> Antigen, Antibodies, ELISA, Western Blot > Primary Antibody > Polyclonal Antibodies > proBDNF AntibodyBrand |
Leading Biology | Catalog Number |
AMR09549G |
Product Type |
Polyclonal Antibodies | Field of Research |
|
Product Overview |
We constantly strive to ensure we provide our customers with the best antibodies. As a result of this work we offer this antibody in purified format.
We are in the process of updating our datasheets. If you have any questions regarding this update, please feel free to contact our technical support team.
This product is a high quality proBDNF antibody.
|
||
Molecular Weight |
27818 Da
|
||
Host |
Rabbit
|
||
Species Reactivity |
Human, Mouse, Rat
|
||
Target |
Peptide (C)DEDQKVRPNEENNKDAD, corresponding to amino acid residues 72-88 of human BDNF (precursor) (Accession P23560 ). Pro-domain of the BDNF protein.The antibody is specific for proBDNF, it does not crossreact with proNGF, proNT-3 or mature BDNF.
|
||
GeneID |
|||
UniProt ID |
|||
Summary |
Brain derived neurotrophic factor (BDNF) is a member of the neurotrophin family of growth factors that includes nerve growth factor (NGF) neurotrophin-3 (NT-3) and neurotrophin-4/5 (NT-4/5).All neurotrophins are synthesized as preproneurotrophin precursors that are subsequently processed within the intracellular transport pathway to yield proneurotrophins that are further processed to generate the mature form. The mature form of BDNF is a non-covalent stable homodimer that can be secreted in both constitutive and regulated pathways.Until recently, the functional role of the neurotrophin prodomains were thought to include assistance in the correct folding of the mature protein and the sorting of the neurotrophins into the constitutive or regulated secretory pathway. However, a growing body of evidence suggests that the uncleaved proneurotrophin precursors can be secreted from cells and that they may mediate different biological functions.The functional importance of the prodomain of BDNF was recently demonstrated in a study showing that a polymorphism that replaces valine for methionine at position 66 of the pro domain, is associated with memory defects and abnormal hippocampal function in humans. Another recent study showed that the regulated extracellular cleavage of proBDNF to mature BDNF by plasmin is necessary for establishing late-phase long-term potentiation (L-LTP) a process that involves long-lasting changes in the structure and function of hippocampal synapses. Finally, proBDNF was shown to be decreased in the brains of patients suffering from Alzheimer’s disease.Mature BDNF binds to the specific tyrosine kinase receptor TrkB and to p75NTR, a member of the TNF receptor superfamily. ProBDNF can similarly bind both receptors although it appears to have a greater affinity for the p75NTR receptor.Abgent is pleased to offera new antibody directed against a highly specific epitope located in the pro domain region of human BDNF. Anti-proBDNF (#AG1181) does not cross react with mature BDNF, pro and mature NGF or mature NT-3.
|
||
Form |
Affinity purified antibody, Liquid |
||
Storage & Stability |
Store at +4°C short term. For long-term storage, aliquot and store at -20°C or below. Stable for 12 months at -20°C. Avoid repeated freeze-thaw cycles.
|
||
Applications |
WB
|
||
Dilution |
WB~~1:200-1:2000
|
||
Synonyms |
Brain-derived neurotrophic factor, BDNF, Abrineurin, BDNF
|
||
Images |
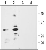
Western blot analysis of rat glioma C6 (1, 3) or human neuroblastoma SH-SY5Y (2, 4) cell lysate: 1, 2. Anti-proBDNF antibody ( AMR09549G), (1:200). 3, 4. Anti-proBDNF antibody, preincubated with the control peptide antigen.
Western blot analysis using Anti-proBDNF antibody ( AMR09549G), (1:400): 1. proBDNF (WT-human) ( B-257), (20 ng). 2. proNGF (WT-human) ( N-280), (200 ng). 3. recombinant proNT-3 (200 ng). 4. hBDNF ( B-250), (200 ng). 5. mNGF 2.5S (Grade II) ( N-100), (200 ng). 6. hNT-3 ( N-260), (200 ng).
Expression of proBDNF in rat cerebellum Immunohistochemical staining of rat cerebellum with Anti-proBDNF antibody ( AMR09549G). proBDNF (red) appears in Purkinje cell bodies (vertical arrows) and in astrocytic processes (horizontal arrows in A) but not in Purkinje neuronal dendrites stained for calbindin D28k (green, in B) in the same brain section. C. Confocal merge of proBDNF and CBD28K demonstrates the restriction of proBDNF to Purkinje cell body. |
||
Specification |
|||
Quantity |
|
||
| Select | Brand | Catalog No. | Product Name | Pack Size | Type | Field of Research | Specification | Quantity | Price(USD) | |
| 1 | Leading Biology | APR03440G | ITGA11 Antibody (N-term) | 100 μl | Polyclonal Antibodies |
|
$495.00 | Add Ask | ||
| 2 | Leading Biology | APR04537G | CMIP Antibody (C-term) | 100 μl | Polyclonal Antibodies |
|
$495.00 | Add Ask | ||
| 3 | Leading Biology | APR12422G | Human H4 Histamine Receptor (extracellular) Antibody | 50 μl | Polyclonal Antibodies |
|
$695.00 | Add Ask | ||
| 4 | Leading Biology | APR03844G | UBE2W Antibody (C-term) | 100 μl | Polyclonal Antibodies |
|
$495.00 | Add Ask | ||
| 5 | Leading Biology | APR04349G | HECTD2 Antibody (N-term) | 100 μl | Polyclonal Antibodies |
|
$495.00 | Add Ask | ||
| 6 | Leading Biology | APR03502G | IGHG1 Antibody (Center) | 100 μl | Polyclonal Antibodies |
|
$495.00 | Add Ask |
Leading Biology Inc.
2600 Hilltop DR, Building G, B Suite C138
Richmond, CA, 94806
Tel: 1-661-524(LBI)-0262
Email: info@leadingbiology.com
Complete this form and click send to ask us a question, request a quote or simply say hello.

You have 0 item in your cart

You have 0 item in your inquiry list