> Antigen, Antibodies, ELISA, Western Blot > Primary Antibody > Polyclonal Antibodies > KREMEN1 / KREMEN-1 Antibody (C-Terminus)Brand |
Leading Biology | Catalog Number |
APR17049G |
Product Type |
Polyclonal Antibodies | Field of Research |
|
Product Overview |
We constantly strive to ensure we provide our customers with the best antibodies. As a result of this work we offer this antibody in purified format.
We are in the process of updating our datasheets. If you have any questions regarding this update, please feel free to contact our technical support team.
This product is a high quality KREMEN1 / KREMEN-1 antibody (C-Terminus).
|
||
Molecular Weight |
51744 Da
|
||
Cellular Localization |
Antigen Cellular Localization:
Membrane; Single-pass type I membrane protein
|
||
Host |
Rabbit
|
||
Species Reactivity |
Human, Mouse, Rat
|
||
Target |
Three isoforms of KREMEN1 exists as a result of alternative splicing event.
|
||
Isotype |
IgG
|
||
Symbol |
KREMEN, KRM1
|
||
GeneID |
|||
UniProt ID |
|||
Function |
Receptor for Dickkopf protein. Cooperates with Dickkopf to block Wnt/beta-catenin signaling (By similarity).
|
||
Summary |
Receptor for Dickkopf protein. Cooperates with Dickkopf to block Wnt/beta-catenin signaling (By similarity).
|
||
Form |
Liquid |
||
Storage & Stability |
Store at +4°C short term. For long-term storage, aliquot and store at -20°C or below. Stable for 12 months at -20°C. Avoid repeated freeze-thaw cycles.
|
||
Applications |
WB, IHC-P, IF, E
|
||
Dilution |
IF (20 μg/ml), IHC-P (5 μg/ml), WB (0.5 - 1 μg/ml),
|
||
Synonyms |
KREMEN1, Dickkopf receptor, KREMEN, Kremen protein 1, KRM1, KREMEM1
|
||
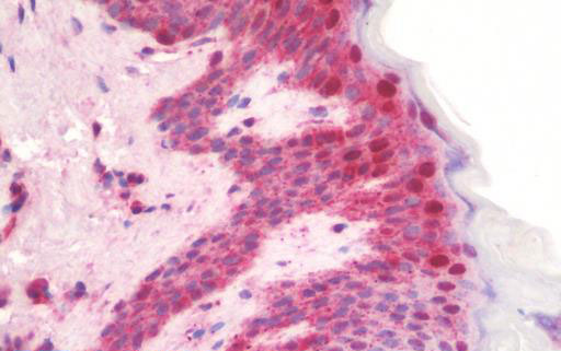
Images |
Anti-KREMEN1 / KREMEN-1 antibody IHC staining of human breast.
Anti-KREMEN1 / KREMEN-1 antibody IHC staining of human skin.
Immunofluorescence of KREMEN1 in human small intestine tissue with KREMEN1 antibody at 20 ug/ml. |
||
Specification |
|||
Quantity |
|
||
| Select | Brand | Catalog No. | Product Name | Pack Size | Type | Field of Research | Specification | Quantity | Price(USD) | |
| 1 | Leading Biology | APR03440G | ITGA11 Antibody (N-term) | 100 μl | Polyclonal Antibodies |
|
$495.00 | Add Ask | ||
| 2 | Leading Biology | APR04537G | CMIP Antibody (C-term) | 100 μl | Polyclonal Antibodies |
|
$495.00 | Add Ask | ||
| 3 | Leading Biology | APR12422G | Human H4 Histamine Receptor (extracellular) Antibody | 50 μl | Polyclonal Antibodies |
|
$695.00 | Add Ask | ||
| 4 | Leading Biology | APR03844G | UBE2W Antibody (C-term) | 100 μl | Polyclonal Antibodies |
|
$495.00 | Add Ask | ||
| 5 | Leading Biology | APR04349G | HECTD2 Antibody (N-term) | 100 μl | Polyclonal Antibodies |
|
$495.00 | Add Ask | ||
| 6 | Leading Biology | APR03502G | IGHG1 Antibody (Center) | 100 μl | Polyclonal Antibodies |
|
$495.00 | Add Ask |
Leading Biology Inc.
2600 Hilltop DR, Building G, B Suite C138
Richmond, CA, 94806
Tel: 1-661-524(LBI)-0262
Email: info@leadingbiology.com
Complete this form and click send to ask us a question, request a quote or simply say hello.

You have 0 item in your cart

You have 0 item in your inquiry list