> Antigen, Antibodies, ELISA, Western Blot > Primary Antibody > Polyclonal Antibodies > CASR/Calcium Sensing Receptor Antibody (N-Terminus)Brand |
Leading Biology | Catalog Number |
APG02425G |
Product Type |
Polyclonal Antibodies | Field of Research |
|
Product Overview |
We constantly strive to ensure we provide our customers with the best antibodies. As a result of this work we offer this antibody in purified format.
We are in the process of updating our datasheets. If you have any questions regarding this update, please feel free to contact our technical support team.
This product is a high quality CASR/Calcium Sensing Receptor antibody (N-Terminus).
|
||
Molecular Weight |
120674 Da
|
||
Cellular Localization |
Antigen Cellular Localization:
Cell membrane; Multi-pass membrane protein
|
||
Host |
Rabbit
|
||
Species Reactivity |
Human, Mouse, Rat
|
||
Target |
CASR antibody is human, mouse and rat reactive. At least two isoforms of CASR are known to exist.
|
||
Symbol |
GPRC2A, PCAR1
|
||
GeneID |
|||
UniProt ID |
|||
Function |
Senses changes in the extracellular concentration of calcium ions. The activity of this receptor is mediated by a G- protein that activates a phosphatidylinositol-calcium second messenger system.
|
||
Summary |
Senses changes in the extracellular concentration of calcium ions. The activity of this receptor is mediated by a G- protein that activates a phosphatidylinositol-calcium second messenger system.
|
||
Form |
Liquid |
||
Storage & Stability |
Store at +4°C short term. For long-term storage, aliquot and store at -20°C or below. Stable for 12 months at -20°C. Avoid repeated freeze-thaw cycles.
|
||
Applications |
WB, IHC-P, IF, E
|
||
Dilution |
IF (20 μg/ml), IHC-P (10 μg/ml), WB (1 - 2 μg/ml),
|
||
Synonyms |
CASR, Ca sensing receptor, Ca2+ sensing receptor, Calcium-sensing receptor, FIH, EIG8, GPRC2A, HHC, HHC1, Hypocalciuric hypercalcemia 1, PCAR1, NSHPT, CAR, FHH
|
||
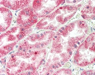
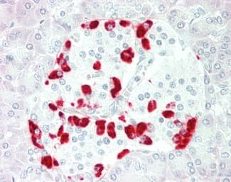
Images |
Human Pancreas: Formalin-Fixed, Paraffin-Embedded (FFPE)
Human Kidney: Formalin-Fixed, Paraffin-Embedded (FFPE) |
||
Specification |
|||
Quantity |
|
||
| Select | Brand | Catalog No. | Product Name | Pack Size | Type | Field of Research | Specification | Quantity | Price(USD) | |
| 1 | Leading Biology | APR03440G | ITGA11 Antibody (N-term) | 100 μl | Polyclonal Antibodies |
|
$495.00 | Add Ask | ||
| 2 | Leading Biology | APR04537G | CMIP Antibody (C-term) | 100 μl | Polyclonal Antibodies |
|
$495.00 | Add Ask | ||
| 3 | Leading Biology | APR12422G | Human H4 Histamine Receptor (extracellular) Antibody | 50 μl | Polyclonal Antibodies |
|
$695.00 | Add Ask | ||
| 4 | Leading Biology | APR03844G | UBE2W Antibody (C-term) | 100 μl | Polyclonal Antibodies |
|
$495.00 | Add Ask | ||
| 5 | Leading Biology | APR04349G | HECTD2 Antibody (N-term) | 100 μl | Polyclonal Antibodies |
|
$495.00 | Add Ask | ||
| 6 | Leading Biology | APR03502G | IGHG1 Antibody (Center) | 100 μl | Polyclonal Antibodies |
|
$495.00 | Add Ask |
Leading Biology Inc.
2600 Hilltop DR, Building G, B Suite C138
Richmond, CA, 94806
Tel: 1-661-524(LBI)-0262
Email: info@leadingbiology.com
Complete this form and click send to ask us a question, request a quote or simply say hello.

You have 0 item in your cart

You have 0 item in your inquiry list