> Antigen, Antibodies, ELISA, Western Blot > Primary Antibody > Polyclonal Antibodies > mGluR1 (extracellular) AntibodyBrand |
Leading Biology | Catalog Number |
AMM06390G |
Product Type |
Polyclonal Antibodies | Field of Research |
|
Product Overview |
We constantly strive to ensure we provide our customers with the best antibodies. As a result of this work we offer this antibody in purified format.
We are in the process of updating our datasheets. If you have any questions regarding this update, please feel free to contact our technical support team.
This product is a high quality mGluR1 (extracellular) antibody.
|
||
Molecular Weight |
133236 Da
|
||
Host |
Rabbit
|
||
Species Reactivity |
Human, Mouse, Rat
|
||
Target |
Peptide (C)HEGVLNIDDYKIQMNK, corresponding to amino acids 501-516 of rat mGluR1 (Accession P23385). Extracellular, N-terminus.
|
||
GeneID |
|||
UniProt ID |
|||
Summary |
L-Glutamate is the major excitatory neurotransmitter in the central nervous system. It operates through several receptors that are categorized as ionotropic (ligand-gated cation channels) or metabotropic (G-protein coupled receptors). The metabotropic glutamate receptors family includes eight members (mGluR1-8) that have been divided into three groups based on their sequence homology, pharmacology and signal transduction. Group I of the metabotropic glutamate receptors includes the mGluR1 and mGluR5 receptors. The receptors present the typical G-protein coupled receptor (GPCR) signature topology: seven transmembrane domains with a large extracellular N-terminus domain and an intracellular C-terminus one. The N-terminus domain of Group I receptors contains the glutamate binding site while the cytoplasmic C-terminus domain has an important role in the regulation of receptor activity through interactions with other proteins such as the Homer adaptor proteins. mGluR1 and mGluR5 receptors signal through Gq/G11 that activates phospholipase C and ultimately produces an increase in inositol trisphosphate and cytosolic Ca2+. More downstream signaling pathways include activation of PKC and modulation of Ca2+ and K+ ion channels. Activation of signaling pathways independent of G-proteins has also been reported. mGluR1 is predominantly expressed in nervous tissue although expression in several non-neural cell types has also been described. In the brain it is highly expressed in the hippocampus, cerebellum, olfactory bulb and thalamus. The mGluR1 receptor is involved in several physiological processes such as neuronal development, induction of long-term potentiation (LTP) and depression (LTD) as well as in pathological disorders such as brain trauma, chronic pain, Parkinson’s and Huntington’s disease. Abgent is please to offer a highly specific antibody directed against the extracellular N-terminus domain of rat mGluR1. Anti-mGluR1 (extracellular) antibody (#AG1263) can be used in Western blot analysis and immunocytochemistry applications, and recognizes rat mGluR1 in rat, mouse and human samples.
|
||
Form |
Affinity purified antibody, Liquid |
||
Storage & Stability |
Store at +4°C short term. For long-term storage, aliquot and store at -20°C or below. Stable for 12 months at -20°C. Avoid repeated freeze-thaw cycles.
|
||
Applications |
WB, FC, IP, ICC, LCI
|
||
Dilution |
WB~~1:200-1:2000
IHC~~1:100
|
||
Synonyms |
Metabotropic glutamate receptor 1, mGluR1, Grm1, Gprc1a, Mglur1
|
||
Images |
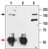
Western blot analysis of rat brain lysate: 1. Anti-mGluR1 (extracellular) antibody ( AMM06390G), (1:200). 2. Anti-mGluR1 (extracellular) antibody, preincubated with the control peptide antigen.
Western blot analysis of mouse brain lysate: 1. Anti-mGluR1 (extracellular) antibody ( AMM06390G), (1:200). 2. Anti-mGluR1 (extracellular) antibody, preincubated with the control peptide antigen.
Immunoprecipitation of rat brain lysate: 1. Cell lysate + protein A beads + Anti-mGluR1 (extracellular) antibody ( AMM06390G). 2. Cell lysate + protein A beads + pre-immune rabbit serum. 3. Cell lysate. |
||
Specification |
|||
Quantity |
|
||
| Select | Brand | Catalog No. | Product Name | Pack Size | Type | Field of Research | Specification | Quantity | Price(USD) | |
| 1 | Leading Biology | APR03440G | ITGA11 Antibody (N-term) | 100 μl | Polyclonal Antibodies |
|
$495.00 | Add Ask | ||
| 2 | Leading Biology | APR04537G | CMIP Antibody (C-term) | 100 μl | Polyclonal Antibodies |
|
$495.00 | Add Ask | ||
| 3 | Leading Biology | APR12422G | Human H4 Histamine Receptor (extracellular) Antibody | 50 μl | Polyclonal Antibodies |
|
$695.00 | Add Ask | ||
| 4 | Leading Biology | APR03844G | UBE2W Antibody (C-term) | 100 μl | Polyclonal Antibodies |
|
$495.00 | Add Ask | ||
| 5 | Leading Biology | APR04349G | HECTD2 Antibody (N-term) | 100 μl | Polyclonal Antibodies |
|
$495.00 | Add Ask | ||
| 6 | Leading Biology | APR03502G | IGHG1 Antibody (Center) | 100 μl | Polyclonal Antibodies |
|
$495.00 | Add Ask |
Leading Biology Inc.
2600 Hilltop DR, Building G, B Suite C138
Richmond, CA, 94806
Tel: 1-661-524(LBI)-0262
Email: info@leadingbiology.com
Complete this form and click send to ask us a question, request a quote or simply say hello.

You have 0 item in your cart

You have 0 item in your inquiry list