> Antigen, Antibodies, ELISA, Western Blot > Primary Antibody > Polyclonal Antibodies > CDC42BPB / MRCKB Antibody (Phe1665)Brand |
Leading Biology | Catalog Number |
APR15365G |
Product Type |
Polyclonal Antibodies | Field of Research |
|
Product Overview |
We constantly strive to ensure we provide our customers with the best antibodies. As a result of this work we offer this antibody in purified format.
We are in the process of updating our datasheets. If you have any questions regarding this update, please feel free to contact our technical support team.
This product is a high quality CDC42BPB / MRCKB antibody (Phe1665).
|
||
Molecular Weight |
194kDa
|
||
Cellular Localization |
Antigen Cellular Localization:
Cytoplasm. Cell membrane; Peripheral membrane protein; Cytoplasmic side. Cell junction. Note=Displays a dispersed punctate distribution and concentrates along the cell periphery, especially at the leading edge and cell-cell junction. This concentration is PH-domain dependent (By similarity). Detected at the leading edge of migrating cells. Localization at the leading edge of migrating cells requires interaction with catalytically active CDC42
|
||
Host |
Rabbit
|
||
Species Reactivity |
Human, Mouse, Rat
|
||
Target |
Human CDC42BPB
|
||
GeneID |
|||
UniProt ID |
|||
Function |
Serine/threonine-protein kinase which is an important downstream effector of CDC42 and plays a role in the regulation of cytoskeleton reorganization and cell migration. Regulates actin cytoskeletal reorganization via phosphorylation of PPP1R12C and MYL9/MLC2. In concert with MYO18A and LURAP1, is involved in modulating lamellar actomyosin retrograde flow that is crucial to cell protrusion and migration. Phosphorylates PPP1R12A.
|
||
Summary |
Serine/threonine-protein kinase which is an important downstream effector of CDC42 and plays a role in the regulation of cytoskeleton reorganization and cell migration. Regulates actin cytoskeletal reorganization via phosphorylation of PPP1R12C and MYL9/MLC2. In concert with MYO18A and LURAP1, is involved in modulating lamellar actomyosin retrograde flow that is crucial to cell protrusion and migration. Phosphorylates PPP1R12A.
|
||
Form |
Liquid. In PBS containing 0.02% sodium azide. |
||
Storage & Stability |
Store at +4°C short term. For long-term storage, aliquot and store at -20°C or below. Stable for 12 months at -20°C. Avoid repeated freeze-thaw cycles.
|
||
Applications |
WB, IHC-P
|
||
Dilution |
IHC-P (5 μg/ml), WB (1:500-1:1000),
|
||
Synonyms |
Serine/threonine-protein kinase MRCK beta, 2.7.11.1, CDC42-binding protein kinase beta, CDC42BP-beta, DMPK-like beta, Myotonic dystrophy kinase-related CDC42-binding kinase beta, MRCK beta, Myotonic dystrophy protein kinase-like beta, CDC42BPB {ECO:0000312|EMBL:AAD37506.1}
|
||
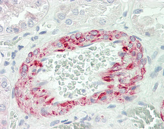
Images |
Western blot of MRCK (F1665) pAb in extracts from COLO cell.
Human Kidney, Vessel: Formalin-Fixed, Paraffin-Embedded (FFPE) |
||
Specification |
|||
Quantity |
|
||
| Select | Brand | Catalog No. | Product Name | Pack Size | Type | Field of Research | Specification | Quantity | Price(USD) | |
| 1 | Leading Biology | APR03440G | ITGA11 Antibody (N-term) | 100 μl | Polyclonal Antibodies |
|
$495.00 | Add Ask | ||
| 2 | Leading Biology | APR04537G | CMIP Antibody (C-term) | 100 μl | Polyclonal Antibodies |
|
$495.00 | Add Ask | ||
| 3 | Leading Biology | APR12422G | Human H4 Histamine Receptor (extracellular) Antibody | 50 μl | Polyclonal Antibodies |
|
$695.00 | Add Ask | ||
| 4 | Leading Biology | APR03844G | UBE2W Antibody (C-term) | 100 μl | Polyclonal Antibodies |
|
$495.00 | Add Ask | ||
| 5 | Leading Biology | APR04349G | HECTD2 Antibody (N-term) | 100 μl | Polyclonal Antibodies |
|
$495.00 | Add Ask | ||
| 6 | Leading Biology | APR03502G | IGHG1 Antibody (Center) | 100 μl | Polyclonal Antibodies |
|
$495.00 | Add Ask |
Leading Biology Inc.
2600 Hilltop DR, Building G, B Suite C138
Richmond, CA, 94806
Tel: 1-661-524(LBI)-0262
Email: info@leadingbiology.com
Complete this form and click send to ask us a question, request a quote or simply say hello.

You have 0 item in your cart

You have 0 item in your inquiry list