> Antigen, Antibodies, ELISA, Western Blot > Primary Antibody > Polyclonal Antibodies > NPAS1 antibody - C-terminal regionBrand |
Leading Biology | Catalog Number |
AMM06767G |
Product Type |
Polyclonal Antibodies | Field of Research |
|
Product Overview |
We constantly strive to ensure we provide our customers with the best antibodies. As a result of this work we offer this antibody in purified format.
We are in the process of updating our datasheets. If you have any questions regarding this update, please feel free to contact our technical support team.
This product is a high quality NPAS1 antibody - C-terminal region.
|
||
Molecular Weight |
63 kDa
|
||
Cellular Localization |
Antigen Cellular Localization:
Nucleus {ECO:0000255|PROSITE- ProRule:PRU00981}
|
||
Host |
Rabbit
|
||
Species Reactivity |
Human, Mouse, Rat, Rabbit, Pig, Dog
|
||
Target |
NPAS1 is a member of the basic helix-loop-helix (bHLH)-PAS family of transcription factors. Studies of a related mouse gene suggest that it functions in neurons. The exact function of this gene is unclear, but it may play protective or modulatory roles during late embryogenesis and postnatal development.
|
||
Symbol |
BHLHE11, MOP5, PASD5
|
||
GeneID |
|||
UniProt ID |
|||
Function |
May control regulatory pathways relevant to schizophrenia and to psychotic illness. May play a role in late central nervous system development by modulating EPO expression in response to cellular oxygen level (By similarity).
|
||
Summary |
This is a rabbit polyclonal antibody against NPAS1. It was validated on Western Blot and immunohistochemistry by Abgent. At Abgent we manufacture rabbit polyclonal antibodies on a large scale (200-1000 products/month) of high throughput manner. Our antibodies are peptide based and protein family oriented. We usually provide antibodies covering each member of a whole protein family of your interest. We also use our best efforts to provide you antibodies recognize various epitopes of a target protein. For availability of antibody needed for your experiment, please inquire (sales@abgent.com).
|
||
Form |
Liquid. Purified antibody supplied in 1x PBS buffer with 0.09% (w/v) sodium azide and 2% sucrose. |
||
Storage & Stability |
Store at +4°C short term. For long-term storage, aliquot and store at -20°C or below. Stable for 12 months at -20°C. Avoid repeated freeze-thaw cycles.
|
||
Applications |
WB, IHC
|
||
Synonyms |
Neuronal PAS domain-containing protein 1, Neuronal PAS1, Basic-helix-loop-helix-PAS protein MOP5, Class E basic helix-loop-helix protein 11, bHLHe11, Member of PAS protein 5, PAS domain-containing protein 5, NPAS1, BHLHE11, MOP5, PASD5
|
||
Images |
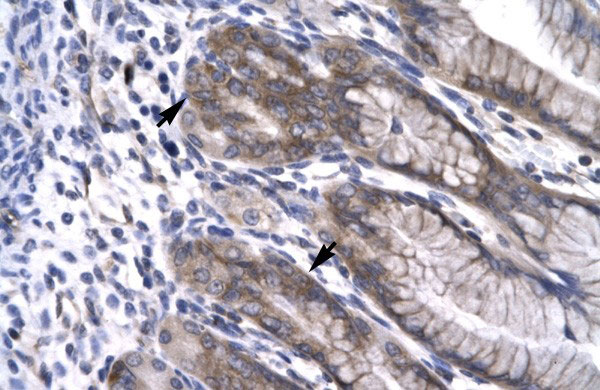
NPAS1 antibody - C-terminal region (AMM06767G) in Human Stomach cells using Immunohistochemistry Human Stomach
NPAS1 antibody - C-terminal region (AMM06767G) in Human Jurkat cells using Western Blot WB Suggested Anti-NPAS1 Antibody Titration: 0.2-1 μg/ml Positive Control: Jurkat cell lysate NPAS1 is supported by BioGPS gene expression data to be expressed in Jurkat |
||
Specification |
|||
Quantity |
|
||
| Select | Brand | Catalog No. | Product Name | Pack Size | Type | Field of Research | Specification | Quantity | Price(USD) | |
| 1 | Leading Biology | APR03440G | ITGA11 Antibody (N-term) | 100 μl | Polyclonal Antibodies |
|
$495.00 | Add Ask | ||
| 2 | Leading Biology | APR04537G | CMIP Antibody (C-term) | 100 μl | Polyclonal Antibodies |
|
$495.00 | Add Ask | ||
| 3 | Leading Biology | APR12422G | Human H4 Histamine Receptor (extracellular) Antibody | 50 μl | Polyclonal Antibodies |
|
$695.00 | Add Ask | ||
| 4 | Leading Biology | APR03844G | UBE2W Antibody (C-term) | 100 μl | Polyclonal Antibodies |
|
$495.00 | Add Ask | ||
| 5 | Leading Biology | APR04349G | HECTD2 Antibody (N-term) | 100 μl | Polyclonal Antibodies |
|
$495.00 | Add Ask | ||
| 6 | Leading Biology | APR03502G | IGHG1 Antibody (Center) | 100 μl | Polyclonal Antibodies |
|
$495.00 | Add Ask |
Leading Biology Inc.
2600 Hilltop DR, Building G, B Suite C138
Richmond, CA, 94806
Tel: 1-661-524(LBI)-0262
Email: info@leadingbiology.com
Complete this form and click send to ask us a question, request a quote or simply say hello.

You have 0 item in your cart

You have 0 item in your inquiry list