> Antigen, Antibodies, ELISA, Western Blot > Primary Antibody > Polyclonal Antibodies > TRPA1 (extracellular) AntibodyBrand |
Leading Biology | Catalog Number |
APR13790G |
Product Type |
Polyclonal Antibodies | Field of Research |
|
Product Overview |
We constantly strive to ensure we provide our customers with the best antibodies. As a result of this work we offer this antibody in purified format.
We are in the process of updating our datasheets. If you have any questions regarding this update, please feel free to contact our technical support team.
This product is a high quality TRPA1 (extracellular) antibody.
|
||
Molecular Weight |
127501 Da
|
||
Host |
Rabbit
|
||
Species Reactivity |
Human, Mouse, Rat
|
||
Target |
Peptide (C)NSTGIINETSDHSE,??corresponding to amino acid??residues 747-760 of human TRPA1 (Accession O75762). 1st extracellular loop.
|
||
GeneID |
|||
UniProt ID |
|||
Summary |
The TRPA family is comprised of only one mammalian member, the TRPA1 (formerly named ANKTM1). TRPA1 is expressed in peripheral sensory neurons, where it is suggested to contribute to the detection of painful stimuli.1Originallyit was thought that TRPA channels sensed painfully cold temperatures2, but a more conservative description is that TRPA1 is sensitive to membrane/cytoskeletal perturbations by cold3-5 and perhaps stretch.6 In addition, it is sensitive to pungent natural compounds present in cinnamon oil, mustard oil, and wintergreen oil.TRPA1 is also expressed in hair cells, where its role in sensing mechanical forces is still unclear and controversial.1TRPA1 has similar structure as all TRP ion channel members, six transmembrane domains, intracellular N-and C-terminus. However, its N-terminus domain possesses 17 ankyrin repeats that might indicate its potential role as a mechanosensor.6,7TRPA1 is expressed in nociceptive neurons expressing TRPV1 as well and might serve as a marker for poly-modal nociceptors.8
|
||
Form |
Affinity purified antibody, Liquid |
||
Storage & Stability |
Store at +4°C short term. For long-term storage, aliquot and store at -20°C or below. Stable for 12 months at -20°C. Avoid repeated freeze-thaw cycles.
|
||
Applications |
WB, IP
|
||
Dilution |
WB~~1:200-1:2000
ICC~~1:50
IHC~~1:200
|
||
Synonyms |
Transient receptor potential cation channel subfamily A member 1, Ankyrin-like with transmembrane domains protein 1, Transformation-sensitive protein p120, TRPA1, ANKTM1
|
||
Images |
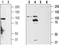
Western blot analysis of rat DRG (lanes 1,2), non-differentiated PC12 cells (lanes 3,5) and differentiated PC12 cells (lanes 4,6) lysates: 1,3,4. Anti-TRPA1 (extracellular) antibody ( APR13790G), (1:200). 2,5,6. Anti-TRPA1 (extracellular) antibody, preincubated with the control peptide antigen.
Expression of TRPA1 in rat PC12 cells Immunocytochemical staining of intact living rat PC12 cells. A. Extracellular staining of cells using Anti-TRPA1 (extracellular) antibody ( APR13790G), (1:50) followed by goat anti-rabbit-AlexaFluor-594 secondary antibody (red). B. Live view of the cells. C. Merged image of A and B.
Immunoprecipitation of PC-12 lysates: 1. PC-12 lysates. 2. PC-12 lysates + Anti-TRPA1 (extracellular) antibody ( APR13790G) (6.5 g) + protein A beads. 3. Anti-TRPA1 (extracellular) antibody + protein A beads. |
||
Specification |
|||
Quantity |
|
||
| Select | Brand | Catalog No. | Product Name | Pack Size | Type | Field of Research | Specification | Quantity | Price(USD) | |
| 1 | Leading Biology | APR03440G | ITGA11 Antibody (N-term) | 100 μl | Polyclonal Antibodies |
|
$495.00 | Add Ask | ||
| 2 | Leading Biology | APR04537G | CMIP Antibody (C-term) | 100 μl | Polyclonal Antibodies |
|
$495.00 | Add Ask | ||
| 3 | Leading Biology | APR12422G | Human H4 Histamine Receptor (extracellular) Antibody | 50 μl | Polyclonal Antibodies |
|
$695.00 | Add Ask | ||
| 4 | Leading Biology | APR03844G | UBE2W Antibody (C-term) | 100 μl | Polyclonal Antibodies |
|
$495.00 | Add Ask | ||
| 5 | Leading Biology | APR04349G | HECTD2 Antibody (N-term) | 100 μl | Polyclonal Antibodies |
|
$495.00 | Add Ask | ||
| 6 | Leading Biology | APR03502G | IGHG1 Antibody (Center) | 100 μl | Polyclonal Antibodies |
|
$495.00 | Add Ask |
Leading Biology Inc.
2600 Hilltop DR, Building G, B Suite C138
Richmond, CA, 94806
Tel: 1-661-524(LBI)-0262
Email: info@leadingbiology.com
Complete this form and click send to ask us a question, request a quote or simply say hello.

You have 0 item in your cart

You have 0 item in your inquiry list