> Antigen, Antibodies, ELISA, Western Blot > Primary Antibody > Polyclonal Antibodies > IRAK-M AntibodyBrand |
Leading Biology | Catalog Number |
APR16889G |
Product Type |
Polyclonal Antibodies | Field of Research |
|
Product Overview |
We constantly strive to ensure we provide our customers with the best antibodies. As a result of this work we offer this antibody in purified format.
We are in the process of updating our datasheets. If you have any questions regarding this update, please feel free to contact our technical support team.
This product is a high quality IRAK-M antibody.
|
||
Molecular Weight |
Predicted: 66 kDa Observed: 70 kDa
|
||
Host |
Rabbit
|
||
Species Reactivity |
Human, Mouse, Rat
|
||
Target |
IRAK3; IRAK-M antibody is predicted to have no cross reactivity to other members of the IRAK family.
|
||
Isotype |
IgG
|
||
GeneID |
|||
UniProt ID |
|||
Function |
Inhibits dissociation of IRAK1 and IRAK4 from the Toll- like receptor signaling complex by either inhibiting the phosphorylation of IRAK1 and IRAK4 or stabilizing the receptor complex.
|
||
Summary |
IRAK-M Antibody: Interleukin-1 (IL-1) and lipopolysaccharide (LPS) induces cellular response through IL-1 receptor (IL-1R) and Toll like receptors (TLR). IL-1 receptor-associated kinase (IRAK and IRAK2) mediates the activation of NF-betaB by IL-1/Toll receptors, which is a pivotal transcription factor mediating inflammatory and immune response. A novel member in the IRAK/Pelle family was recently identified and designated IRAK-M. IRAKs associate with IL-1/Toll receptors after IL-1 or LPS stimulation and the dominant negative mutants of IRAKs inhibit IL-1 or LPS induced NF-betaB activation. Members in IRAK/Pelle family play a central role in IL-1R/TLR mediated inflammatory responses to cytokine IL-1 and LPS.
|
||
Form |
Liquid |
||
Storage & Stability |
Store at +4°C short term. For long-term storage, aliquot and store at -20°C or below. Stable for 12 months at -20°C. Avoid repeated freeze-thaw cycles.
|
||
Applications |
WB, IHC-P, IF, E
|
||
Synonyms |
IRAK-M Antibody: ASRT5, IRAKM, Interleukin-1 receptor-associated kinase 3, IL-1 receptor-associated kinase M, IRAK-3, interleukin-1 receptor-associated kinase 3
|
||
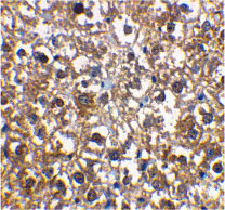
Images |
Western blot analysis of IRAK-M in (M) mouse spleen and (R) rat liver tissue lysates with IRAK-M antibody at 1 μg/mL.
Immunohistochemical staining of rat liver tissue using IRAK-M antibody at 2 μg/mL.
Immunofluorescence of IRAK-M in Rat Liver tissue with IRAK-M antibody at 10 μg/mL. |
||
Specification |
|||
Quantity |
|
||
| Select | Brand | Catalog No. | Product Name | Pack Size | Type | Field of Research | Specification | Quantity | Price(USD) | |
| 1 | Leading Biology | APR03440G | ITGA11 Antibody (N-term) | 100 μl | Polyclonal Antibodies |
|
$495.00 | Add Ask | ||
| 2 | Leading Biology | APR04537G | CMIP Antibody (C-term) | 100 μl | Polyclonal Antibodies |
|
$495.00 | Add Ask | ||
| 3 | Leading Biology | APR12422G | Human H4 Histamine Receptor (extracellular) Antibody | 50 μl | Polyclonal Antibodies |
|
$695.00 | Add Ask | ||
| 4 | Leading Biology | APR03844G | UBE2W Antibody (C-term) | 100 μl | Polyclonal Antibodies |
|
$495.00 | Add Ask | ||
| 5 | Leading Biology | APR04349G | HECTD2 Antibody (N-term) | 100 μl | Polyclonal Antibodies |
|
$495.00 | Add Ask | ||
| 6 | Leading Biology | APR03502G | IGHG1 Antibody (Center) | 100 μl | Polyclonal Antibodies |
|
$495.00 | Add Ask |
Leading Biology Inc.
2600 Hilltop DR, Building G, B Suite C138
Richmond, CA, 94806
Tel: 1-661-524(LBI)-0262
Email: info@leadingbiology.com
Complete this form and click send to ask us a question, request a quote or simply say hello.

You have 0 item in your cart

You have 0 item in your inquiry list