 50 μl | Polyclonal Antibodies |
|
$695.00 | Add Ask | ||
| 4 | Leading Biology | APR03844G | UBE2W Antibody (C-term) | 100 μl | Polyclonal Antibodies |
|
$495.00 | Add Ask | ||
| 5 | Leading Biology | APR04349G | HECTD2 Antibody (N-term) | 100 μl | Polyclonal Antibodies |
|
$495.00 | Add Ask | ||
| 6 | Leading Biology | APR03502G | IGHG1 Antibody (Center) | 100 μl | Polyclonal Antibodies |
|
$495.00 | Add Ask |
Leading Biology Inc.
2600 Hilltop DR, Building G, B Suite C138
Richmond, CA, 94806
Tel: 1-661-524(LBI)-0262
Email: info@leadingbiology.com
Complete this form and click send to ask us a question, request a quote or simply say hello.

You have 0 item in your cart

You have 0 item in your inquiry list