> Antigen, Antibodies, ELISA, Western Blot > Primary Antibody > Polyclonal Antibodies > LRRTM3 Antibody (C-Terminus)Brand |
Leading Biology | Catalog Number |
APR12479G |
Product Type |
Polyclonal Antibodies | Field of Research |
|
Product Overview |
We constantly strive to ensure we provide our customers with the best antibodies. As a result of this work we offer this antibody in purified format.
We are in the process of updating our datasheets. If you have any questions regarding this update, please feel free to contact our technical support team.
This product is a high quality LRRTM3 antibody (C-Terminus).
|
||
Molecular Weight |
65896 Da
|
||
Cellular Localization |
Antigen Cellular Localization:
Cell membrane; Single-pass type I membrane protein. Cell junction, synapse, postsynaptic cell membrane; Single-pass type I membrane protein
|
||
Host |
Rabbit
|
||
Species Reactivity |
Human, Mouse, Rat
|
||
Target |
Human LRRTM3. At least two isoforms of LRRTM3 are known to exist; this antibody will only detect the larger isoform.
|
||
GeneID |
|||
UniProt ID |
|||
Function |
Exhibits a limited synaptogenic activity in vitro, restricted to excitatory presynaptic differentiation (By similarity). May play a role in the development and maintenance of the vertebrate nervous system.
|
||
Summary |
Exhibits a limited synaptogenic activity in vitro, restricted to excitatory presynaptic differentiation (By similarity). May play a role in the development and maintenance of the vertebrate nervous system.
|
||
Form |
Liquid |
||
Storage & Stability |
Store at +4°C short term. For long-term storage, aliquot and store at -20°C or below. Stable for 12 months at -20°C. Avoid repeated freeze-thaw cycles.
|
||
Applications |
WB, IHC-P, IF, E
|
||
Dilution |
IF (20 μg/ml), IHC-P (5 μg/ml), WB (1 - 2 μg/ml),
|
||
Synonyms |
LRRTM3
|
||
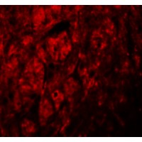
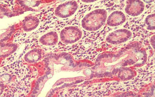
Images |
Anti-LRRTM3 antibody IHC staining of human small intestine.
Immunofluorescence of LRRTM3 in human brain tissue with LRRTM3 antibody at 20 g/mL.
Western blot analysis of LRRTM3 in mouse brain tissue lysate with LRRTM3 antibody at 0.5 ug/ml... |
||
Specification |
|||
Quantity |
|
||
| Select | Brand | Catalog No. | Product Name | Pack Size | Type | Field of Research | Specification | Quantity | Price(USD) | |
| 1 | Leading Biology | APR03440G | ITGA11 Antibody (N-term) | 100 μl | Polyclonal Antibodies |
|
$495.00 | Add Ask | ||
| 2 | Leading Biology | APR04537G | CMIP Antibody (C-term) | 100 μl | Polyclonal Antibodies |
|
$495.00 | Add Ask | ||
| 3 | Leading Biology | APR12422G | Human H4 Histamine Receptor (extracellular) Antibody | 50 μl | Polyclonal Antibodies |
|
$695.00 | Add Ask | ||
| 4 | Leading Biology | APR03844G | UBE2W Antibody (C-term) | 100 μl | Polyclonal Antibodies |
|
$495.00 | Add Ask | ||
| 5 | Leading Biology | APR04349G | HECTD2 Antibody (N-term) | 100 μl | Polyclonal Antibodies |
|
$495.00 | Add Ask | ||
| 6 | Leading Biology | APR03502G | IGHG1 Antibody (Center) | 100 μl | Polyclonal Antibodies |
|
$495.00 | Add Ask |
Leading Biology Inc.
2600 Hilltop DR, Building G, B Suite C138
Richmond, CA, 94806
Tel: 1-661-524(LBI)-0262
Email: info@leadingbiology.com
Complete this form and click send to ask us a question, request a quote or simply say hello.

You have 0 item in your cart

You have 0 item in your inquiry list