> Antigen, Antibodies, ELISA, Western Blot > Primary Antibody > Polyclonal Antibodies > TKT antibody - N-terminal regionBrand |
Leading Biology | Catalog Number |
APR10450G |
Product Type |
Polyclonal Antibodies | Field of Research |
|
Product Overview |
We constantly strive to ensure we provide our customers with the best antibodies. As a result of this work we offer this antibody in purified format.
We are in the process of updating our datasheets. If you have any questions regarding this update, please feel free to contact our technical support team.
This product is a high quality TKT antibody - N-terminal region.
|
||
Molecular Weight |
68kDa
|
||
Host |
Rabbit
|
||
Species Reactivity |
Human, Mouse, Rat, Rabbit, Zebrafish, Pig, Bovine
|
||
GeneID |
|||
UniProt ID |
|||
Function |
Catalyzes the transfer of a two-carbon ketol group from a ketose donor to an aldose acceptor, via a covalent intermediate with the cofactor thiamine pyrophosphate.
|
||
Form |
Liquid. Purified antibody supplied in 1x PBS buffer with 0.09% (w/v) sodium azide and 2% sucrose. |
||
Storage & Stability |
Store at +4°C short term. For long-term storage, aliquot and store at -20°C or below. Stable for 12 months at -20°C. Avoid repeated freeze-thaw cycles.
|
||
Applications |
WB, IHC
|
||
Synonyms |
Transketolase, TK, 2.2.1.1, TKT
|
||
Images |
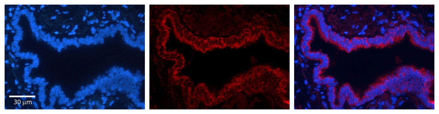
TKT antibody - N-terminal region Formalin Fixed Paraffin Embedded Tissue: Human Bronchial Epithelial Tissue Observed Staining: Cytoplasm of bronchial epithelial tissue Primary Antibody Concentration: 1:100 Secondary Antibody: Donkey anti-Rabbit-Cy3 Secondary Antibody Concentration: 1:200 Magnification: 20X Exposure Time: 0.5 - 2.0 sec
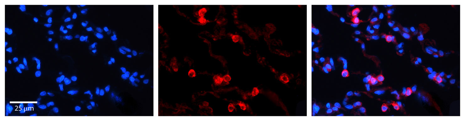
TKT antibody - N-terminal region Formalin Fixed Paraffin Embedded Tissue: Human Lung Tissue Observed Staining: Cytoplasm of pneumocytes Primary Antibody Concentration: 1:100 Secondary Antibody: Donkey anti-Rabbit-Cy3 Secondary Antibody Concentration: 1:200 Magnification: 20X Exposure Time: 0.5 - 2.0 sec
WB Suggested Anti-TKT Antibody Titration: 0.2-1 μg/ml Positive Control: 721_B cell lysate TKT is strongly supported by BioGPS gene expression data to be expressed in Human 721_B cells |
||
Specification |
|||
Quantity |
|
||
| Select | Brand | Catalog No. | Product Name | Pack Size | Type | Field of Research | Specification | Quantity | Price(USD) | |
| 1 | Leading Biology | APR03440G | ITGA11 Antibody (N-term) | 100 μl | Polyclonal Antibodies |
|
$495.00 | Add Ask | ||
| 2 | Leading Biology | APR04537G | CMIP Antibody (C-term) | 100 μl | Polyclonal Antibodies |
|
$495.00 | Add Ask | ||
| 3 | Leading Biology | APR12422G | Human H4 Histamine Receptor (extracellular) Antibody | 50 μl | Polyclonal Antibodies |
|
$695.00 | Add Ask | ||
| 4 | Leading Biology | APR03844G | UBE2W Antibody (C-term) | 100 μl | Polyclonal Antibodies |
|
$495.00 | Add Ask | ||
| 5 | Leading Biology | APR04349G | HECTD2 Antibody (N-term) | 100 μl | Polyclonal Antibodies |
|
$495.00 | Add Ask | ||
| 6 | Leading Biology | APR03502G | IGHG1 Antibody (Center) | 100 μl | Polyclonal Antibodies |
|
$495.00 | Add Ask |
Leading Biology Inc.
2600 Hilltop DR, Building G, B Suite C138
Richmond, CA, 94806
Tel: 1-661-524(LBI)-0262
Email: info@leadingbiology.com
Complete this form and click send to ask us a question, request a quote or simply say hello.

You have 0 item in your cart

You have 0 item in your inquiry list