> Antigen, Antibodies, ELISA, Western Blot > Primary Antibody > Polyclonal Antibodies > Kisspeptins Receptor (extracellular) AntibodyBrand |
Leading Biology | Catalog Number |
AMM06211G |
Product Type |
Polyclonal Antibodies | Field of Research |
|
Product Overview |
We constantly strive to ensure we provide our customers with the best antibodies. As a result of this work we offer this antibody in purified format.
We are in the process of updating our datasheets. If you have any questions regarding this update, please feel free to contact our technical support team.
This product is a high quality Kisspeptins Receptor (extracellular) antibody.
|
||
Molecular Weight |
42586 Da
|
||
Host |
Rabbit
|
||
Species Reactivity |
Human, Rat
|
||
Target |
Peptide (C)GSWHPRSYAAYALK, corresponding to amino acid residues 292-305 of human KISS1R (Accession Q969F8). 3rd extracellular loop.
|
||
GeneID |
|||
UniProt ID |
|||
Summary |
The Kisspeptin receptor (KISS1R, also named GPCR54) is a member of the G-protein coupled receptor superfamily. The KISS1R natural ligands are peptides called kisspeptins which are encoded by the Kiss1 gene. The Kiss1 gene was originally discovered by Hershey’s scientists who named it after their famous chocolate, the “Kiss”. The kisspeptins, acting through KISS1R, were found to be potent inhibitors of metastasis in a variety of cancer cell types including thyroid and pancreatic cancer cells. KISS1R and kisspeptins are involved in the direct regulation of the reproductive neuroendocrine axis.KISS1R is widely distributed throughout the brain, where it is most highly expressed in the hypothalamic and amygdaloid nuclei. High expression was also found within the pancreas and placenta. Lower-level expression was found in a variety of other peripheral tissues including peripheral blood leukocytes, kidney, lung, testes, spleen, thymus, adrenal glands and lymph nodes. 1-3Abgent is pleased to offer a highly specific antibody directed against an extracellular epitope of the human Kisspeptin receptor (KISS1R). Anti-Kisspeptin Receptor(extracellular) antibody (#AG1426) can be used for Western blot analysis and immunohistochemical applications. It has been designed to recognize KISS1R from human, rat and mouse samples.
|
||
Form |
Affinity purified antibody, Liquid |
||
Storage & Stability |
Store at +4°C short term. For long-term storage, aliquot and store at -20°C or below. Stable for 12 months at -20°C. Avoid repeated freeze-thaw cycles.
|
||
Applications |
WB
|
||
Dilution |
WB~~1:200-1:2000
IHC~~1:100
|
||
Synonyms |
KiSS-1 receptor, KiSS-1R, G-protein coupled receptor 54, G-protein coupled receptor OT7T175, hOT7T175, Hypogonadotropin-1, Kisspeptins receptor, Metastin receptor, KISS1R, AXOR12, GPR54
|
||
Images |
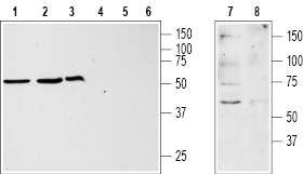
Western blot analysis of jurkat (lanes 1 and 4), HL-60 (lanes 2 and 5), MCF-7 (lanes 3 and 6) and rat brain (lanes 7 and 8) lysates: 1, 2, 3, 7. Anti-Kisspeptin Receptor (extracellular) antibody ( AMM06211G), (1:500). 4, 5, 6, 8. Anti-Kisspeptin Receptor (extracellular) antibody, preincubated with the control peptide antigen.
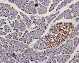
Expression of KISS1R in rat pancreas Immunohistochemical staining of paraffin embedded section of rat pancreas using Anti-Kisspeptin Receptor (extracellular) antibody ( AMM06211G), (1:100). KISS1R staining (brown) appears in Isles of Langerhans (IL). Hematoxilin is used as the counterstain.
Expression of KISS1R in rat cerebellum Immunohistochemical staining of frozen rat cerebellum section using Anti-Kisspeptin Receptor (extracellular) antibody ( AMM06211G), (1:100). A. KISS1R (green) was expressed particularly in Purkinje cell bodies (arrows). B.Staining with mouse anti parvalbumin (red) detected Purkinje cells and interneurons in the molecular layer. C. Merge of the two images demonstrates that the staining was restricted to Purkinje cells. |
||
Specification |
|||
Quantity |
|
||
| Select | Brand | Catalog No. | Product Name | Pack Size | Type | Field of Research | Specification | Quantity | Price(USD) | |
| 1 | Leading Biology | APR03440G | ITGA11 Antibody (N-term) | 100 μl | Polyclonal Antibodies |
|
$495.00 | Add Ask | ||
| 2 | Leading Biology | APR04537G | CMIP Antibody (C-term) | 100 μl | Polyclonal Antibodies |
|
$495.00 | Add Ask | ||
| 3 | Leading Biology | APR12422G | Human H4 Histamine Receptor (extracellular) Antibody | 50 μl | Polyclonal Antibodies |
|
$695.00 | Add Ask | ||
| 4 | Leading Biology | APR03844G | UBE2W Antibody (C-term) | 100 μl | Polyclonal Antibodies |
|
$495.00 | Add Ask | ||
| 5 | Leading Biology | APR04349G | HECTD2 Antibody (N-term) | 100 μl | Polyclonal Antibodies |
|
$495.00 | Add Ask | ||
| 6 | Leading Biology | APR03502G | IGHG1 Antibody (Center) | 100 μl | Polyclonal Antibodies |
|
$495.00 | Add Ask |
Leading Biology Inc.
2600 Hilltop DR, Building G, B Suite C138
Richmond, CA, 94806
Tel: 1-661-524(LBI)-0262
Email: info@leadingbiology.com
Complete this form and click send to ask us a question, request a quote or simply say hello.

You have 0 item in your cart

You have 0 item in your inquiry list