> Antigen, Antibodies, ELISA, Western Blot > Primary Antibody > Polyclonal Antibodies > PACS1 Antibody (Internal)Brand |
Leading Biology | Catalog Number |
APR11152G |
Product Type |
Polyclonal Antibodies | Field of Research |
|
Product Overview |
We constantly strive to ensure we provide our customers with the best antibodies. As a result of this work we offer this antibody in purified format.
We are in the process of updating our datasheets. If you have any questions regarding this update, please feel free to contact our technical support team.
This product is a high quality PACS1 antibody (Internal).
|
||
Molecular Weight |
104898 Da
|
||
Cellular Localization |
Antigen Cellular Localization:
Golgi apparatus, trans-Golgi network. Note=Localizes in the perinuclear region, probably the TGN.
|
||
Host |
Rabbit
|
||
Species Reactivity |
Human, Mouse, Rat
|
||
Target |
PACS1 antibody is human, mouse and rat reactive. Multiple isoforms of PACS1 are known to exist. PACS1 antibody is predicted to not cross-react with PACS2.
|
||
Symbol |
KIAA1175
|
||
GeneID |
|||
UniProt ID |
|||
Function |
Coat protein that is involved in the localization of trans-Golgi network (TGN) membrane proteins that contain acidic cluster sorting motifs. Controls the endosome-to-Golgi trafficking of furin and mannose-6-phosphate receptor by connecting the acidic-cluster-containing cytoplasmic domain of these molecules with the adapter-protein complex-1 (AP-1) of endosomal clathrin- coated membrane pits. Involved in HIV-1 nef-mediated removal of MHC-I from the cell surface to the TGN.
|
||
Summary |
Coat protein that is involved in the localization of trans-Golgi network (TGN) membrane proteins that contain acidic cluster sorting motifs. Controls the endosome-to-Golgi trafficking of furin and mannose-6-phosphate receptor by connecting the acidic-cluster-containing cytoplasmic domain of these molecules with the adapter-protein complex-1 (AP-1) of endosomal clathrin- coated membrane pits. Involved in HIV-1 nef-mediated removal of MHC-I from the cell surface to the TGN.
|
||
Form |
Liquid |
||
Storage & Stability |
Store at +4°C short term. For long-term storage, aliquot and store at -20°C or below. Stable for 12 months at -20°C. Avoid repeated freeze-thaw cycles.
|
||
Applications |
WB, IHC-P, E
|
||
Dilution |
IHC-P (10 μg/ml), WB (1 - 2 μg/ml),
|
||
Synonyms |
PACS1, KIAA1175, PACS-1
|
||
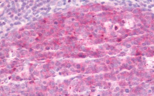
Images |
Human Tonsil: Formalin-Fixed, Paraffin-Embedded (FFPE)
Human Brain, Cortex: Formalin-Fixed, Paraffin-Embedded (FFPE) |
||
Specification |
|||
Quantity |
|
||
| Select | Brand | Catalog No. | Product Name | Pack Size | Type | Field of Research | Specification | Quantity | Price(USD) | |
| 1 | Leading Biology | APR03440G | ITGA11 Antibody (N-term) | 100 μl | Polyclonal Antibodies |
|
$495.00 | Add Ask | ||
| 2 | Leading Biology | APR04537G | CMIP Antibody (C-term) | 100 μl | Polyclonal Antibodies |
|
$495.00 | Add Ask | ||
| 3 | Leading Biology | APR12422G | Human H4 Histamine Receptor (extracellular) Antibody | 50 μl | Polyclonal Antibodies |
|
$695.00 | Add Ask | ||
| 4 | Leading Biology | APR03844G | UBE2W Antibody (C-term) | 100 μl | Polyclonal Antibodies |
|
$495.00 | Add Ask | ||
| 5 | Leading Biology | APR04349G | HECTD2 Antibody (N-term) | 100 μl | Polyclonal Antibodies |
|
$495.00 | Add Ask | ||
| 6 | Leading Biology | APR03502G | IGHG1 Antibody (Center) | 100 μl | Polyclonal Antibodies |
|
$495.00 | Add Ask |
Leading Biology Inc.
2600 Hilltop DR, Building G, B Suite C138
Richmond, CA, 94806
Tel: 1-661-524(LBI)-0262
Email: info@leadingbiology.com
Complete this form and click send to ask us a question, request a quote or simply say hello.

You have 0 item in your cart

You have 0 item in your inquiry list