> Antigen, Antibodies, ELISA, Western Blot > Primary Antibody > Polyclonal Antibodies > INSL3 Antibody (aa19-68)Brand |
Leading Biology | Catalog Number |
APR16866G |
Product Type |
Polyclonal Antibodies | Field of Research |
|
Product Overview |
We constantly strive to ensure we provide our customers with the best antibodies. As a result of this work we offer this antibody in purified format.
We are in the process of updating our datasheets. If you have any questions regarding this update, please feel free to contact our technical support team.
This product is a high quality INSL3 antibody (aa19-68).
|
||
Molecular Weight |
14502 Da
|
||
Cellular Localization |
Antigen Cellular Localization:
Secreted.
|
||
Host |
Rabbit
|
||
Species Reactivity |
Human
|
||
Target |
INSL3 antibody detects endogenous levels of INSL3.
|
||
Isotype |
IgG
|
||
Symbol |
RLF, RLNL
|
||
GeneID |
|||
UniProt ID |
|||
Function |
Seems to play a role in testicular function. May be a trophic hormone with a role in testicular descent in fetal life. Is a ligand for LGR8 receptor.
|
||
Summary |
Seems to play a role in testicular function. May be a trophic hormone with a role in testicular descent in fetal life. Is a ligand for LGR8 receptor.
|
||
Form |
Liquid. In PBS containing 0.02% sodium azide. |
||
Storage & Stability |
Store at +4°C short term. For long-term storage, aliquot and store at -20°C or below. Stable for 12 months at -20°C. Avoid repeated freeze-thaw cycles.
|
||
Applications |
WB, IHC-P, E
|
||
Dilution |
ELISA (1:10000), IHC-P (20 μg/ml), WB (1:500 - 1:1000),
|
||
Synonyms |
INSL3, Insulin-like 3 (Leydig cell), Insulin-like 3, Ley-I-L, Leydig insulin-like peptide, Relaxin-like factor, RLNL, Tyrosine protein kinase jak3m, Relaxin-like factor b, Leydig insulin -like hormone
|
||
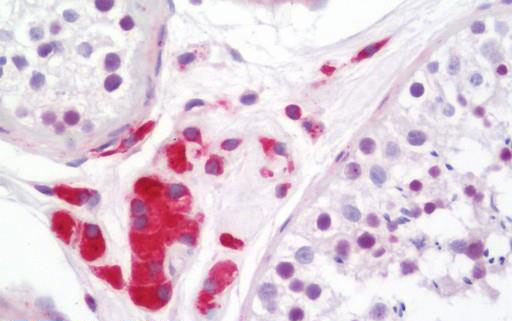
Images |
Anti-INSL3 antibody IHC staining of human testis.
Western blot of extracts from MCF7 cells, using INSL3 antibody. |
||
Specification |
|||
Quantity |
|
||
| Select | Brand | Catalog No. | Product Name | Pack Size | Type | Field of Research | Specification | Quantity | Price(USD) | |
| 1 | Leading Biology | APR03440G | ITGA11 Antibody (N-term) | 100 μl | Polyclonal Antibodies |
|
$495.00 | Add Ask | ||
| 2 | Leading Biology | APR04537G | CMIP Antibody (C-term) | 100 μl | Polyclonal Antibodies |
|
$495.00 | Add Ask | ||
| 3 | Leading Biology | APR12422G | Human H4 Histamine Receptor (extracellular) Antibody | 50 μl | Polyclonal Antibodies |
|
$695.00 | Add Ask | ||
| 4 | Leading Biology | APR03844G | UBE2W Antibody (C-term) | 100 μl | Polyclonal Antibodies |
|
$495.00 | Add Ask | ||
| 5 | Leading Biology | APR04349G | HECTD2 Antibody (N-term) | 100 μl | Polyclonal Antibodies |
|
$495.00 | Add Ask | ||
| 6 | Leading Biology | APR03502G | IGHG1 Antibody (Center) | 100 μl | Polyclonal Antibodies |
|
$495.00 | Add Ask |
Leading Biology Inc.
2600 Hilltop DR, Building G, B Suite C138
Richmond, CA, 94806
Tel: 1-661-524(LBI)-0262
Email: info@leadingbiology.com
Complete this form and click send to ask us a question, request a quote or simply say hello.

You have 0 item in your cart

You have 0 item in your inquiry list